VALORACION RADIOLOGICA.
Las costillas son sobrestimadas en la Rx de tórax, aunque son fácilmente valoradas con esta modalidad. (3).
Pueden simular lesiones pulmonares y el radiólogo debería conocer sus variantes, para no confundirlas con patología. (3).
El estudio de esta zona del cuerpo, se debe iniciar con radiografía (Rx) simple. Se pueden identificar lesiones focales, calcificaciones anormales, lesiones traumáticas, etc.
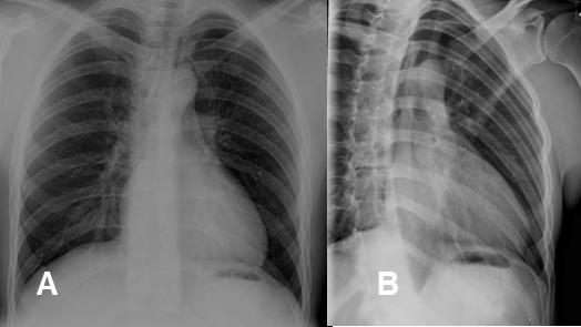
La reja costal se valora con proyecciones PA y oblicua. (Fig 5).
El arco posterior de las costillas tiene una orientación horizontal y el anterior y la unión condrocostal son oblicuos y mas inferiores. Las costillas tienen una forma redondeada en la Rx lateral. (3). (Fig 6 y 7).

Fig 5. Costillas normales.
A: Rx PA y B: Rx oblicua. En la proyección oblicua se aprecian mejor las costillas, porque disminuye la superposición de estructuras.

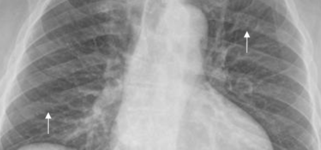
Fig 6. Costillas normales.
Rx PA. Arcos posteriores horizontales (Flechas delgadas) y arcos anterioresoblicuos, que se articulan al esternón mediante el cartílago, no visible en la Rx. (Flechas gruesas).

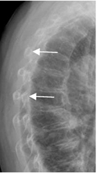
Fig 7. Costillas normales.
Rx lateral. Imágenes redondeadas que corresponden a los arcos posteriores., en la Rx lateral.
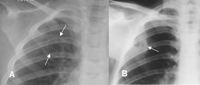
El borde costal superior es liso y bien definido en toda su longitud. Hay pérdida en la nitidez del contorno inferior, por la interposición del paquete vasculonervioso. Este hallazgo es simétrico, no debe ser confundido con patología y es mas encontrado en las costillas del tercio medio. (3). (Fig 8).
Existen variables costales como: (3). (Fig 9).

Fig 8. Costillas normales.
Rx PA. Pérdida de la nitidez en el borde inferior de las costillas, por la interposición del paquete vasculonervioso.

Fig 9. Variantes de costillas.
A: Rx PA. Costilla bífida.
B: Rx PA: Fusión de los bordes anteriores.
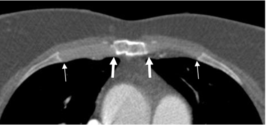
Los cartílagos costales y las articulaciones condrales no se identifican, si no están calcificados. (Fig 10 y 11). Su calcificación no aparece en la Rx, hasta después de los 30 años. (Fig 12).
La calcificación prematura puede aparecer en personas normales o asociado a alteración autoinmune, falla renal crónica, enfermedad tiroidea, malignidad, etc. (3).

Fig 10. Articulación costoesternal normal.
A: TAC reconstrucción coronal y B: RM coronal en T1. Articulaciones costocondrales (Flechas delgadas) y condroesternales normales. (Flechas gruesas).

Fig 11. Esternón normal.
TAC axial. Articulaciones costocondrales (Flechas delgadas) y costoesternales normales (Flechas gruesas).

Fig 12. Costillas normales.
A: Rx PA y B: TAC reconstrucción coronal. Calcificación normal de los cartílagos costales, en las costillas falsas.
La tomografía axial computarizada (TAC) es útil para identificar lesiones ocultas, por la superposición de estructuras. Las reconstrucciones son de mucha utilidad, ya que permiten la valoración tridimensional. (Fig 13).
La resonancia magnética (RM), tiene la desventaja de producir artefactos secundarios a los movimientos respiratorios.

Fig 13. Fractura oculta.
A: Rx PA. Interposición de la silueta cardiaca y aorta descendente, que impide la valoración de la columna dorsal inferior.
B: TAC axial. Fractura no sospechada en la Rx, de la unión costovertebral izquierda.
La Rx PA tiene poca utilidad para el estudio del esternón por su delgadez, su poca mineralización y la interposición de estructuras. (2).
La TAC es la modalidad de elección para valorar este hueso y las articulaciones esternoclaviculares. La RM aporta información adicional sobre la medula osea y los tejidos blandos. (2). (Fig 14, 15 y 16).

Fig 14. Esternón normal.
A: Rx PA. Esternón no visible directamente.
B: TAC reconstrucción coronal. Hueso normal.
C: RM coronal en T1. Esternón hipointenso por predominio de medula osea roja.

Fig 15. Articulación esternoclavicular normal.
A: Rx AP. Articulación con interposición de varias estructuras óseas.
B: TAC axial en ventana de tejido y C: RM axial en T2. Articulación sinovial, con tejido blando que corresponde al cartílago, entre las estructuras óseas.

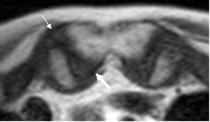
Fig 16. Ligamentos esternoclaviculares.
RM axial en T2. Ligamento esternoclavicular anterior (Flecha delgada) y esternoclavicular posterior (Flecha gruesa).
| Fecha de creación | Marzo 1 de 2011 |
| Fecha de actualización | Abril 7, 2014 |