GANGLIONES DE RODILLA.
Se puede originar de la cápsula articular, los ligamentos, las bursas, las vainas tendinosas y el hueso subcondral. (7).
Al contrario de los quistes meniscales, no se asocian a rupturas. (7).
Los hallazgos son similares a cualquier lesión quística. (Fig 185 a 188).

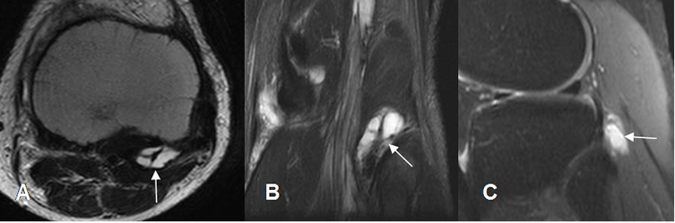
Fig 185. Bursitis del poplíteo.
A: RM axial en T2, B: RM coronal en STIR y C: RM sagital en STIR. Lesión quística en relación con el tendón poplíteo, por bursitis.

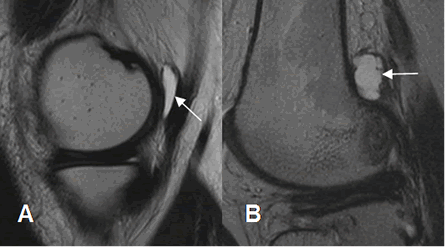
Fig 186. Bursitis.
A y B: RM sagital en T2. Bursitis del músculo semimembranoso en A y del gemelo externo en B.

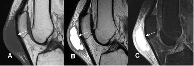
Fig 187 A. Bursitis suprapatelar.
A: RM sagital en T1, B: RM sagital en T2 y C: RM sagital en STIR. Lesión quística de localización suprapatelar, que corresponde a bursitis.

Fig 187 B. Bursitis infrapatelar.
A: RM sagital en T1, B: RM sagital en T2 y C: RM sagital en STIR. Imagen ovalada y de consistencia líquida, en los tejidos blandos de la región infrapatelar, por bursitis. Hay cambios inflamatorios asociados en los tejidos blandos vecinos.

Fig 188. Ganglión de los ligamentos cruzados.
A: RM sagital en T2 y B: RM coronal en STIR. Imagen quística proyectada por detrás de los ligamentos cruzados, que corresponde a ganglión.
| Fecha de creación | Marzo 1 de 2011 |
| Fecha de actualización | Febrero 2, 2012 |