ENFERMEDAD DE HOFFA.
Es un síndrome de pinzamiento de la grasa infrapatelar, ocasionado por microtrauma repetido entre el fémur y la tibia. (7).
Inicialmente se produce hemorragia, luego inflamación y posteriormente cicatrización. (7).
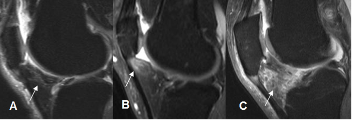
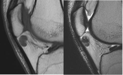
En la RM se encuentra aumento en la señal en T2, presencia de líquido y compresión del tendón patelar. En las fases crónicas aparece disminución de la señal por la fibrosis y formación de hemosiderina. (7). (Fig 154 y 155).

Fig 154. Hoffitis.
A, B y C: RM sagital en STIR. Zonas hiperintensas en la grasa infrapatelar, de grado variable y progresivo, por cambios inflamatorios.

Fig 155. Hoffitis crónica.
A: RM sagital en T1 y B: RM sagital en T2. Imagen hipointensa en ambas secuencias, sobre la parte superior de la grasa infrapatelar, que corresponde a fibrosis residual.
| Fecha de creación | Marzo 1 de 2011 |
| Fecha de actualización | Noviembre 10, 2011 |