PATOLOGIA NO TRAUMATICAS DEL PLEJO.
FIBROSIS POST-RADIACION: (PostRTx).
La fibrosis PostRTx, es la causa mas frecuente de lesión no traumática. Los cambios pueden suceder meses o años después, secundarios a la isquemia. Se asocia a síntomas como parestesias, dolor y debilidad, que pueden ser reversibles. (1, 2).
En la RM produce engrosamiento y realce de raíces, sin efecto de masa o lesión de tejidos blandos hipointensa en T1 y T2. (1, 2). (Fig 9 A, B y C).

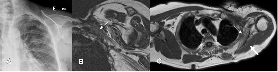
Fig 9A. Cambios por radioTx.
A: Rx PA. Cambios PostQx y PostRTx, por el tratamiento de un liposarcoma en la pared torácica. Ausencia de la clavícula.
B: RM coronal en T2. Las raíces del plejo están engrosadas y rodeadas por tejido fibroso de señal intermedia.
C: RM axial en T1. Atrofia de los músculos infraespinoso (Flecha gruesa) y subescapular (Flecha delgada), el cual presenta además degeneración grasa. Estos cambios son secundarios a la denervación.

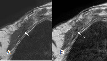
Fig 9B. Cambios por radioTx.
A: RM sagital en T1 simple y B: RM sagital en T1 con contraste. Igual paciente anterior. No se pueden identificar las raíces del plejo, las cuales están rodeadas por tejido inflamatorio, que realza con el contraste, secundario a cambios por radioTx.

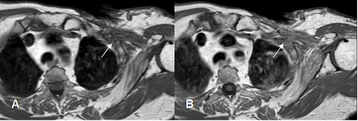
Fig 9 C. Cambios post radioTx.
A: RM axial simple y B: RM axial con contraste. Igual paciente anterior. Alteración de la pared torácica anterior, por cambios Qx. Reemplazo de la grasa que rodea las raíces del plejo braquial, la cual realza con el contraste, por fibrosis secundaria.
INFLAMACION:
La principal condición inflamatoria, es la neuritis de origen viral.
Se caracteriza porque los cambios clínicos mejoran con anti-inflamatorios y por imágenes las raíces son hiperintensas en T2 y realzan con el contraste. (1).
TUMORES:
En los adultos los tumores primarios o secundarios, son la causa mas frecuente de patología, con compromiso mixto, motor y sensitivo. (2).
El plejo braquial puede afectarse por: (1, 2).
En todos los tumores malignos se encuentran lesiones hipointensas en T1 e hiperintensas en T2, que realzan con el contraste. Estos procesos producen efecto de masa o infiltran las raíces. (2). (Fig 14 y 15).

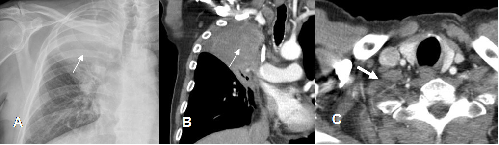
Fig 10. Neoplasia de pulmón.
A: Rx AP y B: TAC reconstrucción coronal. Tumor del surco superior, (Flechas delgadas) con extensión al espacio interescalénico y reemplazo de la grasa normal.
C: TAC axial. Adenopatías metastásicas que obliteran la grasa y engloban las raíces nerviosas.

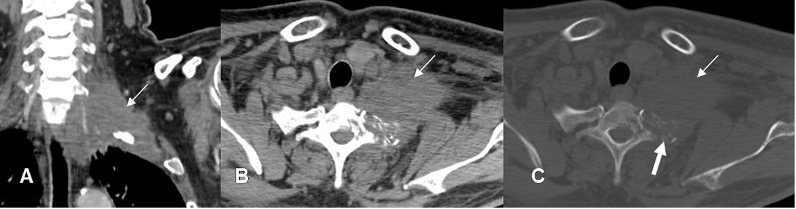
Fig 11. Neoplasia de pulmón.
A: TAC reconstrucción coronal, B: TAC axial en ventana de tejido y C en ventana ósea. Tumor pulmonar con extensión al espacio interescalénico. (Flechas delgadas). Hay destrucción ósea en la apófisis transversa vertebral y el origen de la costilla. (Flechas gruesas).

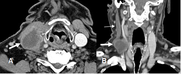
Fig 12. Tumor metastásico.
A: TAC axial y B: TAC reconstrucción coronal con contraste. Adenopatía necrótica en el cuello, secundaria a metástasis de un tumor escamoso. Adicionalmente hay trombosis de la vena yugular. (Flecha delgada).

Fig 13. Tumor metastásico.
A: TAC axial, B: TAC reconstrucción coronal con contraste y C: Rx PA. Adenopatías que ocupan el espacio interescalénico, por metástasis contralateral de neoplasia pulmonar.

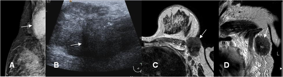
Fig 14. Neo de mama.
A: Mamografía mediolateral. Imagen ovalada y densa, que compromete la región axilar.
B: Ecografía. La lesión es hipoecoica y de bordes parcialmente definidos. Presenta algunas calcificaciones, en su parte superior.
C: RM axial en T2 y D: RM coronal en T2. Lesión hipointensa a nivel de la axila y cuya patología reveló un tumor de mama metastásico.

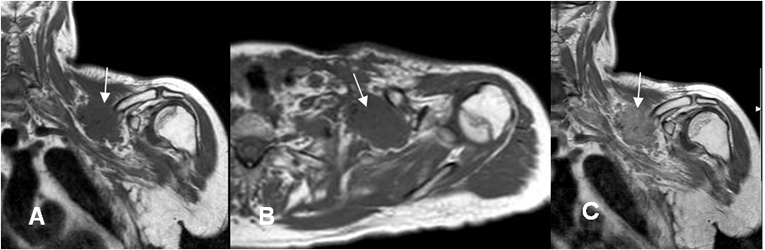
Fig 15. Neo de mama.
A: RM coronal en T1, B: RM axial en T1 y C: RM coronal en T1 con contraste. Igual paciente anterior. Adicionalmente se encuentra cúmulo de adenopatías metastásicas, que realzan con el contraste y comprimen las raíces del plexo braquial.
| Fecha de creación | Marzo 1 de 2011 |
| Fecha de actualización | Junio 2, 2014 |