ARTROPATIAS RODILLA.
Al igual que el resto de articulaciones, la rodilla puede estar afectada por cualquiera de tipo de artropatía.
Sus cambios se discuten mejor en el capitulo dedicado a este grupo de enfermedades, pero se muestran algunos ejemplos.
Aspectos claves a tener en cuenta:
Osteopenia con erosiones óseas, formación de pannus y deformidad. El compromiso es simétrico y en los casos avanzados, la disminución del espacio articular es uniforme. (Fig 191 y 192).

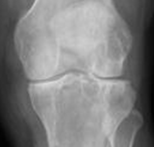
Fig 191. Artritis reumatoidea.
Rx AP. Disminución simétrica de los espacios femorotibiales, en ausencia de osteofitos, por artritis reumatoidea incipiente.

Fig 192. Artritis reumatoidea.
A: Rx AP y B: Rx lateral de rodilla. Osteopenia generalizada, con pérdida de los espacios femorotibiales y ausencia de osteofitos. Deformidad en valgo asociada.
Secundario a la proliferación y metaplasma sinovial.
Existe derrame articular y otros cambios que dependen del grado de calcificación de los cuerpos libres. (Fig 193 y 194).

Fig 193. Condromatosis sinovial.
A: Rx oblicua. No se encuentran anormalidades.
B: RM sagital en FFE y C: RM coronal en STIR. Moderado derrame articular, con cuerpo
libre no calcificado en el espacio suprapatelar.

Fig 194. Condromatosis sinovial.
A: Rx lateral. Imágenes densas proyectadas sobre la región intercondílea.
B: RM sagital en T1 y C: RM sagital en STIR. Lesión hipointensa en ambas secuencias,
por detrás del LCP, que corresponde a cuerpo libre calcificado.
Ocasionada por el depósito de cristales en las articulaciones, que desencadena inflamación de la sinovial.
Produce calcificaciones lineales continuas o discontinuas, que siguen el trayecto subcondral. (Fig 195).

Fig 195. Artropatía por cristales.
A: Rx AP. Calcificación del menisco externo.
B:
Rx AP. Calcificación meniscal (Flecha delgada) y de la cápsula articular. (Flechas gruesas).
Alteración neoplásica benigna, con proliferación de la sinovial y de causa desconocida.
La proliferación sinovial tiene tendencia a sangrar y se forman depósitos de hemosiderina.
En la RM hay engrosamiento de la sinovial, hipointensa en T1 y T2, por el contenido de hemosiderina y la fibrosis. (Fig 196 y 197).

Fig 196. Sinovitis villonodular pigmentaria.
A: Rx lateral. Prominencia de los tejidos blandos, sobre la zona poplítea.
B: RM sagital en T2 y C: RM sagital en STIR. Proliferación sinovial, con áreas hipointensas en la parte posterior, por la presencia de hemosiderina y fibrosis.

Fig 197. Sinovitis villonodular pigmentaria.
A: Rx lateral. Imagen lobulada y calcificada, en la parte superoexterna de la patela.
B: RM sagital en T2 y C: RM coronal en STIR. Lesión hipointensa en ambas secuencias a nivel intra-articular, que corresponde a sinovitis villonodular pigmentaria.
| Fecha de creación | Marzo 1 de 2011 |
| Fecha de actualización | Noviembre 11, 2011 |