LESIONES MUSCULARES.
Las lesiones miotendinosas se pueden clasificar según su mecanismo en contusiones, estiramiento y avulsiones. En el capítulo de lesiones musculares, se discute mejor este tema.
Los cambios de las contusiones, varían de acuerdo con su severidad. Pueden ir desde el edema difuso hiperintenso en T2 y STIR, hasta la formación de hematoma intramuscular. (26).
Los hallazgos de los estiramientos musculares, dependen de su extensión: (26).
En la avulsión hay hematoma en relación con el sitio de origen o inserción tendinosa, retracción y fragmento óseo o de cartílago suelto. (26).

Fig 59. Lesión muscular grado I-II.
A: RM coronal y B: RM axial en STIR. Hiperintensidad en las fibras del músculo gemelo externo, por lesión muscular G I-II.

Fig 60. Lesión muscular grado II.
A: Ecografía longitudinal. Pérdida del patrón fibrilar del músculo, con líquido rodeando las fibras.
B: RM axial en STIR y C: RM sagital en STIR. Líquido perifascial (Flechas delgadas), con ruptura de algunas fibras del gemelo interno (Flecha gruesa), por lesión muscular G II.

Fig 61. Hematoma muscular.
A: Rx lateral. Prominencia de los tejidos blandos, en la parte posterior de la pierna.
B: Ecografía transversal. Pérdida de la arquitectura y colección heterogénea, secundaria a hematoma muscular, por lesión grado II.

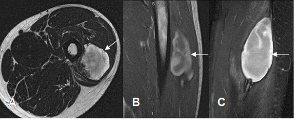
Fig 62. Hematoma muscular.
A: RM axial en T2, B: RM sagital en T1 y C: RM coronal en STIR. Colección heterogénea en el músculo vasto externo, por hematoma muscular. Es hiperintenso en T1, por el contenido de deoxihemoglobina, indicando evolución subaguda.

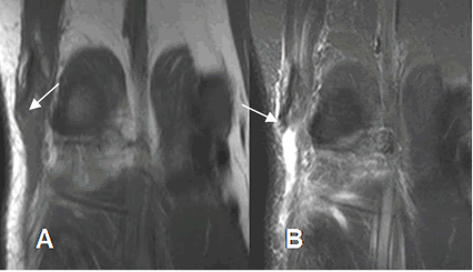
Fig 63. Ruptura muscular.
A: RM coronal en T1 y B: RM coronal en STIR. Ruptura retraída, en el tendón del bíceps femoral.
La ruptura del mecanismo extensor es rara, pero ocasiona mucha morbilidad, si no se diagnostica a tiempo. Si se mantienen intactos los retinaculos medial y lateral, puede conservarse algo de la función. (6).
Las lesiones del cuadriceps, ocurre principalmente a nivel de la unión óseo-tendinosa.
La discontinuidad en cualquiera de las capas corresponde a ruptura parcial. (6). (Fig 64 A).
En la ruptura parcial se aprecia zona anecoica del tendón, con la ecografía e interrupción de algunas fibras. En la ruptura completa hay separación de los extremos. El grado de retracción es variable, con líquido o hematoma que ocupa el espacio lesionado. (9).
Con la RM se encuentra masa de tejidos blandos y sangrado, con zona de hiperseñal en T2 y retracción en grado variable. En los casos de ruptura completa hay desplazamiento inferior de la patela. (6). (Fig 64 B).
Las rupturas del tendón patelar son menos comunes. El sitio mas frecuente es el borde inferior de la patela y hay predisposición por enfermedades sistémicas. (6). (Fig 65).
Los hallazgos son similares a las lesiones del cuadriceps y en las rupturas completas, la patela se desplaza superiormente. (6).

Fig 64 A. Ruptura parcial del cuadriceps.
A: RM sagital en T1 y B: RM sagital en STIR. Cambios inflamatorios en la inserción del tendón del cuadriceps, con discontinuidad de algunas fibras en la parte posterior, por ruptura parcial.

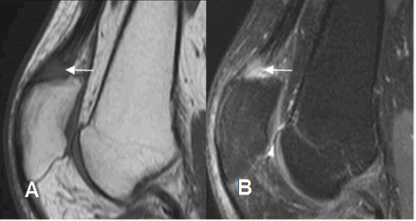
Fig 64 B. Ruptura del tendón del cuadriceps.
A: RM sagital en T2 y B: RM sagital en STIR. Solución de continuidad sobre la inserción del cuadriceps, por ruptura. Hay cambios inflamatorios en los tejidos blandos y bursitis prepatelar.

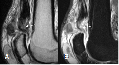
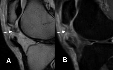
Fig 65. Ruptura del mecanismo extensor.
A: RM sagital en T2 y B: RM sagital en STIR. Solución de continuidad en las fibras,
sobre el origen del tendón patelar, por ruptura retraída.
| Fecha de creación | Marzo 1 de 2011 |
| Fecha de actualización | Junio 5, 2014 |