TRAUMA DEL LCM.
La lesión pura ocurre por un mecanismo de valgo forzado. Si se asocia con rotación, puede comprometer el LCA y los meniscos, constituyendo la triada triste de O´donoghue. (3 ,12).
La mayoría de lesiones en el LCM, sanan espontáneamente. (3).
Una lesión aguda, muestra hallazgos inespecíficos en la Rx simple. (12).
Los cambios pueden clasificarse en: (3)
En las lesiones crónicas, se aprecia engrosamiento por fibrosis y pérdida de la grasa entre los fascículos. (3). (Fig 121).

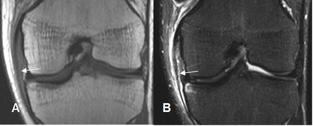
Fig 117 A. Trauma de rodilla.
A: RM coronal en T1 y B: RM coronal en STIR. Contusión en el compartimiento medial (Flechas gruesas), sin alteración en el LCM, el cual permanece intacto. (Flechas delgadas).

Fig 117 B. Esguince GI del LCM.
A: RM coronal en T1 y B: RM coronal en STIR. Cambios inflamatorios rodeando el LCM, el cual permanece íntegro, por esguince GI.

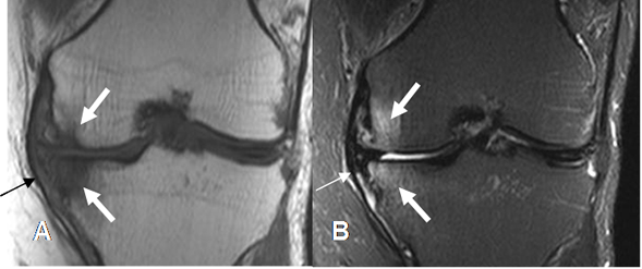
Fig 118. Esguince del LCM.
A: RM coronal en T1 y B: RM coronal en STIR. Alteración en la señal del LCM, el cual es hipointenso en T1 e hiperintenso en STIR, sin ruptura completa de sus fibras, por esguince G II.

Fig 119. Ruptura del LCM.
A y B: RM coronal en STIR. Solución de continuidad en las fibras del LCM, por ruptura completa.

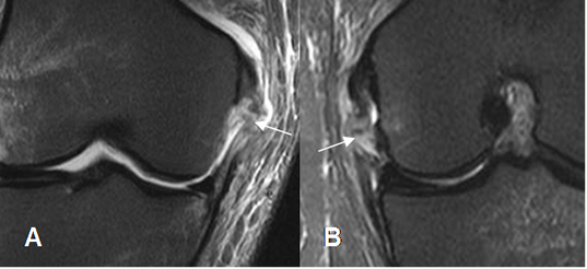
Fig 120. Ruptura del LCM.
A y B: RM coronal en STIR. Ruptura del LCM en la inserción tibia (A) y en el origen
femoral. (B).

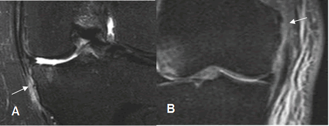
Fig 121. Fibrosis del LCM.
A: RM coronal en T1 y B: RM coronal en STIR. El LCM se aprecia engrosado, aunque conserva su señal, por fibrosis residual.
| Fecha de creación | Marzo 1 de 2011 |
| Fecha de actualización | Junio 6, 2014 |