QUISTE PARAMENISCAL.
Son ocasionados por salida de líquido sinovial, a través de una ruptura horizontal o compleja del menisco (7) y pueden ser la causa de los síntomas. (5).
En unos trabajos es mas frecuente el lateral y en otros el medial. (44).
Se identifican en la RM, como imágenes redondeadas de alta señal en T2, en relación con los meniscos. (5). (Fig 180 y 181).

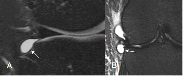
Fig 180. Quiste parameniscal.
A: RM sagital en STIR y B: RM coronal en STIR. Imágenes quísticas en relación con los meniscos, que corresponden a quistes.

Fig 181. Quiste parameniscal.
A: RM axial en T2 y B: RM sagital en T2. Quiste parameniscal en relación con el cuerno anterior del menisco externo.
| Fecha de creación | Marzo 1 de 2011 |
| Fecha de actualización | Septiembre 22, 2011 |