CONTUSION OSEA.
El edema óseo, es el primer signo de trauma en la rodilla. Estas lesiones pueden ser secundarias a trauma directo y fuerzas de compresión o tracción. Por su distribución, se puede determinar el mecanismo y buscar las lesiones asociadas. (16, 17).
Las lesiones radiológicamente ocultas pueden ser identificadas en RM, como áreas hipo o hiperintensas en T1 e hiperintensas en T2 y STIR, representando áreas de edema, hemorragia o hiperemia trabecular. (17). (Fig 37 y 38).

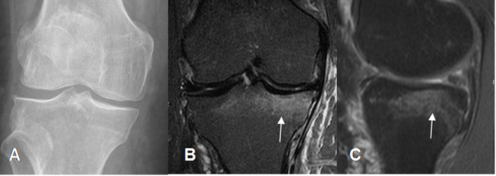
Fig 37. Contusión osea.
A: Rx AP. No se aprecian signos de lesión traumática.
B: RM coronal y C: RM sagital en STIR. Contusión osea en la parte postero-superior del platillo tibial medial.

Fig 38. Fractura de la microtrabécula.
A: Rx AP. Sin signos claros de lesión traumática.
B: RM coronal en STIR. Edema óseo sobre el platillo tibial lateral (Flecha delgada) y cambios inflamatorios en los tejidos blandos. (Flecha gruesa).
C: RM sagital en T1. Fractura en la microtrabécula sobre el platillo tibial y la cabeza del peroné.
Los mecanismos de las lesiones complejas, han sido clasificadas de acuerdo con la posición de la rodilla en: (18). (Fig 39).
Las 2 áreas críticas de la estabilidad son las esquinas posterolateral y posteromedial, que se lesionan por mecanismo de hiperextensión.
La flexión asociada a rotación, se asocia a rupturas meniscales.
El valgo y varo puros, ocasionan un patrón de impactación ósea y distracción en el lado opuesto, con lesión de los ligamentos colaterales.

Fig 39. Mecanismo del trauma directo.
A: RM coronal en STIR. Contusión osea en el compartimiento medial, que puede lesionar las estructuras de la esquina posterolateral y el LCL.
B: RM coronal en STIR. Contusión del cóndilo femoral lateral, debiendo descartar lesión del LCM.
C: RM coronal en STIR. Contusión en la parte posterior de la tibia, por lo que se debe buscar lesión del LCA
D: Contusión en la parte anterior de la tibia y cóndilo femoral medial, a descartar lesión del LCP y esquina posterolateral.
| Fecha de creación | Marzo 1 de 2011 |
| Fecha de actualización | Noviembre 6, 2011 |