ENFERMEDAD DE PAGET.
Es un trastorno crónico y progresivo de la mineralización ósea, que afecta a personas mayores de 45 años, con predominio en los hombres. (1).
Se han propuesto varias teorías en cuanto a su etiología y la mas aceptada, es su asociación con una infección viral. (1).
Puede ser mono o poliostótica y ocasiona una remodelación ósea anormal. (8).
Su evolución está dividida en fases: la lítica inicial, posteriormente una mixta y finalmente la blástica. (8). El tiempo que transcurre entre las diferentes etapas, tiene una variación individual y depende del hueso comprometido. (12).
La enfermedad frecuentemente se diagnostica como un hallazgo incidental, al tomar radiografía simple por diferentes motivos Esta sigue siendo la mejor modalidad, para demostrar las alteraciones óseas de esta patología. (12).
En la fase lítica aparecen áreas de osteoporosis localizada, mejor vistas en los huesos planos como el cráneo y el iliaco. En los huesos largos las lesiones comienzan en las epífisis y se extienden a las metáfisis. Son bien definidas y terminan en forma de “V”, con extremo hacia la diáfisis. (Signo de la llama de vela) (1. 8). En esta etapa lítica los hallazgos no son evidentes con RM, porque no hay alteración en la mineralización de la MO. Posteriormente la MO puede ser reemplazada por tejido fibroso y es hipervascular, con vasos dilatados. Pueden encontrarse zonas hipointensas en T1, hipo o hiperintensas en T2, que representan esclerosis o tejido conectivo inmaduro. En algunos casos pueden encontrarse áreas hiperintensas en STIR, a pesar de que la SI sea normal en T1 y T2. (12). (Fig 47 y 48).

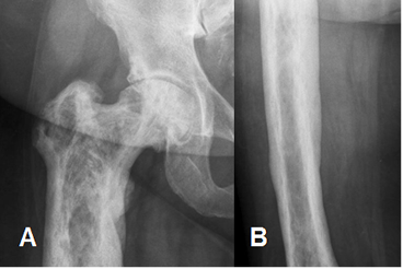
Fig 47. Enfermedad de Paget en fase lítica.
A: Rx AP. Zona lítica en el tercio distal del radio, con signo de la llama de vela.
El tercio medio del hueso esta engrosado y es esclerótico, por cambios de fase blástica.

Fig 48. Enfermedad de Paget.
A: Rx lateral. Engrosamiento cortical, sin lesiones focales aparentes.
B: RM sagital en T1. Engrosamiento de la cortical del fémur, con algunas zonas hipointensas de la MO en la parte superior.
C: RM sagital en STIR. Zona hiperintensa en el tercio medio del fémur.
En la fase mixta hay mezcla de destrucción con neoformación de hueso. Hay predominio blástico, que se manifiesta con engrosamiento de la cortical y trabeculación del hueso esponjoso. Estos cambios se alternan con áreas líticas. (1,8). (Fig 49).
En la fase esclerótica o fría se encuentra engrosamiento cortical, aumento de la densidad, del tamaño del hueso y su trabeculación, sin compromiso de los tejidos blandos. (12). (Fig 50 y 51).

Fig 49. Enfermedad de Paget en fase mixta.
A: Rx AP de cadera y B: Rx AP de fémur. Hueso aumentado de tamaño, con engrosamiento de la cortical e incremento de su trabeculación.

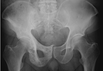
Fig 50. Enfermedad de Paget en fase esclerótica.
Rx AP. Zona esclerótica con engrosamiento del hueso, que compromete el techo del acetábulo, los ramos ilio e isquiopúbico en el lado derecho.

Fig 51. Enfermedad de paget en fase esclerótica.
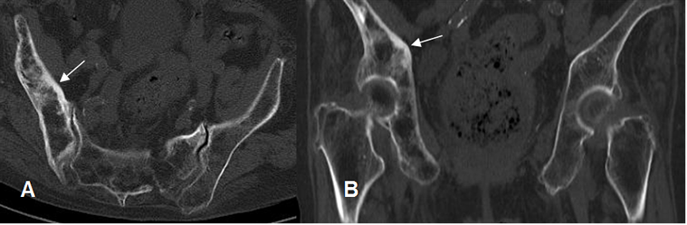
A: TAC axial y B: TAC reconstrucción coronal. Iliaco derecho mas grueso, con engrosamiento de la cortical y aumento de la trabeculación medular, por enfermedad de Paget.

Fig 52. Enfermedad de Paget fase esclerótica.
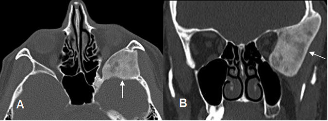
A: TAC axial y B: TAC reconstrucción coronal. Reborde lateral de la órbita y hueso cigomático engrosados y escleróticos, por enfermedad de Paget.
Como en los huesos largos la enfermedad empieza en un extremo y se extiende hacia el otro, pueden encontrarse los 3 estados en el mismo hueso. (8).
En ocasiones los cambios no son tan evidentes y típicos y se pueden encontrar áreas de esclerosis y osteolisis que deben diferenciarse de otras patologías. En estos casos si se demuestra medula osea amarilla o roja, con alteraciones en los Rx se soporta el Dx de enfermedad de paget. (12).
La enfermedad de paget se puede complicar con fracturas patológicas o degeneración neoplásica a osteo o fibrosarcomas. (1).
| Fecha de creación | Marzo 1 de 2011 |
| Fecha de actualización | Enero 25, 2012 |