VALORACION RADIOLOGICA MO.
La resonancia magnética (RM) es la mejor modalidad para la evaluación de la MO, por su alta sensibilidad para detectar los cambios en la composición del agua y la grasa. La imagen en RM, es el balance de estos componentes. (2).
La señal de intensidad (SI) de la medula depende del contenido de agua y grasa, la presencia de trabéculas oseas y la utilización de contraste. (2) El componente graso es el principal responsable de la señal de la medula, en las secuencias de T1 y T2. (3).
La secuencia T1 es la más comúnmente utilizada, para la valoración de las alteraciones de la medula ósea y la combinación con STIR, aumenta la sensibilidad. (4).
En la secuencia T1 la SI de la MO amarilla es hiperintensa, similar a la grasa subcutánea y la de la roja es intermedia, menor que la de la grasa, pero mayor que la del músculo. (2). En STIR la SI de la medula amarilla es similar a la grasa subcutánea y cualquier lesión es hiperintensa. (2). (Fig 3 y 4 A y 4 B).
La medula roja tiene una señal intermedia en T1 y T2. (Fig 5).

Fig 3. Medula ósea en adulto normal
A: RM sagital en T1 y B: RM sagital en STIR. La señal de la medula osea amarilla (Flecha delgada), es similar a la de la grasa (Flecha gruesa).

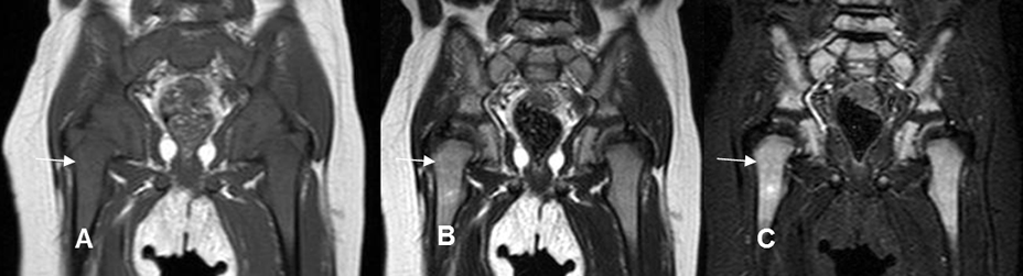
Fig 4 A. Medula ósea normal de un niño.
A: RM coronal en T1, B: RM coronal en T2 y C: RM coronal en STIR. Apariencia de la medula ósea en un niño, la cual es hipointensa en T1 e hiperintensa en T2 y STIR, por predominio el de la medula roja.

Fig 4 B. Medula ósea en niño normal
A: RM coronal en T1 y B: RM coronal en STIR. Reconversión, con presencia de medula ósea grasa, en la epífisis distal del fémur y proximal de la tibia y roja en ambas metafisis.

Fig 5. Medula ósea roja normal en adulto.
A: RM sagital en T1 y B: RM sagital en T2. Medula roja con señal intermedia en ambas secuencias.
La mayoría de lesiones benignas o malignas, tienen una señal igual o hipointensa al músculo en T1. (Fig 6, 7 y 8).
La trabécula ósea produce poca señal en la RM, por su escaso contenido de protones móviles. Cuando las lesiones destruyen la trabécula, la señal no disminuye, por el efecto de susceptibilidad. (2).

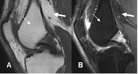
Fig 6. Lesiones óseas.
A: RM coronal del codo en T1 y B: RM sagital de la columna en T1. Imágenes hipointensas, que corresponden a lesiones tumorales isointensas al músculo.
Fig 7. Señal anormal en STIR.
A: RM sagital en T1. Lesiones hipointensas en vértebras dorsales.
B: RM sagital en STIR. Aumento en la SI de las vértebras, por enfermedad metastásica de pulmón.

Fig 8. Señal anormal en STIR.
A: RM sagital en T1. Lesión hipointensa en la parte posterior del fémur (Flecha delgada), con gran masa infiltrativa de tejidos blandos, (Flecha gruesa) que corresponde a osteosarcoma.
B: RM axial en STIR. Tanto la lesión osea como de tejidos blandos, son hiperintensas en relación con la grasa, indicando patología.
La MO normal presenta realce con el contraste, cuando se estudia en secuencias dinámicas. Este realce es mayor en pacientes jóvenes y con menos contenido de grasa. (Fig 9).
El contraste acorta los tiempos de relajación y ocasionan aumento de la señal de las lesiones, al comparar con los tejidos vecinos. Las secuencias con supresión grasa, incrementa la detección del realce. (2). (Fig 10).

Fig 9. Medula ósea normal con contraste.
A: RM sagital en T1 en fase simple y B: RM en T1 luego de la administración de contraste, donde se aprecia aumento en la SI por el realce normal.

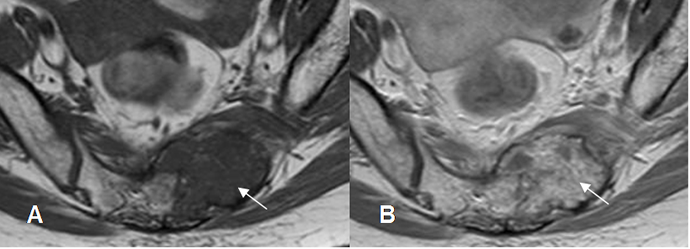
Fig 10. Realce del contraste.
A: RM axial en T1 simple y B: RM axial en T1 con contraste. Lesión hipointensa en el alerón izquierdo del sacro, que realza con el contraste, por metástasis de neoplasia del colon.
Los islotes de medula amarilla son fácilmente reconocidos, por tener señal semejante a la de la grasa subcutánea en todas las secuencias.
Los islotes de medula roja muestran contornos mal definidos y generalmente son simétricos, con señal intermedia en T2 e hipointensa T1, menor que la grasa, pero mayor que el músculo. Tener en cuenta que los tumores son iso o hipointensos con relación al músculo. (2). (Fig 11).

Fig 11. Persistencia de medula osea roja.
A: RM coronal en T1 y B: RM sagital en T2. Focos de medula roja (flechas) en el tercio distal del fémur, hipointensos en T1 y con SI intermedia en T2.
| Fecha de creación | Marzo 1 de 2011 |
| Fecha de actualización | Abril 12, 2014 |