LESIONES TRAUMATICAS.
FRACTURAS COSTALES:
Son lesiones comunes y pueden ser aisladas. Se asocian a neumotórax, hemotórax, contusión y laceración pulmonar, etc. (3). (Fig 22 a 25).
Las fracturas de las costillas superiores pueden causar lesión de la aorta y los grandes vasos y las inferiores, pueden comprometer los órganos intra-abdominales y el diafragma. (3). (Fig 26, 27 A y B).
La fractura de 4 costillas continuas, produce el tórax inestable. (3). (Fig 28).

Fig 22. Fractura costal.
A y B: Rx PA. Solución de continuidad en las corticales óseas, por fracturas costales agudas.

Fig 23. Fractura costal.
A: Rx PA. Irregularidad en el arco costal, con prominencia del cojinete graso, lo que hace sospechar fractura.
B: Rx oblicua y C: TAC axial. Interrupción en la cortical, por fractura levemente desplazada.

Fig 24. Fractura costal.
A: Rx PA. Irregularidad en el borde inferior de la costilla, con sospecha de fractura.
B: TAC axial y C: RM axial en STIR. Se confirma la fractura no desplazada. Hay cambios inflamatorios agudos, lo que indica lesión reciente.

Fig 25. Fractura costal.
A: Rx PA y B: TAC axial. Formación de callos óseos bilaterales, por fracturas costales de evolución crónica.

Fig 26. Neumotórax.
A: Rx PA. Enfisema celular subcutáneo, lo que hace sospechar fractura costal y neumotórax.
B: TAC axial. Enfisema celular subcutáneo (Flechas delgadas) y neumotórax. (Flecha gruesa).
C: TAC axial. La fractura costal ocasiona adicionalmente gran contusión esplénica.

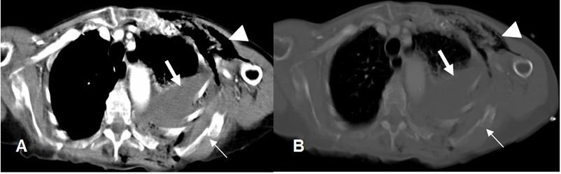
Fig 27 A. Fractura costal.
A: TAC axial en ventana de tejido y B: en ventana ósea. Fracturas costales múltiples en el lado izquierdo y de la escápula. (Flecha delgada). Hay hemotórax asociado (Flecha gruesa) y enfisema celular subcutáneo. (Punta de flecha).

Fig 27 B. Contusión pulmonar.
A: Rx AP, B: Rx oblicua y C: TAC axial. Fracturas costales desplazadas en la base derecha.
D: TAC axial en ventana de pulmón. Zona de condensación en la base derecha, por contusión pulmonar.

Fig 28. Tórax inestable.
Rx PA. Hemoneumotórax derecho, con completo colapso del pulmón. (Flecha gruesa). Hay fractura de múltiples arcos costales posteriores sucesivos, que producen tórax inestable.
FRACTURA ESTERNAL:
La fractura del esternón implica un trauma de alta energía. Son mas comunes en el cuerpo y se asocian a lesiones importantes de otros sistemas. (2).
Aunque se identifican en la Rx lateral, está proyección no es práctica en el trauma agudo. La modalidad de elección es la TAC, ya que permite valorar conjuntamente el resto de órganos. (2). (Fig 29).

Fig 29. Fractura del esternón.
A: Rx lateral y B: TAC reconstrucción sagital. Fractura en sentido oblicuo y poco desplazada, del cuerpo esternal.
LUXACION ESTERNOCLAVICULAR:
También se producen por trauma grave. (2).
La anterior es el mas frecuente, pero la posterior produce mas complicaciones por lesión neurovascular o de la traquea. (2).
Para su valoración también la TAC, es la modalidad de elección. (2). (Fig 30 A y B).

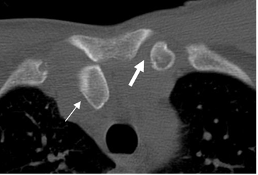
Fig 30 A. Luxación esternoclavicular.
TAC axial. Luxación con desplazamiento posterior, del tercio proximal de la clavícula derecha. (Flecha delgada). Lado izquierdo articulación en posición normal. (Flecha gruesa).

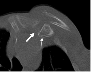
Fig 30 B. Luxofractura.
TAC axial. Fractura del tercio proximal de la clavícula, con desplazamiento inferior del fragmento (Flecha delgada) y subluxación de la articulación esternoclavicular. (Flecha gruesa).
| Fecha de creación | Marzo 1 de 2011 |
| Fecha de actualización | Abril 7, 2014 |