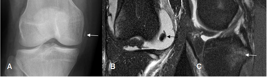
AVULSIONES RODILLA.
La fractura de segond, es una avulsión de la cápsula lateral, en su tercio medio. Se identifica como un fragmento paralelo al platillo tibial lateral. Se asocia con rupturas del LCA y los meniscos. (Fig 40 A). Debe diferenciarse de la avulsión del tubérculo de gerdy, donde se inserta la banda iliotibial, que es mas anterior y distal.

Fig 40 A. Fractura de Segond.
A: Rx AP. Fragmento óseo por encima de la cabeza del peroné, paralelo al borde del platillo tibial, que corresponde a fractura de Segond.
B: RM coronal en STIR. Contusión asociada del cóndilo femoral y platillo tibial lateral.
C: RM sagital en STIR. Este tipo de lesión se asocia con ruptura del LCA.
La fractura de segond reverso, se localizada en la parte medial y también es secundaria a la avulsión de la cápsula. Se asociada a lesión del LCP o avulsión de su inserción tibial y rupturas del menisco medial. (20). (Fig 40 B).
El signo arcuado, corresponde a una avulsión de la cabeza del peroné. Produce un fragmento óseo, orientado en forma transversa en la proyección AP. (20). (Fig 40 C).

Fig 40 B. Fractura de Segond reverso.
A: Rx AP y B: RM coronal en STIR. Fragmento óseo en la parte medial de la rodilla, paralelo al cóndilo femoral.
C: RM sagital en STIR. Contusión ósea del platillo tibial lateral.
Fig 40 C. Avulsión de la cabeza del peroné.
A: Rx AP: No se encuentran alteraciones.
B: Rx lateral. Avulsión de la cabeza del peroné, la cual está desplazada superiormente.
C: RM coronal en T1 y D: RM coronal en STIR. Avulsión de la cabeza del peroné (Flecha delgada). El tendón del bíceps femoral está desplazado superiormente, pero íntegro. (Flecha gruesa).
En la actualidad se considera que la enfermedad de Osgood Schlatter, es una avulsión crónica de la espina tibial anterior, con microtrauma repetitivo del tendón patelar. Se encuentra fragmentación de la espina tibial, con prominencia de los tejidos blandos y obliteración del cojinete graso infrapatelar. (20). (Fig 41).

Fig 41. Enfermedad de Osgood Schlatter.
A: Rx lateral, B: RM sagital en T1 y C: RM sagital en STIR. Fragmentación de la espina tibial anterior. (Flechas delgadas). En las imágenes de RM hay cambios inflamatorios en la parte anterior de la tibia y la grasa de hoffa. (Flechas gruesas).
| Fecha de creación | Marzo 1 de 2011 |
| Fecha de actualización | Junio 5, 2014 |