BURSITIS.
Esta patología debe ser siempre incluida, en el diagnóstico diferencial del dolor medial de la rodilla. (46).
La mas común es la anserina o de la pata de ganso, sobre la inserción medial en la tibia, de los tendones del semitendinoso, sartorio y recto interno. (46).
Esta bursa no se comunica con la cavidad articular y el trauma repetido, produce su inflamación y distensión. (46).
En la RM se aprecia como una imagen quística hipointensa en T1 e hiperintensa en T2, en relación con los tendones. En los casos crónicos hay engrosamiento de la pared y liquido con señal heterogénea. (46). (Fig 182, 183 y 184).

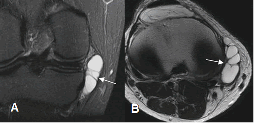
Fig 182. Bursitis anserina.
A: RM coronal en STIR y B: RM axial en T2. Lesión quística septada, en relación con los tendones de la pata de ganso, que corresponde a bursitis.

Fig 183. Bursitis anserina.
A: Rx AP. Prominencia de los tejidos blandos en la parte medial de la rodilla.
B: RM sagital en T2 y C: RM coronal en STIR. Imágenes quísticas que desplazan los tendones de la pata de ganso, por bursitis.

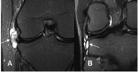
Fig 184. Bursitis lateral.
A y B: RM coronal en STIR. Lesiones por bursitis en relación con el tendón de la banda iliotibial en A y con el tendón del biceps femoral en B.
| Fecha de creación | Marzo 1 de 2011 |
| Fecha de actualización | Noviembre 10, 2011 |