SINDROMES DE PLICA.
Una plica es un remanente embriológico de tejido sinovial, encontrado en el borde de una articulación. Estos pliegues son delgados, muy vascularizados y su función es desconocida. (41).
Las plicas asintomáticas pueden encontrarse en rodillas normales. Ante situaciones como el trauma, la actividad deportiva, etc, se inflaman y son causa de dolor. (41).
En el sindome de plica, aparece dolor. Esta estructura se aprecia engrosada, con sinovitis asociada y erosión del cartílago patelar y de los cóndilos. (41).
Todas se identifican en la RM como bandas de baja señal, dentro del líquido articular. (41).
Se han descrito 4 tipos de plicas: (41).

Fig 156. Plica suprapatelar.
A: RM sagital en T2 y B: RM sagital en STIR. Derrame articular con imagen serpentiginosa a nivel suprapatelar, que corresponde a plica.

Fig 157. Plica suprapatelar.
A: RM sagital en FFE y B: RM sagital en T2. Derrame articular y signos de sinovitis.
Imagen serpentiginosa a nivel suprapatelar, que corresponde a plica.

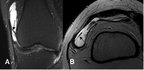
Fig 158. Plica infrapatelar.
A: RM sagital en T2 y B: RM sagital en STIR. Imagen paralela y por delante del LCA,
que corresponde a plica infrapatelar.

Fig 159. Plica medial.
A y B: RM axial en T2. Imágenes hipodensas en la parte medial de la cavidad articular,
por plicas mediales. En B hay subluxación lateral de la patela.

Fig 160. Plica lateral.
A: RM coronal y B: RM axial en STIR. Imagen lineal en la parte lateral, que corresponde
a plica.
| Fecha de creación | Marzo 1 de 2011 |
| Fecha de actualización | Noviembre 10, 2011 |