ENFERMEDADES LINFOPROLIFERATIVAS.
En la leucemia hay infiltración medular difusa, con señal hipointensa en T1. (7).
En el mieloma inicialmente existe incremento de la medula amarilla, por la producción del factor de inhibición de la hematopoyesis.
Con la extensión de los tumores linfoproliferativos, la medula ósea se torna hipointensa en T1 e hiperintensa en T2. El patrón infiltrativo puede ser focal o difuso. (7). (Fig 26, 27 y 28).
Los hallazgos por linfoma pueden ocasionar lesiones focales o difusas. (7).

Fig 26. Mieloma múltiple.
A: RX lateral de columna. Signos de osteopenia generalizada.
B: RM sagital en T1. MO de las vértebras hipointensas, por infiltración tumoral.

Fig 27. Mieloma múltiple.
A: Rx lateral de columna. Pérdida de la cortical anterior de L3.
B: RM sagital en STIR y C: RM sagital en T1. Múltiples áreas hiperintensas en STIR e hipointensas en T1 en todos los cuerpos vertebrales, las mas grandes en L3 y L4.
D: RM Sagital en T1 con contraste. Realce del contraste en todas las lesiones focales.

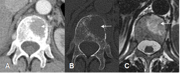
Fig 28. Mieloma múltiple.
A: TAC axial en ventana de tejido y B: en ventana de hueso. Lesión focal en el lado izquierdo del cuerpo vertebral, por plasmocitoma solitario.
C: RM axial en T2. La misma lesión hiperintensa en el cuerpo de D12.
| Fecha de creación | Marzo 1 de 2011 |
| Fecha de actualización | Octubre 26, 2011 |