EDEMA MEDULAR.
Esta alteración se caracteriza por aumento del líquido extracelular, en el tejido medular y es encontrada en procesos traumáticos, infecciosos, tumorales e isquemia. (5).
Hay varios mecanismos que intervienen en la formación del edema óseo: (6).
La resolución del edema es variable, pero en términos generales cede entre 6 semanas y 3 meses. Depende de la etiología y muchos otros factores, pero principalmente de la edad, siendo mes lento en personas mayores. (6).
Los tumores son mas comunes en la medula roja, que en la amarilla, por ser mas vascularizada. (7).
El edema óseo y sin importar su etiología, se manifiesta como zona homogénea hipointensa en T1, hiperintensa en T2 y STIR y con realce variable del contraste. (5).

Fig 18. Edema óseo vasogénico.
A: Rx AP. Reacción perióstica en la parte medial del radio.
B: RM sagital en T1 y C: RM sagital en STIR. Alteración de la SI de la MO hipointenso en T1 e hiperintenso en STIR, por edema secundario a osteomielitis inicial.

Fig 19. Edema óseo congestivo.
A: RM coronal en T1 y B: RM coronal en STIR. Cabeza y cuello femoral hipointensos en T1 e hiperintensos en STIR por edema óseo, secundario a osteoporosis transitoria.

Fig 20. Osteoporosis transitoria.
A: RM coronal en T1 y B: RM coronal en STIR. El mismo paciente anterior, con estudio normal después de 4 meses.

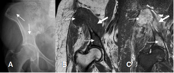
Fig 21. Edema óseo tumoral.
A: Rx AP. Lesiones líticas en el iliaco y por encima del acetábulo derecho.
B: RM coronal en T1 y C: RM coronal en STIR. Lesiones hipointensas en T1 e hiperintensas en STIR, por infiltración de la MO, secundario a metástasis de neoplasia de mama. (Flechas delgadas). Hay masa de tejidos blandos. (Flechas gruesas).

Fig 22. Edema óseo traumático.
A: Rx AP, sin cambios patológicos.
B: RM coronal en T1 y C: RM coronal en STIR. Zonas de edema óseo post-traumático, hipointensas en T1 e hiperintensas en STIR. (Flechas delgadas). Adicionalmente hay imagen hipointensa y en sentido horizontal, en T1, que corresponde a fractura lineal (Flecha gruesa).
| Fecha de creación | Marzo 1 de 2011 |
| Fecha de actualización | Abril 7, 2014 |