MIEMBRO INFERIOR.
CADERA:
Angulo cervicodiafisiario:
Su valor normal está entre los 125º y 135º en el adulto, aunque tiene mucha variación con la edad. (1,15). Se mide con la intersección entre el eje de la diáfisis del fémur y el eje del cuello femoral. (Fig 55).
Este ángulo está aumentado en los casos de coxa valga y disminuido en la coxa vara. (1, 3, 15). (Fig 56).
Valores del ángulo cervicodiafisiario: (1).
Edad Grados:
Recién nacido 137
1 año 144
3 años 142
5 años 135
9 a 13 años 134
15 a 17 años 128
Adultos 126

Fig 55. Angulo cervicodiafisiario normal.

Fig 56. Coxa vara y coxa valga.
A: Coxa vara, Disminución del ángulo cervicodiafisiario.
B: Coxa valga. Aumento del ángulo cervicodiafisiario.
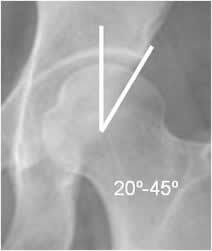
Cubrimiento acetabular:
Permite determinar el cubrimiento de la cabeza femoral, por la cavidad acetabular. Está disminuido en casos de displasia y aumentado, en el pinzamiento tipo pincer. (16). Se traza con una línea vertical que se origina del centro de la cabeza femoral y su intersección, con otra que pasa por el borde externo del acetábulo. Su valor normal esta entre 20º y 45º. (17). (Fig 57 y 58).

Fig 57. Angulo de cubrimiento lateral normal.

Patología rotacional:
Se refiere a la alineación de un hueso, en relación con el eje longitudinal. Si es anormal se habla de torsión y puede ser tibial, femoral o de ambos huesos.
Anteversión femoral:
La medición ideal se realiza con TAC y valora la rotación entre el cuello femoral y los cóndilos femorales. Se mide mediante cortes axiales, que se superponen. Uno sobre el eje del cuello femoral y otro que une la parte posterior de los cóndilos femorales.
(3, 18). (Fig 59, 60 A y B).
El valor normal es de 50º al nacer, 32º al primer año y entre 10º y 15º en la edad adulta. (3).
Valores del ángulo de anteversión femoral: (1).
Edad Grados:
0 a 12 meses 30 a 50
2 años 30
3 a 5 años 25
6 a 12 años 20
12 a 15 años 17
16 a 20 años 11
Más de 20 años 8

Fig 59. Anteversión femoral.
A: TAC axial sobre el cuello femoral, con línea discontinua sobre su eje.
B: TAC axial a nivel de la rodilla. Línea que une la parte posterior de los cóndilos femorales y al superponerla, forma el ángulo de anteversión.

Fig 60 A. Anteversión femoral anormal.
Incremento del ángulo, en un paciente con parálisis cerebral.
Fig 60 B. Anteversión femoral anormal.
Medición del ángulo con el software de la máquina, el cual está aumentado.
Displasia de cadera:
Angulo acetabular:
También conocido como ángulo de Hilgenreiner. Formado por la línea que une los cartílagos tri-radiados y su intersección con otra, que pasa por el borde acetabular externo. (1, 19). En la displasia es mayor de 35º. (19). (Fig 61 A y B).
Valores del ángulo acetabular: (1).
Edad Grados:
Recién nacido 27
6 meses 20
12 meses 19-20
3 años 15
10 años 10

Fig 61 A. Angulo acetabular.
Rx AP. Angulo derecho normal. Aumento del ángulo acetabular izquierdo, por displasia.

Fig 61 B. Displasia.
Rx AP. Incremento del ángulo acetabular (32º), por displasia.
Angulo alfa:
Trazo sobre una vista coronal de ecografía, sobre la parte media del acetábulo. Se mide entre la línea de base (Prolongación del iliaco) y la línea del techo óseo (Del borde inferior del iliaco, hasta el extremo óseo del acetábulo). Representa la excavación ósea del acetábulo y su amplitud normal debe ser igual o mayor de 60º y disminuye en casos de displasia. (19, 20). (Fig 62).
Un ángulo mayor de 60º es normal para cualquier edad. Entre 50º y 59º, puede ser normal para niños menores de 3 meses, pero se recomienda el seguimiento y un ángulo menor de 50º, es anormal en cualquier edad. (19). (Fig 64).
Otra relación que se puede medir es la cobertura acetabular. Además de la línea de base, se trazan otras 2 líneas paralelas al borde superior e inferior de la cabeza femoral. (19). Se mide la relación entre la distancia inferior y superior y se obtiene el porcentaje del cubrimiento, que debe ser mayor del 50% y disminuye en la displasia. (19). (Fig 63 y 64).

Fig 62. Angulos de la cadera.
Ecografía. Línea de base (Flecha delgada), línea del techo óseo (Flecha gruesa) y línea del techo cartilaginoso (Punta de flecha). Angulo alfa normal, con amplitud mayor de 60.

Fig 63. Cubrimiento de la cadera.
Ecografía. Línea de base, línea superior (Flecha delgada) y línea inferior (Flecha gruesa). La relación entre A/ B, debe ser mayor del 50%.

Fig 64. Displasia de cadera.
Ecografía. A: Disminución del ángulo alfa (50) y B: Disminución de la relación A/B, por displasia.
Cuadrantes de Ombredanne:
Se traza una línea que pase por los cartílagos tri-radiados y otra vertical que cruce por el borde lateral del acetábulo. La cadera queda dividida en 4 cuadrantes y el núcleo de crecimiento normal, se localiza en el inferointerno. (19). En la displasia hay desplazamiento supero-lateral del núcleo de crecimiento de la cabeza femoral. (19).
(Fig 65).

Fig 65. Displasia de cadera.
Rx AP. Núcleo de crecimiento derecho, de localización normal, en el cuadrante inferoinfero. Desplazamiento superolateral del núcleo de crecimiento izquierdo, por displasia.

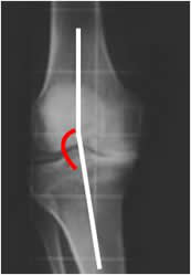
Fig 66. Angulo femorotibial.
Rx AP. Medición del ángulo entre los ejes del fémur y la tibia.

Fig 67. Angulo femorotibial.
Rx AP. Medición del ángulo entre los ejes del fémur y la tibia, el cual tiene normalmente vértice medial.
El niño desde el nacimiento hasta los 24 y 30 meses, puede presentar un genu varo fisiológico. (Fig 68). Este debe ser bilateral y con una distancia menor de 6 cm, entre los cóndilos femorales. El ángulo del eje femorotibial no debe ser mayor de 28º y no requiere de tratamiento. Si el genu varo persiste después de los 36 meses, se debe diferenciar del raquitismo, la enfermedad de Blount (Retardo en el crecimiento posteromedial de la tibia, la cual es mas corta), malformación congénita, infección, trauma, osteoartrosis, etc. (1). (Fig 69 y 70).
Se considera patológico un ángulo femorotibial mayor de 177º y cualquier genu varo unilateral. (1).

Fig 68. Genu varo.
Rx AP: Lactante con genu varo bilateral, durante su desarrollo normal.

Fig 69. Enfermedad de Blount.
Rx AP. Alteración en el desarrollo del platillo tibial medial, por enfermedad de Blount, que ocasiona genu varo secundario.

Fig 70. Genu varo.
Rx AP: Osteoartrosis en el compartimiento medial, con pérdida del espacio articular
y aumento del ángulo femorotibial, por genu varo.
Fig 71. Genu valgo.
Rx AP: Osteoartrosis en el compartimiento lateral, con pérdida del espacio articular y disminución del ángulo femorotibial, por genu valgo.
Proyecciones axiales a 30º, de la articulación patelofemoral:
Angulo del surco:
Formado entre la parte mas profunda del surco intercondileo y la parta mas alta de los cóndilos femorales medial y lateral. Su amplitud varía entre 141º y 143º. (1). (Fig 72).
Si este ángulo es mayor de 145º, se asocia a subluxación recidivante. (3). (Fig 73).

Fig 72. Angulo del surco.
Rx tangencial a 30º. Angulo entre el vértice del surco femoral y el borde de los cóndilos.

Fig 73. Subluxación patelar.
Rx tangencial a 30º. Aumento del ángulo del surco, asociado a subluxación patelar.
Angulo de congruencia o método de Merchant:
Medido entre la bisectriz del ángulo del surco y la línea que une el borde inferior de la patela y el centro del surco. La posición de la cresta patelar es considerada negativa, si se sitúa medial a la línea bisectriz y positiva, si se localiza lateral. (3, 21). Normalmente debe ser negativo (Ubicarse medial al ángulo de bisectriz) y con amplitud entre -2º y
-14º, con un promedio de -6º. (1, 21). (Fig 74).
Los ángulos positivos se asocian a subluxación patelar recidivante. (3). (Fig 75).

Fig 74. Angulo de congruencia.
Rx tangencial a 30º. Bisectriz del ángulo del surco (Línea blanca) y línea que une el centro del surco, con la parte inferior de la patela. (Línea roja).

Fig 75. Subluxación patelar.
Rx tangencial a 30º. Angulo de congruencia anormal (Línea roja), el cual se localiza
lateral a la bisectriz del ángulo de congruencia. (Línea blanca), por subluxación.
Angulo patelo-femoral:
Trazado por una línea que pasa por el borde externo de la patela y la línea intercondilea. Normalmente se encuentra un ángulo de vértice medial, que se horizontaliza o invierte en caso de desplazamiento lateral y luxación recidivante. (1). (Fig 76 y 77).

Fig 76. Angulo patelofemoral.
Rx tangencial a 30º. Angulo normal, de vértice medial.

Fig 77. Subluxación patelar.
Rx tangencial a 30º. Horizontalización del ángulo de vértice lateral, por subluxación.
Patología rotacional:
Angulo de rotación de la rodilla:
Medido mediante TAC, con cortes axiales que se superponen. Uno sobre los cóndilos femorales y otro sobre la tuberosidad tibial. (22).
El ángulo se forma por las líneas bicondilea posterior y otra que pasa por la parte
posterior de la epífisis tibial. El valor normal es de 5º. (3, 18, 22). (Fig 78 y 79).

Fig 78. Rotación de la rodilla.
A: TAC axial, con línea que pasa por la parte posterior de los cóndilos femorales.
B: TAC axial a nivel de la espina tibial y se traza la línea que pasa por la parte posterior de la tibia.
Se superponen y forman el ángulo de rotación de la rodilla.

Fig 79. Rotación de la rodilla.
Medición del ángulo con el software de la máquina.
Torsión tibial:
Medido mediante TAC, con cortes axiales que se superponen. Uno sobre la tuberosidad tibial y otro en el tobillo, a nivel de la base de los maleolos. (3).
La tibia tiene una retroversión externa normal, de 15º a 20º en los adultos. (3).
El ángulo se forma por la línea tangente a la epífisis tibial posterior y el eje bimaleolar del tobillo. Su valor promedio es de 35º. (18, 22). (Fig 80 y 81).

Fig 80. Torsión tibial.
A: TAC axial a nivel de la espina tibial y línea que pasa por la parte posterior de la tibia.
B: TAC axial, con línea sobre el eje bimaleolar del tobillo.
Se superponen y forman el ángulo de torsión tibial.

Fig 81. Torsión tibial.
Medición del ángulo con el software de la máquina.
Angulo cóndilo-maleolar:
Medido mediante TAC, con cortes axiales que se superponen. Uno sobre los cóndilos femorales y otro en el tobillo, a nivel de la base de los maleolos. (3).
El ángulo se forma por las líneas bicondilea posterior y el eje bimaleolar del tobillo. Su valor promedio es de 39º. (3). (Fig 82 y 83).

Fig 82. Angulo cóndilo-maleolar.
A: TAC axial, con línea que pasa por la parte posterior de los cóndilos femorales.
B: TAC axial, con línea sobre el eje bimaleolar del tobillo.
Se superponen y forman el ángulo cóndilo-mandibular.

Fig 83. Angulo cóndilo-maleolar.
Medición del ángulo con el software de la máquina.
Distancia tuberosidad tibial/surco femoral (TA/GT: Tuberosidad anterior/Garganta troclear).
Medido mediante TAC, con rotación lateral de los pies de 15º. Se realizan cortes superpuestos sobre la mitad de la patela y que pase por los cóndilos femorales y otro en la tibia proximal, a nivel de la tuberosidad. (1, 3). El estudio se realiza en reposo y con contracción de los cuádriceps y flexión de 15º en las rodillas, utilizando un soporte. (22). (Fig 86).
Se traza una línea tangencial que pase por la parte posterior de los cóndilo femorales y de allí una perpendicular, que cruce por la parte mas profunda o el centro del surco troclear. (Línea del surco). La otra es una paralela a la línea del surco y que pasa por la parte mas alta de la tuberosidad tibial. (Línea de la tuberosidad tibial). (1, 3, 18).
Se mide la distancia entre la línea del surco y la de la tuberosidad de la tibia, que tiene un rango entre 7 y 17 mm y un promedio de 15 mm. (3, 18). Aumenta en la luxación recidivante de la rotula, inestabilidad patelar y artrosis patelofemoral, siendo mayor de 20 mm. (3). (Fig 84 y 85).

Fig 84. TA-GT.
A: TAC axial. Línea perpendicular a la bicondilea posterior y que pasa por la parte mas profunda de la garganta troclear.
B: TAC axial. Línea paralela a la del surco, que cruza por la parte mas alta de la tuberosidad tibial.
Se superponen y se mide la distancia entre la linea del surco y la linea de la tuberosidad tibial.

Fig 85. TA-GT.
Medición del ángulo con el software de la máquina, con una distancia de 15 mm.

Fig 86. TA-GT con contracción.
Estudio con contracción del cuadriceps. La patela se retrae y solo se identifica el borde del polo inferior.
TOBILLO:
Sindesmosis tibioperonea:
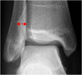
En lesiones de la sindesmosis tibioperoneoastragalina, se produce ruptura de los ligamentos tibioperoneo anterior y posterior. En la Rx AP existe aumento del espacio entre la tibia y el peroné mayor de 6 mm. (29). (Fig 87 y 89).

Fig 87. Espacio tibioperoneo.
Rx AP. Espacio normal entre la tibia y el peroné.
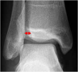
Sombra tibioperonea:
El maleolo tibial lateral se superpone al peroné, entre 8 y 10 mm. (3). (Fig 88). Este espacio también disminuye, en la diastasis tibioperonea. (3). (Fig 89.).

Fig 88. Sombra tibioperonea.
Rx AP. Interposición normal del maleolo, sobre el peroné.

Fig 89. Lesión de ligamentos de la mortaja tibioperonea.
A: Rx AP. Aumento del espacio tibioperoneo y disminución de la sombra tibioperonea, lo que hace sospechar lesión ligamentaria.
B: TAC axial. Aumento del espacio tibioperoneo posterior, por lesión ligamentaria.
Angulo de Böhler:
Se mide con una proyección lateral de Rx. Está formado por la intersección entre las líneas que unen la parte mas superior del calcáneo, con su parte anterior y posterior. La amplitud normal está entre 20º y 40º. En casos de fracturas, el ángulo está disminuido. (Fig 90 y 91).

Fig 90. Angulo de böhler.
Rx lateral. Angulo normal.

Fig 91. Fractura del calcáneo.
A y B: Rx lateral. Fracturas impactadas del calcáneo. En A hay disminución del ángulo de böhler y en B, inversión.
PIE:
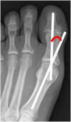
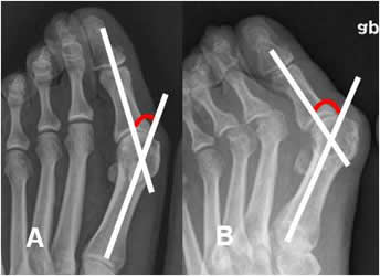
Angulo del hallux valgus:
Medido en Rx AP. Se traza entre los ejes longitudinales del 1º metatarsiano y la falange proximal del hallux. (1). El ángulo normal debe ser inferior a 15º. Valores superiores se considera hallux valgus. (2). (Fig 92 y 93).

Fig 92. Angulo de hallux valgus.
Rx AP. Angulo de hallux valgus normal.

Fig 93. Hallux valgus.
A y B: Rx AP. Incremento de los ángulos, por hallux valgus.
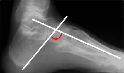
Angulo del pie plano:
Trazado en la Rx lateral. Se mide por la intersección de una línea que va desde la parte mas inferior de la tuberosidad del calcáneo, hasta la parte mas inferior de la articulación calcaneocuboidea y otra que pasa por el eje diafisiario del 1º metatarsiano. (Angulo de Rocher). Su valor normal es de 140º. (1). (Fig 94).
Si el valor es inferior se considera pie cavo y para cifras superiores, pie plano. (Fig 95 y 96).

Fig 94. Angulo del pie plano.
Rx lateral. Angulo de pie plano normal.

Fig 95. Pie cavus.
Rx lateral. Disminución del ángulo plantar, por pie cavus.

Fig 96. Pie plano.
Rx lateral. Aumento del ángulo plantar, por pie plano.
| Fecha de creación | Julio 1 de 2011 |
| Fecha de actualización | Marzo 16, 2014 |