TRAUMA DEL LCL Y ESQUINA POSTEROLATERAL.
Aparece por un mecanismo de hiperextensión y varo asociado. (3).
Su lesión produce desorganización y perdida de la continuidad de las fibras y aumento en la señal de la esquina posterolateral. Son comunes las contusiones oseas y otras lesiones en el compartimiento medial. (3). (Fig 122 a 129).

Fig 122. Esguince del LCL.
A y B: RM coronal en STIR. Cambios inflamatorios rodeando el LCL, el cual permanece intacto, por esguince.

Fig 123. Esguince del LCL.
A: RM coronal en T1 y B: RM coronal en STIR. El LCL está adelgazado y rodeado por cambios inflamatorios, por esguince GII. (Flechas delgadas). Existe contusión del platillo tibial lateral. (Flechas gruesas).
Fig 124. Ruptura del LCL.
A: RM coronal en T1 y B: RM coronal en STIR. No visualización del LCL, por ruptura. Igualmente hay lesión de la banda iliotibial. (Flecha delgada).

Fig 125. Ruptura de la banda iliotibial.
A: RM coronal en T1 y B: RM coronal en STIR. Ruptura retraída de la banda iliotibial.
Se encuentra contusión en los cóndilos femorales y platillos tibiales.

Fig 126. Contusión de la esquina posterolateral
A: RM sagital en STIR. Contusión en la parte anterior del platillo lateral, por mecanismo de hiperextensión.
B: RM coronal en STIR. Hiperintensidad en los tejidos blandos de la esquina posterolateral, pero sin ruptura de ninguna de las estructuras estabilizadoras importantes. (No mostradas).

Fig 127. Lesión de la esquina posterolateral
A: RM sagital en STIR. Contusión del compartimiento lateral, con cambios inflamatorios que rodean el ligamento popliteofibular, el cual está adelgazado.
B: RM coronal en STIR. Cambios inflamatorios con área hiperintensa en el tendón poplíteo, por lesión muscular GI-II.

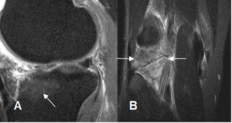
Fig 128. Lesión de la esquina posterolateral
A: RM coronal en STIR. Edema óseo del compartimiento medial, por trauma directo.
B: RM sagital y C: RM coronal en STIR. No visualización del ligamento arcuato, por ruptura.
D: RM coronal en STIR. Cambios inflamatorios que rodean el LCL, el cual muestra ruptura de algunas fibras, por esguince G II.
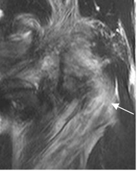
Fig 129. Lesión de la esquina posterolateral
RM coronal en STIR. Edema que compromete el músculo poplíteo, con ruptura de algunas fibras, por lesión GII.
| Fecha de creación | Marzo 1 de 2011 |
| Fecha de actualización | Noviembre 10, 2011 |