MIEMBRO SUPERIOR.
HOMBRO:
Espacio articular glenohumeral:
Es la distancia entre el borde medial del húmero y la parte anterior de la glenoides.
Su valor normal es menor de 6 mm y se aumenta en casos de luxación posterior. (1, 10).
(Fig 44).
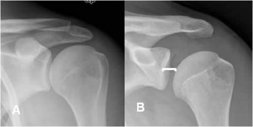
Fig 44. Luxación posterior.
A: Rx AP. Espacio glenohumeral normal.
B: Rx AP. Aumento del espacio glenohumeral, por luxación posterior.
Espacio acromiohumeral:
Es la distancia vertical entre el borde inferior del acromión y el superior de la cabeza del húmero. El valor normal oscila entre 6 y 14 mm y disminuye en los casos crónicos, de ruptura del manguito rotador. (1, 11). (Fig 45).

Fig 45. Ruptura del supraespinoso.
A: Rx AP. Espacio acromiohumeral normal.
B: Rx AP y C: TAC reconstrucción coronal. Cambios degenerativos con pérdida del espacio acromiohumeral y esclerosis asociada, por ruptura crónica del supraespinoso.
MUÑECA:
Inclinación radial:
Se traza con una línea perpendicular al eje del radio y otra línea a lo largo de su superficie distal. El valor normal es entre 16º y 28º. (12). Este ángulo disminuye en fracturas metafisisarias, impactadas, de Colles y Smith. Debe ser valorado después de la reducción e inmovilización, para dejarlo lo mas normal posible y que permita una adecuada movilidad. (1). (Fig 46).

Fig 46. Inclinación radial.
Rx AP. Angulo formado entre la perpendicular al eje del radio y una línea que pasa por la superficie articular distal, del mismo hueso.
La longitud radial:
Líneas paralelas entre borde final de la apófisis estiloides y el borde inferior de superficie articular. El valor normal es de 11 a 12 mm y se altera en fracturas. (12). (Fig 47 y 48).

Fig 47. Longitud radial normal.
Rx AP. Distancia entre las líneas que pasan por el extremo de la apófisis estiloides del radio y la superficie articular.

Fig 48. Longitud radial. Fractura de radio.
Rx AP. Fractura deprimida de la estiloides radial, con disminución de su longitud.
La inclinación volar:
Trazado en la Rx lateral. Angulo formado entre la perpendicular al eje del radio y una línea que une su extremo anterior y posterior. El valor normal es entre 0 y 22º (12). Cualquier valor negativo es patológico. (13). (Fig 49 y 50).

Fig 49. Inclinación volar.
Rx lateral de muñeca. Angulo formado entre la perpendicular al eje del radio y una línea que une la parte anterior y posterior del radio distal.

Fig 50. Fractura de radio.
Rx lateral. Fractura deprimida del radio distal, con inversión del ángulo de inclinación volar.
Hay 2 ángulos muy importantes en el estudio de la inestabilidad de la muñeca. Los ángulos escafolunado y grandelunado, que son medidos en Rx lateral. (14).
Angulo escafolunado:
Tiene una amplitud normal entre 30º y 60º. El eje del escafoides se traza uniendo los bordes anteriores superior e inferior y el del lunado, por una línea perpendicular a la unión de sus polos distales.
En la inestabilidad tipo VISI (volar inestabilidad del segmento intercalado), hay desplazamiento anterior de los huesos escafoides y el lunado, que produce disminución del ángulo escafolunado. (27, 28). (Fig 51 y 52).

Fig 51. Angulo escafolunado.
A: Rx lateral de muñeca. Intersección entre los ejes de los huesos escafoides y lunado.

Fig 52. Inestabilidad tipo VISI.
A: Rx lateral de muñeca. Disminución del ángulo escafolunado, por inestabilidad tipo VISI.
Angulo grandelunado:
Con una amplitud normal entre 0º y 30º. El eje del hueso grande se traza de la parte media de la cabeza, a la parte mas inferior de su superficie articular.
En la inestabilidad tipo DISI (dorsal inestabilidad del segmento intercalado), se aprecia desplazamiento anterior y angulación dorsal del lunado, con aumento de los ángulos escafolunado por desplazamiento anterior del escafoides y del grandelunado por desplazamiento dorsal del lunado (27, 28). (Fig 53 y 54).

Fig 53. Angulo grandelunado.
A: Rx lateral de muñeca. Intersección entre los ejes de los huesos grande y lunado.

Fig 54. Inestabilidad tipo DISI.
A: Rx lateral de muñeca. Angulo escafolunado mayor de 60.
| Fecha de creación | Julio 1 de 2011 |
| Fecha de actualización | Marzo 16, 2014 |