TUMORES.
La pared torácica contiene hueso, cartílago, músculo, grasa, tejido conectivo, nervios, vasos y linfáticos, etc y de cualquiera de estos tipos celulares, se pueden originar tumores. (4).
Cuando estas lesiones se expanden hacia el pulmón, desplazan la pleura y forman ángulos obtusos con la pared del tórax, en todas las modalidades diagnósticas. (Fig 38). Un signo inequívoco de lesión extrapleural, es encontrar cambios asociados en las costillas. (4). (Fig 39).
La Rx simple permite hacer la primera aproximación y la TAC la caracterización definitiva. La RM es la modalidad de elección, aunque los movimientos respiratorios y el latido cardiaco, pueden ocasionar artefactos que limitan la valoración. (5). (Fig 39 A y B).
La lesión no neoplásica mas frecuente de las costillas, es la displasia fibrosa. (3). (Fig 40).

Fig 38. Lesiones extrapleurales.
A y B: Rx PA. Imágenes densas y de bordes bien definidos, que forman ángulos obtusos con la pared costal, indicando ubicación extrapleural.

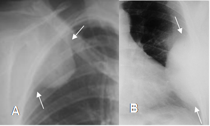
Fig 39. Lesión extrapelural.
A: Rx PA y B: TAC axial. Imagen densa con ángulos obtusos, que ocasiona destrucción del arco costal, lo que confirman su localización extrapleural.

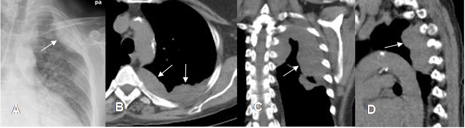
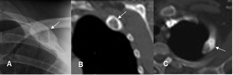
Fig 39 A. Mesotelioma.
A: Rx PA. Imagen de localización extra-pleural, en el tercio superior del hemitórax izquierdo.
B: TAC axial, C: TAC reconstrucción coronal y D: TAC reconstrucción sagital. Imagen de contornos bien definidos y lobulados.

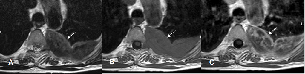
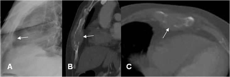
Fig 39 B. Mesotelioma.
A: RM axial en T2, B: RM axial en T1 simple y C: RM axial en T1 con contraste. Igual paciente anterior. Imagen de ubicación extrapleural, hipointensa en ambas secuencias por su contenido fibroso y que realza de forma heterogénea con el contraste, correspondiendo a mesotelioma.

Fig 40. Displasia fibrosa.
A: Rx AP, B: TAC reconstrucción coronal y C: TAC axial. Lesión expansiva de bordes escleróticos en la 2º costilla, por displasia fibrosa.
TUMORES BENIGNOS:
Los lipomas son los tumores benignos de tejidos blandos, mas frecuentes en los adultos. Este tipo de lesiones se manifiestan clínicamente con una masa palpable de crecimiento lento, en un paciente asintomático. (5).
Tienen apariencia radiológica benigna. (Ver generalidades de tumores). (Fig 41, 42 y 43).

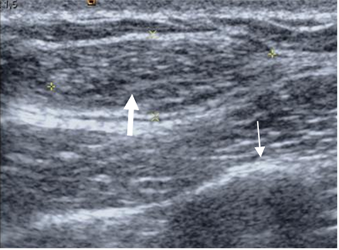
Fig 41. Lipoma.
Ecografía. Lesión sólida, superficial y de bordes definidos en la pared costal , compatible con lipoma (Flecha gruesa) y en relación con la costilla (Flecha delgada).

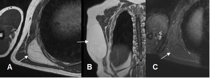
Fig 42. Lipoma.
A: RM axial en T1, B: RM coronal en T1 y C: RM axial en STIR. Lesión ovalada y de bordes definidos en la pared posterolateral de la reja costal, hiperintensa en T1 y que suprime en STIR, compatible con lipoma. Muestra capsula hipointensa y algunos septos delgados.

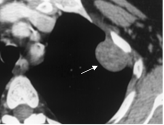
Fig 43. Lesión extrapelural.
TAC axial. Imagen sólida en relación con el arco costal, que corresponde a neurofibroma.
TUMORES MALIGNOS:
Los tumores óseos primarios malignos de las costillas son raros. (4). La mayoría son lesiones metastásicas de pulmón y mama. (4). (Fig 44 y 45).
Este tipo de lesiones produce gran masa palpable dolorosa y de crecimiento rápido. (6).
La TAC puede detectar calcificaciones de la matriz y ruptura de la cortical, aunque la RM permite hacer una mejor caracterización y determinar la extensión. (6).
Los tumores costales primarios malignos mas frecuentes, son el fibrosarcoma y el histiocitoma fibroso maligno. (Fig 46).
En los niños el rabdomiosarcoma y el sarcoma de Ewing extraóseo, son las lesiones malignas mas comunes. (4).
La mayoría de lesiones del esternón son malignas y corresponden a condrosarcomas. (Fig 47 y 48). (2, 3). Están seguidas por el plasmocitoma solitario y el linfoma. (3). (Fig 49).
Las lesiones de las vértebras torácicas, también en su mayoría son malignas. (3).
(Fig 50 A y B).

Fig 44. Metástasis líticas.
A: Rx PA. Pérdida en los bordes del arco costal posterior izquierdo. Prominencia del hilio derecho, por neoplasia pulmonar. (Flecha gruesa).
B: TAC en ventana de tejido y C: en ventana ósea. Lesión lítica con masa de tejidos blandos, por proceso metastásico.

Fig 45. Metástasis blásticas.
A: TAC en ventana de tejido y B: en ventana ósea. Lesiones expansivas en los arcos costales posteriores, de características blásticas, que corresponden a metástasis por neoplasia de mama.

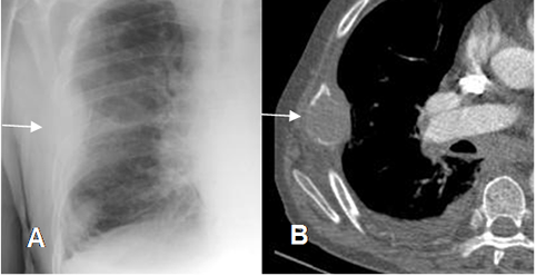
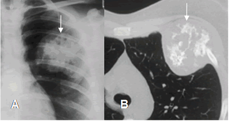
Fig 46. Condrosarcoma.
A: Rx PA. Imagen redondeada y de bordes definidos, proyectada sobre el campo pulmonar superior izquierdo.
B: TAC axial. Imagen lítica y expansiva del arco costal, con calcificación condroide la matriz, que corresponde a condrosarcoma.

Fig 47. Condrosarcoma.
A: Rx PA. Ensanchamiento mediastinal. Hay elevación del hemidiafragma derecho.
B: TAC axial en ventana de tejido y C: TAC axial en ventana ósea. Engrosamiento y alteración en la configuración del esternón por proceso neoplásico, con matriz de tipo condroide. (Flechas delgadas). Adicionalmente hay masa de tejidos blandos que ocupa el mediastino. (Flechas gruesas).

Fig 48. Metástasis en esternón.
A: Rx PA. Engrosamiento anormal de la línea paraesternal derecha.
B: TAC axial en ventana de tejido y C en ventana ósea. Lesión lítica en el esternón, con masa de tejidos blandos, por metástasis de neoplasia de mama. Nótese en A, la ausencia de la sombra de la mama derecha.

Fig 49. Mieloma.
A: Rx lateral. Masa de tejidos blandos, en la parte posterior del esternón.
B: TAC reconstrucción lateral y C: TAC axial. Lesión lítica con masa de tejidos blandos asociada, que compromete la parte posterior del esternón, que corresponde a mieloma.

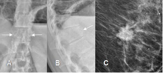
Fig 50 A. Tumor metastásico.
A: Rx AP y B: Rx lateral. Pérdida en la nitidez de los contornos de D12 y leve disminución de altura, en su parte anterior.
C: Mamografía: Lesión espiculada y densa, por neoplasia de mama.

Fig 50 B. Tumor metastásico.
A: RM sagital en T1 y B: RM sagital en STIR. Igual paciente anterior. Lesiones focales en varias vértebras dorsolumbares, por enfermedad metastásica. En D11 hay compresión del saco dural.
| Fecha de creación | Marzo 1 de 2011 |
| Fecha de actualización | Octubre 31, 2015 |