QUISTE DE BAKER.
Hay varias lesiones quísticas en la rodilla, que ocasionan dolor y prominencia de los tejidos blandos. (44).
La mayoría de los pacientes son asintomáticos y estudiados por otro motivo. (44).
QUISTE DE BAKER:
Es una comunicación entre la articulación de la rodilla y la bursa, localizada entre el semimembranoso y el gastrognemio medial. (45).
Se origina por aumento en la presión de la cápsula y asocia a múltiples alteraciones de la rodilla. (45). Hay asociación significativa con la artropatía degenerativa y la ruptura meniscal, aún sin existir aumento de la presión intra-articular.
Esta alteración actúa como una válvula, que permite la entrada, pero no la salida del líquido en la bursa. (45).
Clínicamente se manifiesta como masa dolorosa, en la parte medial de la fosa poplítea. (45).
Se identifica en la ecografía, como una lesión posterior y comunicada en la cavidad articular. Puede tener contenido anecoico, hipoecoico o de ecogenicidad mixta y se relaciona con los músculos. (9). (Fig 175A y 175B).
En la RM se aprecia como lesión quística posterior. Puede presentar signos de sinovitis o cuerpos libres en su interior. (Fig 176 a 179).

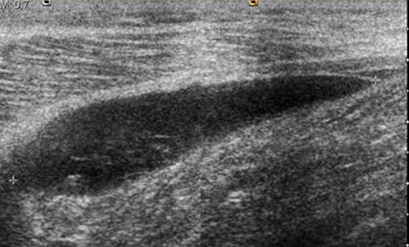
Fig 175 A. Quiste de Baker.
Ecografía sagital. Imagen ovalada y de consistencia quística, en la fosa poplítea. Muestra ecos en su interior por inflamación o alto contenido de proteínas.

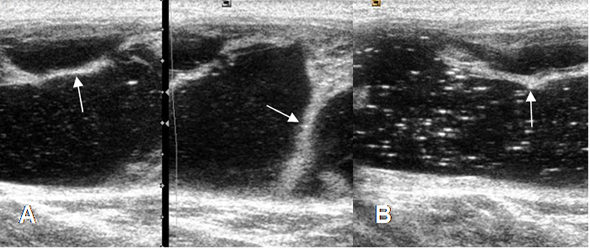
Fig 175 B. Quiste de Baker complicado.
A y B: Ecografías. Lesión de consistencia líquida en la fosa poplítea, con septos gruesos (flechas) y ecos internos, por sangrado sobre-infección o alto contenido de proteínas, que corresponde a quiste de Baker complicado.

Fig 176. Quiste de Baker.
A: RM axial en T2 y B: RM axial en FFE. Lesión quística entre los músculos gemelo interno (Flecha gruesa) y semimembranoso (Flecha delgada), que corresponde a quiste de Baker.

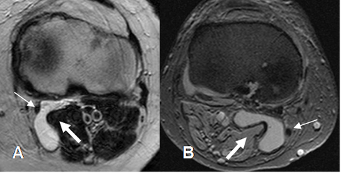
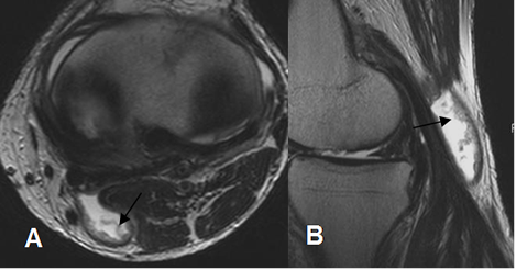
Fig 177. Quiste de Baker.
A: ArtroRM axial en STIR y B: ArtroRM sagital en STIR. Presencia de contraste en el interior de un quiste de Baker, por su comunicación con la cavidad articular.

Fig 178. Quiste de Baker complicado.
A: RM axial en T2 y B: RM sagital en T2. Prominencia del revestimiento sinovial dentro de un quiste de Baker, por inflamación asociada.

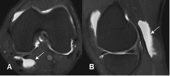
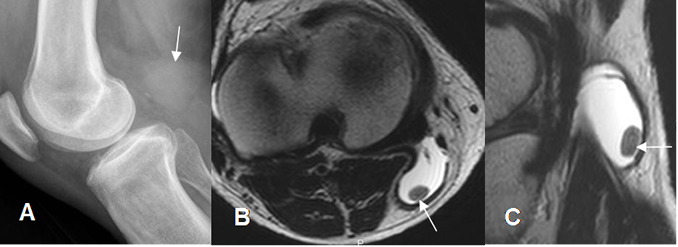
Fig 179. Quiste de Baker complicado.
A: Rx lateral de rodilla. Prominencia de los tejidos blandos en la región poplítea, por la presencia de quiste de Baker.
B: RM axial en T2 y C: RM sagital en T2. Dentro del quiste de baker, se identifica cuerpo libre no calcificado.
| Fecha de creación | Marzo 1 de 2011 |
| Fecha de actualización | Junio 14, 2014 |