TENDINITIS DE RODILLA.
La tendinitis o rodilla del saltador, es el resultado de micro-rupturas en el tercio proximal del tendón patelar, por contracciones fuertes y repetidas. (6).
La radiografía es normal en las fases iniciales. Tardíamente aparece fragmentación de la inserción, rarefacción ósea y osteofito en el borde inferior de la patela. (10).
Con la ecografía el tendón está engrosado y es hipoecoico. El engrosamiento puede ser focal o difuso (9, 10). Áreas hipoecoicas, pueden representar pequeñas rupturas. En los casos crónicos, pueden identificarse osteofitos y calcificaciones. Además el doppler revela neovascularización. En la peritendinosis puede encontrarse líquido. (9). (Fig 147).
En los casos crónicos, pueden identificarse osteofitos y calcificaciones. Además el doppler revela neovascularización. En la peritendinosis puede encontrarse líquido. (9). (Fig 148).
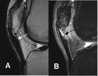
Con la RM el tendón está engrosado, con aumento de su señal, irregularidad de sus bordes de predominio posterior y cambios inflamatorios en la grasa de hoffa. (6, 10). (Fig 149 y 150).
La ruptura, representa el estado final de la tendinitis. (6). (Fig 151, 152 y 153).

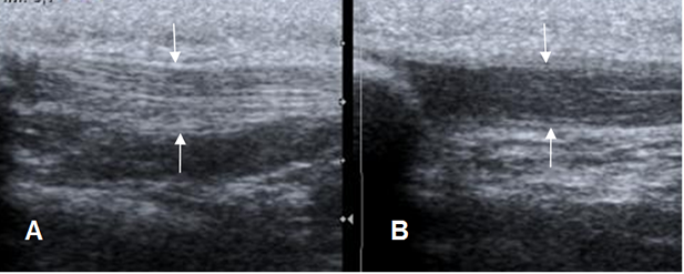
Fig 147. Tendinitis aguda del patelar.
A: Ecografía sagital. Tendón patelar de ecogenicidad normal.
B: Ecografía sagital. Tendón patelar hipoecoico y con pérdida de su patrón fibrilar, por inflamación aguda.

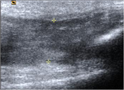
Fig 148. Tendinitis crónica.
Ecografía: Vista longitudinal del tendón patelar, el cual está engrosado y con pérdida de su patrón fibrilar, por tendinitis crónica.

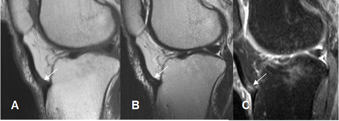
Fig 149 A. Tendinitis aguda del patelar.
A: RM sagital en T1, B: RM sagital en T2 y C: RM sagital en STIR. Inserción del tendón patelar hipointenso en T1 e hiperintenso en T2 y STIR, por inflamación aguda.

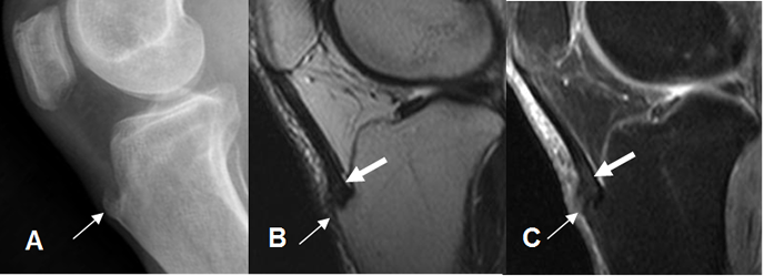
Fig 149 B. Tendinitis del patelar.
A: Rx lateral, B: RM sagital en T2 y C: RM sagital en STIR. Formación de osteofito sobre la inserción del tendón patelar (Flechas delgadas), el cual muestra alteración de su señal, por proceso inflamatorio. (Flechas gruesas).

Fig 150. Tendinitis crónica del patelar.
A: RM sagital en T1 y B: RM sagital en T2. Tendón patelar engrosado e hipointenso, como resultado de inflamación crónica.

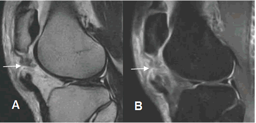
Fig 151. Ruptura parcial del tendón patelar.
A: RM sagital en T2 y B: RM sagital en STIR. Engrosamiento en el origen del tendón patelar, por inflamación crónica. Presenta interrupción de algunas fibras en su parte posterior, por ruptura parcial.

Fig 152. Ruptura parcial del tendón patelar.
A: RM sagital en T1, B: RM sagital en T2 y C: RM sagital en STIR. Alteración de la señal del tendón patelar en su tercio distal siendo hipointenso en T1 e hiperintenso en T2 y STIR. (Flechas delgadas). Está adelgazado y con ruptura de algunas fibras en la parte posterior, con escaso líquido asociado. (Flechas gruesas).

Fig 153. Ruptura del tendón patelar.
A: RM sagital en T2 y B: RM sagital en STIR. Solución de continuidad en las fibras del tendón patelar en su tercio proximal, por ruptura completa.
| Fecha de creación | Marzo 1 de 2011 |
| Fecha de actualización | Junio 9, 2014 |