INFECCIONES.
La infección primaria de la pared costal es rara y ocurren en pacientes inmunocomprometidos. La mayoría de infecciones del esternón y las costillas, se desarrolla por continuidad de lesiones en el pulmón o la pleura. (3, 4).
También aparece como complicación de esternotomía mediana en cirugía de corazón, mediastino y pulmones, como dehiscencia de sutura, mediastinitis y osteomielitis. (Fig 34).
Ocurren principalmente por Stafilococo Aureus y Seudomona. (4).
La importancia de la osteomielitis o artritis séptica del esternón, radica en el riesgo de extensión y complicación con mediastinitis, síndrome de vena cava superior y sepsis. (2).
Como se ha descrito en el capítulo de infecciones, los hallazgos en Rx simple son tardíos. Inicialmente hay prominencia de tejidos blandos y después osteolisis, reacción perióstica, colecciones y fístulas. (2, 4). (Fig 35 y 36).
En la dehiscencia de una esternotomía se aprecia ensanchamiento mediastinal y cambio en la orientación de los alambres, en las Rx sucesivas. (2).
La TAC es la modalidad de elección para el estudio de infecciones mediastinales. Permite detectar el reemplazo de la grasa mediastinal, por tejido inflamatorio, burbujas de aire y absceso retroesternal. (4). (Fig 37).
Los artefactos de las suturas metálicas hacen que la RM sea menos usada que el TAC. (4).
La infección TBC aparece como diseminación por continuidad, de infección pulmonar o pleural. (4).
En la TAC hay destrucción ósea y cartilaginosa, formación de abscesos y fístulas. La pared de los abscesos puede calcificar y capta el contraste. (3, 4).

Fig 34. Cambios PostQx.
A: Rx PA y B: TAC reconstrucción coronal. Alambres de sutura sobre la topografía del esternón, después de una toracotomía para el reemplazo de válvula cardiaca.

Fig 35. Absceso de tejidos blandos.
A: Ecografía. Imagen ovalada e hipoecoica, de bordes parcialmente definidos.
B Ecografía.doppler. La lesión presenta incremento en la vascularización de sus bordes, correspondiendo a incipiente formación de absceso.

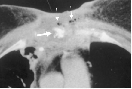
Fig 36. Osteomielitis del esternón.
TAC axial. Osteolisis del esternón (Flecha gruesa), con cambios inflamatorios en los tejidos blandos vecinos. Existen burbujas de aire asociadas. (Flechas delgadas).

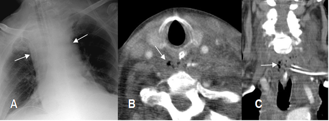
Fig 37. Mediastinitis.
A: Rx AP. Aunque la proyección magnifica el mediastino, este se aprecia ensanchado.
B: TAC axial y C: TAC reconstrucción coronal. Engrosamiento mediastinal, el cual contiene líquido. Se encuentran burbujas de aire a nivel retrotraqueal, por la formación de absceso.
| Fecha de creación | Marzo 1 de 2011 |
| Fecha de actualización | Septiembre 21, 2011 |