LESIONES MENISCALES.
Las alteraciones en la SI de los meniscos, se han clasificado típicamente en: (5).

Fig 66. Lesión meniscal grado 1.
A y B: RM sagital en T1. Areas redondeadas en hiperintensas en T1, por degeneración mucoide.

Fig 67. Lesión meniscal grado 2.
A: RM sagital en T1 y B: RM sagital en FFE. Imágenes hiperintensas y en sentido horizontal, que no se comunican con las superficies y corresponden a degeneración.

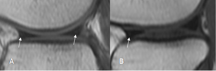
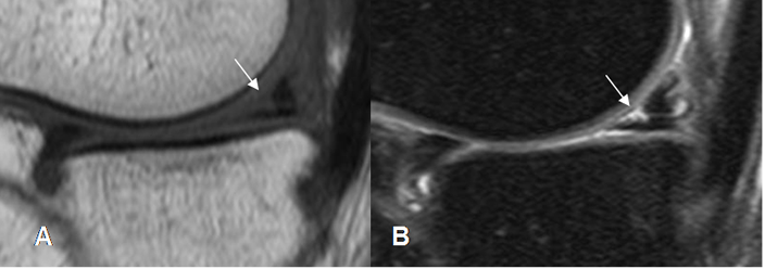
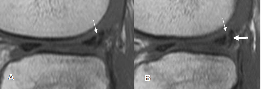
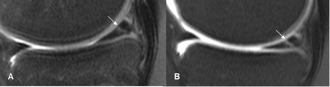
Fig 68. Ruptura meniscal dudosa.
A y B: RM sagital en T1. Imágenes hiperintensas y en sentido oblicuo, sobre el cuerno posterior del menisco interno. La completa comunicación con el borde inferior, es difícil de determinar con certeza.
En los niños pueden encontrarse zonas hiperintensas, que corresponder a vascularización y no a degeneración mucoide, las cuales desaparecen con el tiempo. (5).
La importancia de clasificar las lesiones meniscales según su forma, radica en que las longitudinales y oblicuas pueden ser suturadas y las horizontales, radiales y complejas, generalmente requieren de remodelación (Meniscectomía parcial). (27).
Hay 2 criterios principales para diagnosticar la ruptura meniscal, con una alta sensibilidad. (5).

Fig 69. Ruptura meniscal.
A: RM sagital en T1 y B: RM sagital en STIR. Cuerno anterior del menisco externo mas pequeño y con alteración de su señal, como signo específico de ruptura.

Fig 70. Ruptura meniscal.
A: RM sagital en T1 y B: RM sagital en T2. Imagen en sentido oblicuo, hiperintensa en ambas secuencias, que se comunica con las superficies articulares superior e inferior, por ruptura.
Tipos de rupturas: (27).
Los patrones mas comunes son el vertical y el oblicuo. (16).

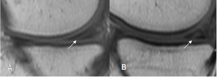
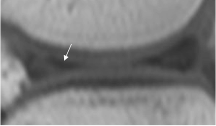
Fig 71. Ruptura meniscal horizontal.
A: RM sagital en T1 y B: RM sagital en STIR. Imagen en sentido horizontal que se comunica el borde libre y la superficie articular inferior, por ruptura meniscal.

Fig 72. Ruptura meniscal vertical.
A y B: RM sagital en STIR. Imagen en sentido vertical que se comunica con la superficie articular inferior, por ruptura meniscal.

Fig 73. Ruptura meniscal.
A: RM sagital en T1 y B: RM sagital en STIR. Imagen en sentido oblicuo, que se comunica con la superficie articular superior, por ruptura meniscal.
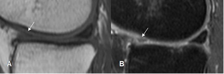
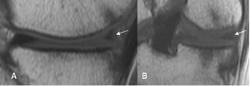
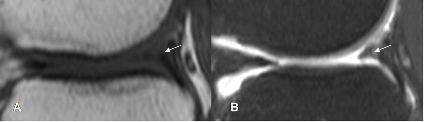
Fig 74. Ruptura meniscal oblicua.
A: RM sagital en T1 y B: RM sagital en STIR. Imagen en sentido oblicuo, que se comunica con la superficie articular inferior, por ruptura meniscal.

Fig 75. Ruptura meniscal radial.
A y B: RM sagital en T1. Alteración en la parte medial del menisco, por ruptura radial.
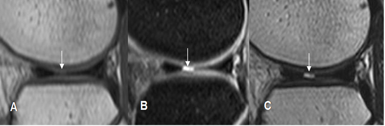
Fig 76. Ruptura meniscal radial.
A: RM sagital en T1, B: RM sagital en STIR y C: RM sagital en T2. Defecto en la parte medial del cuerno anterior del menisco, por ruptura radial.

Fig 77. Ruptura meniscal compleja.
A, B y C: RM sagital en T1. Pérdida de la señal y configuración de los meniscos, con imágenes horizontales, verticales y oblicuas, por ruptura compleja.

Fig 78. Ruptura meniscal en asa de cubo.
A y B: RM sagital en T2. Signo clásico del doble LCP, por ruptura en asa de cubo. LCP normal (Flecha gruesa) y menisco desplazado (Flecha delgada).

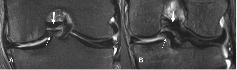
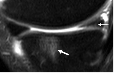
Fig 79. Ruptura meniscal en asa de cubo.
A y B: RM coronal en STIR. Fragmento meniscal ocupando la región intercondilea, por ruptura en asa de cubo. LCP normal (Flecha gruesa) y menisco desplazado (Flecha delgada).

En el pasado la resección meniscal completa, era el procedimiento realizado en casos de ruptura. Al ver las complicaciones a largo plazo, se ha dejado de lado y ahora la técnica de elección es la sutura o resección parcial, tratando de preservar la mayor cantidad de menisco posible. (28). (Fig 81, 82 y 83).

Fig 81. Resección meniscal.
RM sagital en T1. Ausencia del cuerno anterior del menisco externo, por resección completa.

Fig 82. Resección meniscal.
A: RM coronal y B: RM sagital en T1. Después de una menisectomía completa aparecen cambios degenerativos, como formación de osteofitos, erosión de las superficies articulares y disminución o pérdida del espacio.

Fig 83. Resección meniscal parcial.
A: RM sagital y B: RM coronal en T1. Cuerno posterior del menisco interno mas pequeño, por menisectomía parcial. Adicionalmente hay lesiones osteocondrales el en platillo tibial y el cóndilo femoral.
La ecografía puede ser utilizada para valorar rupturas meniscales, pero esta modalidad sola no es suficiente para hacer un diagnóstico preciso. Se identifica como una imagen lineal hipo o anecoica, dentro de un menisco ecogénico. (9).
Varias causas de error y falsos positivos en el diagnóstico de rupturas meniscales, han sido identificados: El tendón poplíteo, los ligamentos meniscofemorales, el ligamento transverso o intermeniscal anterior y el fenómeno del ángulo mágico. Este último es mas frecuente en el cuerno posterior del menisco externo. (5, 29). (Fig 84 y 85).
La mayor cantidad de falsos negativos y positivos de rupturas meniscales, ocurre en el cuerno posterior y la parte media del menisco externo. (30).

Fig 84. Falsa ruptura meniscal.
A y B: RM sagital en T1. En A hay imagen en sentido oblicuo en el cuerno anterior, que se comunica con la superficie articular superior, sugestiva de ruptura meniscal. En el corte sucesivo B, se aprecia que la imagen está compuesta por el cuerno anterior del menisco (Flecha delgada) y el ligamento transverso (Flecha gruesa) y no corresponde a ruptura.

Fig 85. Falsa ruptura meniscal.
A y B: RM sagital en T1. Imagen en sentido vertical, sobre el cuerno posterior del menisco externo en A, que se comunica con la superficie articular superior, compatible con ruptura meniscal. En el siguiente corte B, esta imagen está formada por el borde del menisco y el tendón poplíteo, correspondiendo a falsa ruptura.
Hasta el 25 % de las rupturas meniscales son reparables y esto depende de su estabilidad. En RM se considera una ruptura inestable, si es complejas, el fragmento se desplaza mas de 3 mm o tiene mas de 1 cm de longitud. La sutura de lesiones entre 6 y 10 mm, es discutible. (5). (Fig 86, 87 y 88).
Otro requisito para suturar es que el fragmento interno esté intacto o localizado en la porción periférica o a menos 4 mm de la unión menisco-capsular. En niños y adultos se puede suturar hasta 50-60% de las lesiones en la periferia, por su alta vascularización. (5)
Lesiones pequeñas y estables en la zona central, requieren mínima menisectomía. (5).

Fig 86. Ruptura inestable.
RM sagital en T1. Fragmento meniscal roto, desplazado medialmente.

Fig 87. “Luxación” meniscal.
A: RM coronal en STIR y B: RM sagital en STIR. Desplazamiento anterior y lateral, del cuerno anterior del menisco interno. Hay contusión ósea asociada.

Fig 88. Rupturas inestables.
A: RM sagital en T1. Ruptura compleja con múltiples fragmentos.
B: RM sagital en STIR. Ruptura transversa y muy extensa.
El dolor post menisectomía o sutura, puede ser debido a nueva ruptura, falla en la sutura o stress oseo adyacente. (16). La ArtroRM es la modalidad de elección para diferenciar nueva lesión traumática, cambios postquirúrgicos u otros cambios crónicos. (5,16, 28).
Aunque es controvertido, varios estudios recomiendan la ArtroRM de entrada en la valoración de la rodilla postquirúrgica sintomática, porque aumenta la sensibilidad para la valoración meniscal y del injerto del LCA, en casos de existir. (31).
La señal y configuración del menisco reparado, es variable a la del menisco original, lo que dificulta la valoración. Es muy importante la comparación con los estudios previos. (5).
El diagnóstico de re-ruptura, se hace siguiendo los mismos criterios que en un menisco normal, por alteración en la SI y morfología. (5). (Fig 89 y 90).
La mezcla de contraste tiene menos viscosidad que el líquido sinovial y entra mas fácilmente en las re-rupturas. (32). Por esto la imagen hiperintensa, tiene una SI similar a la mezcla de gadolinio. (31). (Fig 91 y 92).
La zona de sutura puede permanecer hiperintensa, por incompleta cicatrización y la comparación con estudios anteriores es definitiva. (28, 32).

Fig 89. Cambios PostQx.
A: RM sagital en T1. Cuerno posterior del menisco mas pequeño y con alteración en su señal, por menisectomía parcial.
B: ArtroRM sagital en STIR. Aunque el menisco es mas pequeño, no se aprecia lesión hiperintensa sugestivas de re-ruptura.

Fig 90. Cambios PostQx.
ArtroRM sagital en STIR. Cuerno posterior mas pequeño y con imagen hiperintensa en la parte inferior, que corresponde a sutura. (Flecha delgada). No hay signos de re-ruptura. Adicionalmente se aprecia contusión del platillo tibial, que puede explicar los síntomas. (Flecha gruesa).

Fig 91. Cambios PostQx.
A: RM sagital en T1 y B: RM sagital en STIR. Ruptura transversa suturada, en el cuerno posterior. En B, se aprecia imagen hiperintensa que se comunica con la superficie articular inferior, a diferenciar entre re-ruptura y cambios postQx.
C: ArtroRM sagital en STIR. La lesión se llena de contraste, confirmando la re-ruptura.

Fig 92. Cambios PostQx.
A: RM sagital en STIR. Sutura meniscal en el cuerno posterior del menisco, que se identifica como imagen hiperintensa y en sentido oblicuo.
B: ArtroRM sagital en STIR. Por sospecha de re-ruptura se hace un control, encontrando tejido de granulación en la parte superior (Flecha delgada), que impide el paso del contraste y corresponde a cicatriz.
En los meniscos también pueden ocurrir contusiones, sin ruptura. Ocurren cuando el menisco queda atrapado, por mecanismo de compresión entre el cóndilo femoral y el platillo tibial, generalmente asociado a lesión del LCA. Se aprecia aumento en la señal del menisco, asociado a contusión ósea y sin signos de ruptura. (5). (Fig 93).

Fig 93. Contusión meniscal.
A: RM sagital en T1 y B: RM sagital en STIR. Menisco anterior con aumento de su señal en T1 y STIR, por contusión y sin signos de ruptura.
| Fecha de creación | Marzo 1 de 2011 |
| Fecha de actualización | Enero 17, 2012 |