CAMBIOS POSTQUIRURGICOS DEL LCA.
La rodilla PostQx es difícil de interpretar.
Las principales complicaciones en la reconstrucción del LCA son el dolor, la pérdida de movimiento y falla del injerto, que pueden ser diagnosticados con RM. (16).
Como en la valoración de los meniscos operados, la ArtroRM es la modalidad de elección. (31).
Varias técnicas se han utilizado en la reconstrucción del LCA, como la reparación primaria, la reconstrucción con injertos de distinto origen, etc. (37). El error en la técnica, es la principal causa de fallas del injerto. (16).
El resultado clínico de la reconstrucción del LCA, como la estabilidad y la completa extensión de la rodilla, depende de la localización de los túneles femoral y tibial. (38).
El túnel femoral es el responsable de la isometría (Constante longitud y tensión, durante los movimientos de flexo-extensión) y debe estar localizado sobre la región posterior del cóndilo femoral lateral en una secuencia sagital de RM o una Rx lateral y en la proyección AP o un corte coronal, ocupar la posición 1 o 11 de las manecillas del reloj. (3, 16, 37, 38, 39). (Fig 130, 131 y 132).

Fig 130. Túnel femoral normal.
A: Rx lateral y B: RM sagital en T1. Orientación normal del túnel femoral, en la parte posterior del cóndilo femoral.

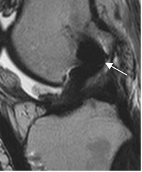
Fig 131. Túnel femoral normal.
A: Rx AP y B: RM coronal en T1. Orientación normal del túnel femoral, dirigido hacia la 1, de las manecillas del reloj.

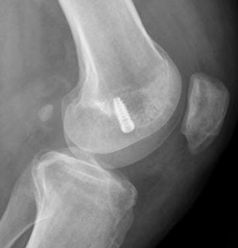
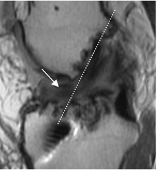
Fig 132. Mala orientación del túnel femoral.
A: Rx lateral. Túnel muy vertical y ocupando la parte media del cóndilo.
El túnel tibial evita el pinzamiento del injerto contra en techo intercondileo, durante la extensión. Se localiza paralelo y posterior a la línea intercondilea o de Blumenstaat.
(3, 16, 37, 38, 39).
En un corte coronal y la Rx AP, debe iniciar en la región intercondilea. En la vista lateral, su abertura debería situarse entre un cuarto y la mitad de la superficie tibial anterior y por detrás de la línea de Blummensaat. (3, 31, 38, 40). (Fig 133 a 136).

Fig 133. Túnel tibial normal.
A y B: Rx AP y C: RM coronal en T1. Orientación normal del túnel tibial, con abertura
dirigida hacia la región intercondilea.

Fig 134. Túnel tibial normal.
A y B: Rx lateral de rodilla. Orientación normal del túnel tibial, con apertura entre un cuarto y la mitad anterior del borde tibial superior.

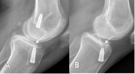
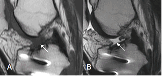
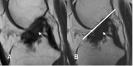
Fig 135. Mala orientación del túnel tibial.
A: Rx lateral de rodilla y B: RM sagital en T2. Túnel muy anterior, localizado en la parte inicial de la tibia.

Fig 136. Mala orientación del túnel tibial.
A: RM sagital en T1 y B: RM sagital en T2. Túnel tibial sobre la parte posterior del borde tibial.
La imagen normal del injerto depende del elemento utilizado, la técnica quirúrgica y el tiempo de evolución. Normalmente el injerto es bien valorado en secuencias sagitales de T2 y STIR. Se identifica como estructura tensa, de señal variable hipointensa o intermedia, entre 3 a 4 mm de espesor y que no está en contacto con el techo intercondileo. (3, 37).
En los primeros 3 o 4 meses el injerto es hipointenso, por ser avascular. Luego adquiere señal intermedia por neovascularización, entre los 4 y 8 meses. Después de los 12 a 24 meses la señal es similar al LCA original, hipointenso en todas las secuencias. (31, 37, 40). (Fig 137).
Iguales cambios se observan en los tendones donantes patelar o de la pata de ganso. (Semitendinoso y recto interno). (37). (Fig 138).
Puede encontrarse edema oseo en los bordes de los túneles hasta por 1 año, sin ser un hallazgo anormal. (37).

Fig 137. Señal PostQx del injerto normal.
A: RM sagital en T2. Injerto con señal intermedia normal, entre los 4 y 8 meses de evolución.
B: RM sagital en T2. Doble injerto hipointenso normal, de mas de 1 año de evolución.

Fig 138. Cambios PostQx en tendón patelar.
A: RM axial en STIR. Defecto en la parte anterior de la patela, lugar donde se obtuvo el injerto.
B: RM sagital en T2. Cambios reparativos en la parte distal del tendón patelar.
Complicaciones:
Fig 139. Ruptura parcial del injerto.
A: RM sagital en T2 y B: RM sagital en STIR. Injerto adelgazado, por ruptura parcial.

Fig 140. Ruptura del injerto.
A: RM sagital en T1. No se identifican las fibras del injerto y en su topografía existe tejido de granulación.
B: RM sagital en T2 y C: RM sagital en STIR. Ruptura casi completa del injerto, el cual está rodeado por tejido fibroso.

Fig 141. Ruptura del injerto.
A: RM sagital en T1 y B: RM sagital en STIR. Solución de continuidad del injerto, por ruptura completa.

Fig 142. Ruptura del injerto.
A: RM sagital en T2. Pérdida de la tensión y orientación en las fibras del injerto, sospechando su ruptura.
B: ArtroRM sagital en STIR. Se confirma la ruptura de injerto, con interrupción de sus fibras.

Fig 143 A. Pinzamiento del injerto.
A: RM sagital en DP. Injerto con alteración de su señal. Su parte distal se ubica por delante de la línea intercondílea, por pinzamiento.

Fig 143 B. Pinzamiento del injerto.
A: Rx lateral y B: RM sagital en T1. Túnel tibial de localización anterior, (Flechas), lo que predispone al pinzamiento. Adicionalmente el tornillo del túnel femoral está muy horizontalizado.
C: RM sagital en T2. Injerto por delante de la línea de Blummensaat, signo de pinzamiento. Existe alteración en la señal y solución de continuidad de la mayoría de sus fibras en el tercio medio, por ruptura parcial. (Flecha gruesa).

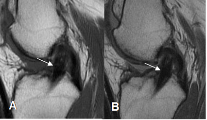
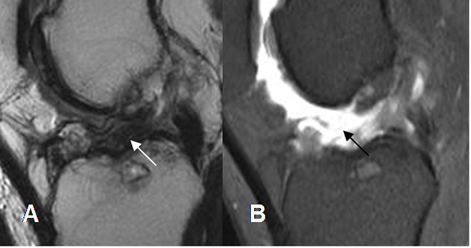
Fig 144. Degeneración del injerto.
A: RM sagital en T1 y B: RM sagital en T2. Injerto engrosado y con alteración focal de la señal en el tercio medio, por degeneración. Ubicación normal del injerto, por detrás de la línea intercondílea.

Fig 145. Distensión del injerto.
RM sagital en T2. Injerto engrosado, poco tenso y con angulación posterior.
Se identifica como lesión hipointensa en T1 y heterogénea en T2, pero de predominio hipointenso. (3). (Fig 146 A y B).

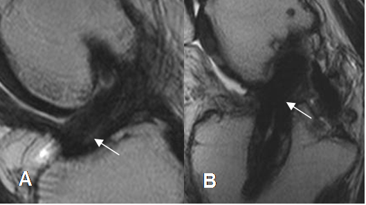
Fig 146 A. Artrofibrosis del injerto.
A: RM sagital en T1, B: ArtroRM sagital en STIR y C: ArtroRM axial en STIR. Presencia de imagen con señal de tejido blando, por delante del injerto, que corresponde a fibrosis.

Fig 146 B. Artrofibrosis del injerto.
A: RM sagital en T1, B: RM sagital en T2 y C: RM sagital en STIR. Abundante tejido de granulación hipointenso en T1 e hiperintenso en T2 y STIR, localizado entre la plastia del LCA (no vista) y la grasa de Hoffa, por artrofibrosis. Existe erosión en el polo inferior de la patela. (Flechas gruesas).
| Fecha de creación | Marzo 1 de 2011 |
| Fecha de actualización | Enero 18, 2012 |