ARTROPATIA DEGENERATIVA.
Por su importancia, vamos a discutir mejor algunos aspectos de esta artropatía.
Es una enfermedad degenerativa, que compromete el cartílago articular.
Lo característico es la formación de osteofitos marginales, disminución del espacio articular y esclerosis subcondral. En los casos avanzados se encuentran quistes subcondrales, derrame articular, degeneración o ruptura meniscal y lesiones ligamentarias. (42).
En los sitios de inserción ósea, la sinovial se continúa con el cartílago y el periostio. En ese lugar, es donde se desarrollan los osteofitos.
Los osteofitos corresponden a sobrecrecimiento del hueso subcondral, que se recubren por periostio y fibrocartílago. (48).
En la Rx lateral, los osteofitos se aprecian como imágenes lineales y paralelas a los cóndilos, que se continúan con el surco patelar. (48). (Fig 198 y 199).
Los centrales o intercondilares, son identificados mejor con la proyección especial de túnel (Fick) y deben diferenciarse de los cuerpos libres intra-articulares, que no se continúan con los bordes óseos.
Los osteofitos centrales generalmente se asocian a los marginales y es raro que aparezcan aislados. Se sitúan en la parte posterior de los cóndilos y entre articulación femorotibiopatelar. (48). (Fig 200 y 201).

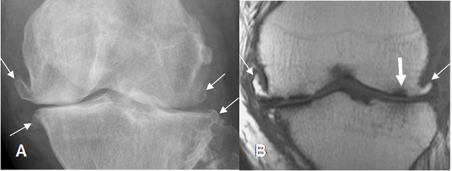
Fig 198. Artropatía degenerativa.
A: Rx AP y B: RM coronal en T1. Cambios degenerativos con formación de osteofitos (Flechas delgadas), disminución de los espacios femorotibiales, erosión de las superficies articulares y lesiones osteocondrales. (Flecha gruesa).

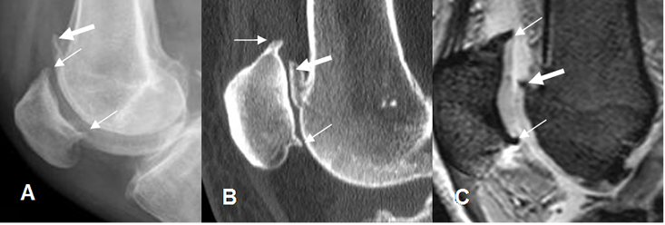
Fig 199. Artropatía degenerativa.
A: Rx lateral, B: TAC reconstrucción sagital y C: RM sagital en FFE. Presencia de osteofitos en el polo superior e inferior de la patela (Flechas delgadas) y la parte anterior del fémur distal. (Flecha gruesa).

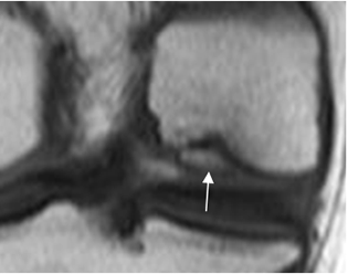
Fig 200. Osteofitos centrales.
A: Rx de túnel o proyección de Fick y B: RM coronal en T1. Presencia de osteofitos centrales,
que disminuyen la amplitud de la región intercondílea.

Fig 201. Osteofitos centrales.
A: Rx AP y B: Rx lateral de rodilla. Formación de osteofitos centrales (Flecha delgada). En B existen cambios degenerativos en la articulación patelofemoral, con pérdida del espacio, esclerosis y osteofitos. (Flecha gruesa).
Se ha utilizado la escala de Kellgren-Lawrence (KL) para valorar la osteoartritis, con Rx simple: (42). (Fig 202).

Fig 202. Escala de la osteoartritis.
A: Rx AP. Estado 1: Incipiente formación de osteofito, en el cóndilo femoral medial.
B: Rx AP. Estado 2: Osteofito femoral, con leve disminución del espacio femorotibial.
C: Rx AP. Estado 3: Osteofitos con pérdida del espacio femorotibial.
D: Rx AP. Estado 4: Osteofitos con pérdida del espacio y esclerosis asociada.
La RM es la modalidad de elección, para el estudio de las lesiones osteocondrales. El principal signo de inestabilidad de una lesión osteocondral, es la presencia de una imagen hiperintensa en T2, entre el fragmento y el hueso subyacente, que representa tejido de granulación. (49). (Fig 203).
Fig 203. Lesión osteocondral inestable.
A: Rx AP. Area densa sobre el cóndilo femoral lateral.
B: RM sagital en T1. La imagen corresponde a lesión osteocondral.
C: RM coronal en STIR y D: RM coronal en T2. Lesión osteocondral con bordes hiperintensos, lo que indica inestabilidad.
Clasificación modificada en RM, de las lesiones osteocondrales: (49).

Fig 204. Lesión osteocondral tipo 1.
A: RM sagital en T1 y B: RM sagital en STIR. Lesión subcondral hipointensa en T1
e hiperintensa en STIR (Flecha gruesa), con el cartílago conservado. (Flecha delgada).

Fig 205. Lesión osteocondral tipo 2.
A: RM sagital en T1 y B: RM sagital en T2. Lesión osteocondral con borde hipointenso en T1 e hiperintenso en T2, indicando inestabilidad asociada.

Fig 206. Lesión osteocondral tipo 3.
A: Rx AP. Pérdida de la configuración sobre el borde inferior, del cóndilo femoral medial.
B: RM sagital en T1 y C: RM sagital en T2. Lesión osteocondral con desprendimiento parcial del fragmento.

Fig 207. Lesión osteocondral tipo 4.
RM coronal en T1. Lesión osteocondral con fragmento desprendido, pero no desplazado.

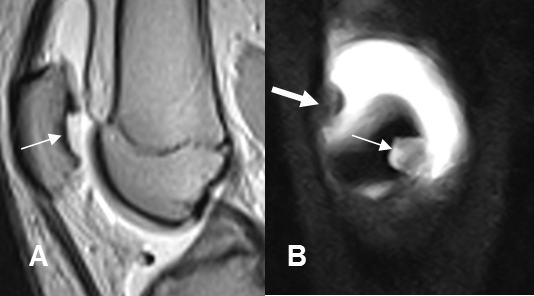
Fig 208. Lesión osteocondral tipo 5.
A: Rx AP y B: RM coronal en T1. Fragmento osteocondral desprendido, en la parte externa de la cavidad articular.
C: RM sagital en T1. Defecto en el cóndilo femoral externo, de donde se desprendió el fragmento.

Fig 209 A. Lesión osteocondral tipo 5.
A: ArtroRM axial en STIR y B: ArtroRM sagital en T1. Defecto condral en el vértice (Flecha gruesa), con fragmentos libres sueltos. (Flechas delgadas).

Fig 209 B. Lesión osteocondral tipo 5.
A: RM sagital en T2 y B: RM coronal en STIR. Defecto osteocondral, (Flechas delgadas)
con un fragmento de cartílago desprendido. (Flecha gruesa).
| Fecha de creación | Marzo 1 de 2011 |
| Fecha de actualización | Junio 14, 2014 |