ARTROPATIAS.
Las articulaciones esternoclaviculares y manubrioesternales, pueden estar afectadas por cualquier tipo de artropatía. (2).
La osteoartrosis en mas frecuente en la esternoclavicular. Se encuentran osteofitos, disminución del espacio, esclerosis y quistes subcondrales. La artritis reumatoidea también compromete estas articulaciones. (2). (Fig 31A, 31B y 32).
El síndrome de Tietze, corresponde a la inflamación del cartílago costal, cuyo compromiso puede ser único o múltiple. (1). (Fig 33A y 33B)
Produce dolor y engrosamiento costal en las diferentes modalidades. (1).

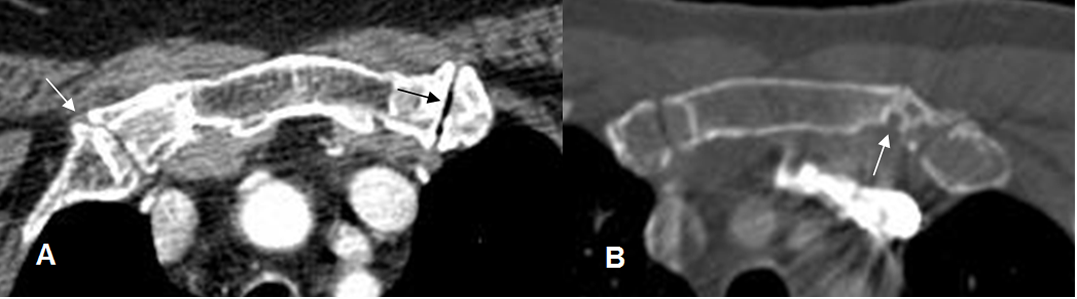
Fig 31A. Cambios degenerativos.
A: TAC axial. Pérdida del espacio articular y formación de osteofitos en articulaciones costoesternales, por artropatía degenerativa. En el lado izquierdo se aprecia fenómeno del vacío.
B: TAC axial. Cambios degenerativos con la presencia de quistes subcondrales.

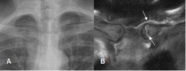
Fig 31B. Cambios degenerativos.
A: Rx PA. No se encuentran anormalidades.
B: RM coronal en STIR. Escaso líquido dentro y rodeando la articulación esternoclavicular, por cambios degenerativos incipientes.

Fig 32. Cambios degenerativos.
A: TAC reconstrucción sagital en ventana de tejido y B: en ventana de hueso. Esclerosis en los bordes sobre el ángulo de Louis, con prominencia de los tejidos blandos, por proceso degenerativo.

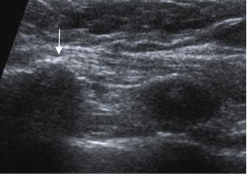
Fig 33 A. Costocondritis.
Ecografía. Lado izquierdo normal. En el lado derecho hay prominencia de la articulación condroesternal, con formación de osteofitos (Flecha), por cambios degenerativos.

Fig 33 B. Costocondritis.
Ecografía. Cambios inflamatorios en la unión condroesternal derecha, con escaso líquido.
| Fecha de creación | Marzo 1 de 2011 |
| Fecha de actualización | Abril 12, 2014 |