TRAUMA DEL PLEJO.
Las lesiones traumáticas, son las responsables de la mayoría de alteraciones. (2).
Los mecanismos incluyen lesiones por tracción, compresión, heridas penetrantes, fracturas o luxaciones. (3). En los recién nacidos, se debe considerar el trauma obstétrico. (4).
El trauma produce parálisis motora parcial o completa. (4). En algunos pacientes se puede recobrar algo de función después de una neuropraxia, pero no cuando sucede una avulsión. (1).
Es aconsejable tomar una radiografía de tórax ya que una parálisis del diafragma, es un signo de lesión no reparable del plejo. (1).
Las lesiones se puede clasificar en preganglionar (Avulsión de la raíz), postganglionar (Daño del nervio distal al ganglio) y mixta. En las lesiones preganglionares, se puede recuperar la función con transferencia de nervios y en las postganglionares, se realizan injertos o manejo conservador. (4).
Para la valoración del trauma, se sugiere hacer RM con contraste, mas mielografía. (4).
Con la RM se puede apreciar hiperintensidad medular en T2, por edema agudo o por mielomalacia, en fase crónica. (4).
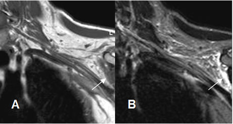
En la neuropraxia hay cambios inflamatorios, rodeando las raíces. (Fig 7 y 8).
La ausencia de la raíz es el principal signo de ruptura (4). La avulsión de una raíz ocasiona seudomeningocele, por ruptura de la aracnoides y la duramadre. Se identifican en las secuencias de T2, como una lesión de consistencia quística que rodea la raíz. (1, 3).
Identificar un seudomeningocele traumático es un signo de lesión preganglionar, pero no patognomónico. (4). (Fig 9).
El realce del contraste por los músculos paraespinales, también es el principal signo agudo de ruptura de raíces. Es secundario a la denervación y se produce por hipervascularización. Es mejor visualizado en los músculos multifidos. (4).

Fig 7. Neuropraxia.
A: RM axial en T2y B: RM axial en STIR. Presencia de líquido rodeando la raíz izquierda, después del agujero de conjunción, posterior a un accidente con hiperextensión del hombro.

Fig 8. Neuropraxia.
A: RM coronal en T1y B: RM coronal en STIR. Cambios inflamatorios por encima de los vasos subclavios, que rodean las raíces nerviosas, las cuales permanecen integras. La lesión se produjo después de una luxación de hombro.

Fig 9. Ruptura de raíces.
A: RM axial y B: RM coronal en STIR. Formación de seudomeningocele derecho, por avulsión de las raíces.
| Fecha de creación | Marzo 1 de 2011 |
| Fecha de actualización | Junio 2, 2014 |