METASTASIS.
La apariencia de las metástasis depende del balance entre el tumor y la respuesta del hueso afectado. Pueden ser osteolíticas, osteoblásticas o mixtas. (7).
Las líticas son hipointensas en T1 e hiperintensas en T2 y las blasticas hipointensas en ambas secuencias, por la presencia de menos tumor entre las trabéculas escleróticas. (7). (Fig 29 y 30).
La presencia de un halo hiperintenso a la lesión, que corresponde a edema, es un indicador de alta especificidad de lesión metastásica. (7). (Fig 31).
Por el contrario el signo del ojo de buey, zona hiperintensa central en T1 por componente graso, descarta lesión metastásica con mucha seguridad. (7).

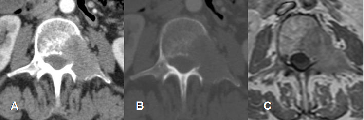
Fig 29. Metástasis líticas.
A: TAC axial en ventana de tejido. B: TAC axial en ventana de huesos y C: RM axial en T1 con contraste. Lesión lítica que compromete el cuerpo, el pedículo y la apófisis transversa de L2. Hay masa de tejidos blandos que ocupa el agujero de conjunción y el canal, la cual realza con el contraste, por metástasis lítica de Ca broncogénico.

Fig 30. Metástasis blástica.
A: RM sagital en T1, B: RM sagital en T2. C: RM sagital en STIR y D: RM sagital en difusión. Lesiones que comprometen L5 y S2 hipointensas en T1 y T2, algo hiperintensas en STIR e hiperintensas en la difusión, por metástasis blásticas secundarias a tumor de mama.

Fig 31. Tumor metastásico.
A: RM sagital en T1. Lesiones hipointensas en D12 y L1, por enfermedad metastásica de próstata.
B: RM sagital en T1 con contraste. Realce con halo hiperintenso, signo de enfermedad metastásica.
Un gran dilema al cual nos enfrentamos continuamente, es el poder diferenciar entre una fractura aguda benigna de origen traumático u osteoporótico, de la enfermedad tumoral.
Las fracturas patológicas tienden a tener bordes convexos en la parte anterior y posterior y la benigna, presenta bordes angulados. (4). (Fig 32).
Se han utilizado las secuencias de difusión, como herramienta para tratar de hacer la diferenciación. Las fracturas patológicas ocasionan alteración en la difusión. (3).
Las lesiones de origen benigno son hipointensas en la difusión, en relación con la MO normal y las malignas son hiperintensas. (2). (Fig 32 y 33).

Fig 32. Enfermedad metastásica.
A: RM sagital en T1. Lesión hipointensa en el cuerpo de L4.
B: RM sagital en T2 y C: RM sagital en STIR. Pérdida de altura e hiperintensidad en L4, con
borde posterior convexo que comprime el saco dural.
D: RM difusión en sagital. Lesión hiperintensa, que sugiere origen tumoral.

Fig 33. Fracturas por osteoporosis.
A: RM sagital en T1. Pérdida de altura en varios cuerpos vertebrales dorsolumbares. Lo característico, es que conservan su SI y sus bordes son angulados.
B: RM sagital en STIR. La vértebra D11 es algo hiperintensa, indicando evolución aguda por edema y las otras conservan su SI.
D: RM difusión en sagital. SI normal de las vértebras, por fracturas de origen osteoporótico.
| Fecha de creación | Marzo 1 de 2011 |
| Fecha de actualización | Abril 7, 2014 |