INESTABILIDAD Y CONDROMALACIA PATELAR.
La mayoría de pacientes con inestabilidad patelo-femoral, tienen una alteración anatómica que predispone a esta patología. (12).
La desalineación puede ocurrir en el plano vertical o en el transversal. (12).

Fig 161. Inestabilidad patelar vertical.
A: Rx lateral. Patela alta. La longitud de la patela (Flecha delgada), es menor que el espacio entre su polo inferior y el sitio de inserción. (Flecha gruesa).
B: RM sagital en T1. Patela alta, sin alteración del mecanismo extensor. Existe lesión osteocondral, en la parte posterior.

Fig 162. Inestabilidad patelar vertical.
A: Rx lateral. Patela baja. La longitud de la patela (Flecha delgada), es mayor que el espacio entre su polo inferior y el sitio de inserción. (Flecha gruesa). Se aprecian calcificaciones anteriores, por tendinitis crónica. (Punta de flecha).
B: RM sagital en T1 y C: RM sagital en T2. Engrosamiento de los tendones del cuadriceps (Flecha delgada) y patelar (Flecha gruesa), por tendinitis crónica.
En la inestabilidad, el ángulo patelo- femoral tiene un vértice medial o líneas paralelas, que indican inclinación patelar. (Fig 164 y 165).

Fig 163. Inestabilidad patelar transversal.
Rx tangencial de patela. Angulo de congruencia positivo, por subluxación.

Fig 164. Inestabilidad patelar transversal.
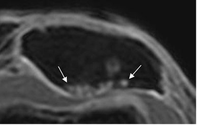
A: RM axial 3D T1 STIR y B: RM axial en T2. Desplazamiento lateral de la patela, sin alteración del cartílago articular.

Fig 165. Inestabilidad patelar transversal.
Rx tangencial de patela. Angulo patelofemoral anormal, con líneas paralelas, que indican desplazamiento lateral.
Hasta el 75% de las personas mayores de 75 años, presentan osteoartrosis con compromiso del cartílago. En pacientes mas jóvenes las lesiones osteocondrales son frecuentes, sin artrosis y se asocian a trauma meniscal y del LCA. (13).
La degeneración patelar se puede dividir en basal y superficial. (14).
La Rx simple no detecta los cambios tempranos. (14). Posteriormente aparecen los signos típicos de la osteoartrosis, con disminución del espacio, esclerosis, erosión articular, quistes subcondrales y formación de osteofitos. (13, 42). (Fig 165 A).

Fig 165 A. Inestabilidad patelar transversal.
A: Rx lateral y B: Rx tangencial. Cambios degenerativos con disminución del espacio patelofemoral, esclerosis y formación de osteofitos.
C: RM axial en 3D T1 STIR. Lateralización, pérdida del cartílago articular en la parte externa y lesiones osteocondrales, por Condromalacia GIV.
Las secuencias de RM potenciadas en T1, tienen buena sensibilidad para detectar lesiones condrales. (13). Ver mas adelante la artropatía degenerativa.
Para una valoración sistemática con RM, se recomienda dividir la rodilla en 6 superficies articulares: la patelar, surco troclear, cóndilos femorales y platillo tibiales. (43).
Existe una clasificación artroscópica, que se utiliza para la descripción de los hallazgos: (42, 43).

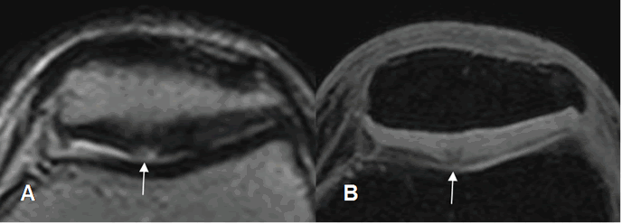
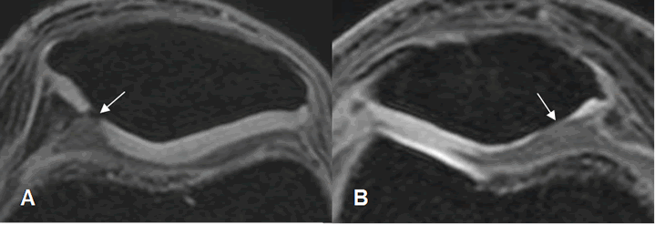
Fig 166. Condromalacia patelar grado 2.
A: RM axial en T2 y B: RM axial en 3D T1 STIR. Erosión del cartílago articular a nivel del vértice, menor del 50%.

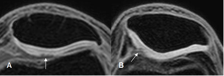
Fig 167. Condromalacia patelar grado 2.
A y B: RM axial en 3D T1 STIR. Adelgazamiento del cartílago articular menor del 50%.

Fig 168. Condromalacia patelar grado 3.
A: RM axial en T2 y B: RM axial en 3D T1 STIR. Pérdida del cartílago articular a nivel del vértice, mayor del 50%.

Fig 169. Condromalacia patelar grado 3.
A y B: RM axial en 3D T1 STIR. Pérdida del cartílago articular, mayor del 50%.

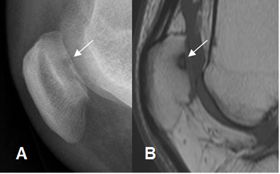
Fig 170. Condromalacia patelar grado 4.
A: Rx lateral y B: RM sagital en T1. Lesión del cartílago articular, con defecto óseo en la patela, por condromalacia G 4.

Fig 171. Condromalacia patelar grado 4.
A y B: RM axial en 3D T1 STIR. Pérdida del cartílago articular, con lesión osea asociada de la patela.

Fig 172. Condromalacia patelar grado IV.
RM axial en 3D T1 STIR. Pérdida completa del cartílago articular en la parte externa, con lesión osea asociada de la patela.
En las lesiones grado 2 y 3, puede encontrarse edema óseo reactivo, por artrosis temprana. (43). (Fig 173).
El patrón de edema óseo subcondral en el eje axial, hipointenso en T1 e hiperintenso en T2, también se ha clasificado en: (42).

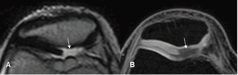
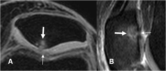
Fig 173. Lesión subcondral.
A: RM 3D axial en T1 STIR y B: RM sagital en STIR. Adelgazamiento del cartílago articular a nivel del vértice, (Flechas delgadas) menor del 50%, con áreas hiperintensas en la patela, que corresponden a lesiones subcondrales. (Flechas gruesas).

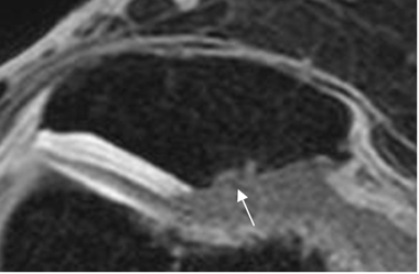
Fig 174. Edema óseo.
A: RM 3D T1 STIR. Condromalacia grado 4, con edema óseo reactivo severo, a nivel del vértice.
| Fecha de creación | Marzo 1 de 2011 |
| Fecha de actualización | Junio 9, 2014 |