OSTEONECROSIS MO.
Disminución de la irrigación ósea, que puede evolucionar o no hasta la necrosis. (5).
Las células hematopoyéticas son las mas susceptibles a la isquemia y mueren entre 6 y 12 horas. Las células óseas resisten hasta 48 horas y los adipocitos son los mas resistentes y pueden permanecer sin cambios entre 2 a 5 días. (5).
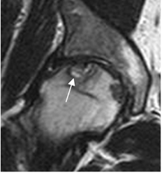
Los cambios no son detectables en la RM, hasta que los lípidos no son afectados. Inicialmente aparecen signos de edema medular. Posteriormente el típico signo de la doble línea (Imagen periférica hiperintensa en T2), que corresponde a la interfase entre el tejido necrótico y el viable. (5). (Fig 23).
En fases tardías y si se establece un infarto, aparece una zona de fibrosis, con señal hipointensa en todas las secuencias. (5). (Fig 24 A y 24 B).
En ocasiones la necrosis avascular es indistinguible del edema óseo, siendo ambos hipointensos en T1 e hiperintensos T2. Con el contraste la necrosis realza de forma heterogénea y el edema de manera homogénea. (3). (Fig 25).

Fig 23. Osteonecrosis de cadera.
RM coronal en T2. Signo de la doble línea hiperintensa en T2, típico de la osteonecrosis.
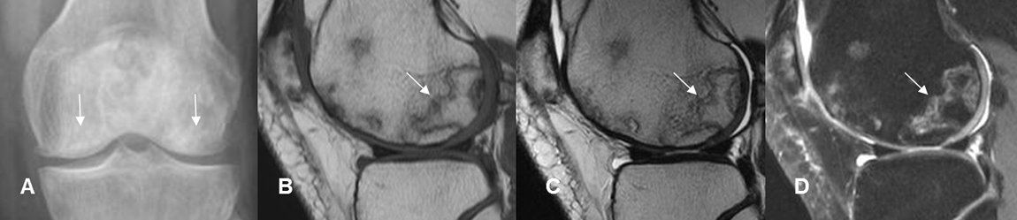
Fig 24 A. Osteonecrosis.
A: Rx AP. Zonas densas de etiología inespecífica, en ambos cóndilos femorales.
B: RM sagital en T1, C: RM sagital en T2 y D: RM sagital en STIR. Lesión geográfica en la parte posterior del cóndilo femoral lateral, hipointensa en T1 y T2 e hiperintensa en STIR, por osteonecrosis de evolución subaguda. Adicionalmente hay lesiones osteocondrales en la patela y la parte anterior del cóndilo.
Fig 24 B. Osteonecrosis de cadera.
A: Rx AP. Aumento en la densidad y pérdida de la morfología de la cabeza femoral.
B: RM coronal en T1, C: RM coronal en T2 y D: RM coronal en STIR. Lesión hipointensa
en todas las secuencias sobre la cabeza femoral, por osteonecrosis de evolución crónica.

Fig 25. Osteonecrosis de escafoides.
A: TAC reconstrucción coronal. Fractura transversa en el tercio inferior del escafoides.
B: RM coronal en T1. El polo inferior del escafoides es mas hipointenso, lo que hace sospecha osteonecrosis.
C: RM coronal en T1 con contraste. El hueso escafoides presenta realce homogéneo, indicando viabilidad.
| Fecha de creación | Marzo 1 de 2011 |
| Fecha de actualización | Abril 7, 2014 |