MEDICIONES ESCOLIOSIS.
La escoliosis se define como una curvatura espinal lateral en el plano coronal, con un ángulo de Cobb mayor de 10º. Un ángulo menor de 10º, asintomático y que no progresa, se conoce como asimetría espinal o curvatura y no escoliosis. (3, 5, 25, 26). (Fig 10).

Fig 10. Asimetría espinal.
A y B: Rx AP. Desviación en los ejes de la columna. En A dorsal derecha y en B lumbar izquierda, pero de poca magnitud por asimetría.
La escoliosis puede ser: (1, 8).
Fig 11. Hemivértebra.
A y B: Rx AP. Malformaciones vertebrales, con presencia de hemivértebras en el lado derecho, con leve desviación contra-lateral del eje longitudinal de la columna.

Fig 12. Malformaciones.
A: TAC reconstrucción coronal y B: RM coronal en T1. Desviación dorsolumbar derecha, con fusión (Flechas delgadas) y alteración en la segmentación de cuerpos vertebrales (Flechas gruesas).
C: RM sagital en T1. Adicionalmente hay presencia de hemivértebra cervical.

Fig 13. Vértebra en mariposa.
TAC reconstrucción coronal. Vértebra dorsal, con malformación en mariposa.

Fig 14. Trauma.
A: Rx AP y B: TAC reconstrucción coronal. Desviación lumbar izquierda, secundaria a fractura antigua en el lado derecho de L3.

Fig 15. TBC.
A: Rx AP y B: RM sagital en T2. Leve desviación derecha y cifosis dorsolumbar, como secuela de infección por TBC.

Fig 16. Espondilodisquitis.
A: TAC reconstrucción coronal, B: TAC axial en ventana de hueso y C: TAC axial en ventana de tejido. Desviación lumbar izquierda, secundaria a espondilodisquitis L3-L4. Hay osteolisis en el lado derecho de las placas terminales, (Flechas delgadas) con masa de tejidos blandos y extensión al músculo psoas. (Flechas gruesas).

Fig 17. Hernia de disco.
A: Rx AP y B: TAC axial. Desviación lumbar derecha. Este hallazgo es secundario al espasmo muscular, ocasionado por una hernia paramediana.

Fig 18. Litiasis.
Rx AP. Cálculo proyectado sobre la pelvis renal izquierda, que produce espasmo muscular y leve desviación dorsolumbar derecha.

Fig 19. Acortamiento de extremidades.
Rx AP. Luxación crónica de la cadera derecha, con escoliosis izquierda compensatoria.
La valoración inicial de la escoliosis se realiza con Rx simple. Se recomienda utilizar una película de 36 pulgadas, con visualización de la columna cervical en la parte superior y las caderas en la parte inferior, para valorar cualquier deformidad en flexión. (3, 8, 9, 25). (Fig 20).
El objetivo del TAC en el estudio de escoliosis, es identificar una causa estructural, planificar el tratamiento quirúrgico o manejo de las complicaciones. (Fig 21). Las reconstrucciones 3D son de mucha utilidad para caracterizar las malformaciones congénitas complejas. (3, 8, 25, 26). (Fig 22 y 23).
La RM está indicada si se sospecha una causa neuropática, lesión intramedular (Tumor o siringomelia) o existe déficit neurológico. (3, 8, 25, 26).
La incidencia de escoliosis idiopática con curva izquierda es muy rara. (24).
En general las severas o rápidamente progresivas, deben hacer sospechar la asociación con otras anormalidades y en estos casos, la RM está indica. Los hallazgos mas frecuentemente encontrados son siringomelia y malformación de Chiari I. (24, 25). (Fig 24).
Los síntomas asociados son dolor de espalda y cefalea y el examen neurológico puede ser normal. (24).

Fig 20. Radiología simple.
A: Rx AP. Proyección en chasis largo.
B: Rx telemétrica. Radiografía que permite visualizar las crestas iliacas y las cabezas femorales. En los niños se recomienda la protección gonadal, con elementos plomados.

Fig 21. TAC.
A: TAC reconstrucción coronal en ventana de hueso y B: reconstrucción en ventana de tejido. Escoliosis dorsal derecha, sin encontrar signos de lesión estructural.

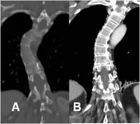
Fig 22. TAC 3D.
A: Rx AP y B: TAC reconstrucción 3D. Rotoescoliosis lumbar izquierda, con alteración en la densidad y configuración de los cuerpos inferiores.
C: TAC reconstrucción sagital en ventana de hueso y D: en ventana de tejido. Existe lesión lítica lumbar, que compromete varios cuerpos vertebrales y masa de tejidos blandos que invade el canal medular, por metástasis de tumor de mama.

Fig 23. Hemivértebra.
A: TAC reconstrucción coronal y B: TAC reconstrucción en 3D. Hemivértebra en L4, con mínima desviación izquierda.

Fig 24. Malformación asociada.
A: Rx AP. Escoliosis dorsolumbar izquierda.
B: RM sagital en T2. Descenso de las amígdalas cerebelosas a través del agujero magno, por malformación de Chiari I (Flecha) y cavidad de siringomelia en la columna cervical. Fotos tomadas de la referencia 24.
Antes de hablar sobre las mediciones, es útil hacer algunas definiciones: (3, 8, 25, 26).

Fig 25. Escoliosis.
A y B: Rx AP. Escoliosis con desviación en relación con el plano coronal. En A dorsal, de convexidad derecha y en B dorsolumbar, de convexidad izquierda.

Fig 26 A. Diagrama de definiciones.
Vértebra apical (Punta de flecha), vértebra de límite superior (Flecha delgada) y vértebra de límite inferior (Flecha gruesa).

Fig 26 B. Definiciones.
Rx AP. Vértebra apical. (Flecha delgada). Vértebra de límite superior (Punta de flecha) y de límite inferior (Flecha gruesa).

Fig 27. Curvaturas.
Rx AP. Curvatura mayor dorsal derecha (Flecha delgada) y curvatura menor dorsolumbar izquierda (Flecha gruesa).
El ángulo de Cobb es la medición mas aceptada y confiable, para medir las desviaciones en el plano coronal. Se traza por la intersección de las líneas perpendiculares, al borde superior de la vértebra límite proximal y el inferior de la distal. (1, 3, 8, 25, 26). (Fig 28 y 29).
En esta medición hay mucha variación intra e interobservador, de hasta 5-10º. Es importante informar que vértebras se tomaron de referencia al trazar las líneas, para hacer los futuros controles. (3,8, 26).
Un incremento de 5º o mas en Rx sucesivas, indican progresión y requieren manejo. (8, 25, 26). (Fig 30). Se puede incurrir en un error de estabilidad, si se compara con la proyección mas reciente. Significativa progresión se puede detectar, al comparar con los estudios iniciales. También es importante comparar el grado de rotación de la vértebra apical y la variación en el nivel de las crestas iliacas. (25).

Fig 28. Angulo de Cobb.
Rx AP. Trazado entre las perpendiculares sobre el borde superior de la vértebra límite proximal y el borde inferior de la vértebra límite distal.

Fig 29. Angulo de Cobb.
A y B: Rx AP. Ejemplos de la medición del ángulo de Cobb, utilizando el software del visor.
Generalmente la escoliosis se acompaña de algún grado de rotación del eje vertebral, la cual es medida con el método de Nash y Moe. Este relaciona el borde de la vértebra y el desplazamiento del pedículo hacia la convexidad. (3,8). Se determina en la vértebra con mayor grado de rotación, que generalmente es la apical. (1).
La mitad del cuerpo vertebral del lado de la convexidad, se divide en 3 segmentos y se clasifica en: (1,8, 26). (Fig 30 y 31).

Fig 30. Diagrama rotación.
A: Pedículos simétricos.
B: G 1: Pedículo sobre el tercio externo del cuerpo.
C: G 2: Pedículo en la parte media del cuerpo.
D: G 3: Pedículo sobre la parte interna del cuerpo.
E: G 4. El pedículo cruza la línea media.
Fig 31. Rotación vertebral.
A: Rx AP. Escoliosis con pedículos simétricos, sin rotación vertebral.
B: Rx AP. Rotación grado 1. El pedículo ocupa la parte externa del cuerpo vertebral.
C: Rx AP. Rotación grado 2. El pedículo se localiza sobre el tercio medio del cuerpo vertebral.
D: Rx AP. Rotación grado 3. Pedículo proyectado sobre la parte media de la vértebra.
E: Rx AP. Rotación grado 4, con el pedículo cruzando la línea media.
Existen otras líneas que se deben conocer en la evaluación de la escoliosis y determinan el desbalance en el plano coronal y el sagital.
Desbalance coronal:
Se determina con la línea sacra vertical, en la Rx AP. Se traza por la mitad del cuerpo de C7 y normalmente cruza la mitad del sacro. (1, 25, 26). (Fig 32).
Se considera que una escoliosis está compensada, si la distancia en relación con el eje del sacro, es menor de 2 cm. Se habla de balance positivo cuando la distancia es mayor de 2 cm hacia la derecha y balance negativo, cuando la línea se localiza sobre el lado izquierdo. (25, 26). (Fig 33 y 34).

Fig 32. Balance coronal normal.
Rx AP. Línea sacra vertical normal, que pasa por la mitad del cuerpo de C7 y el sacro.

Fig 33. Balance coronal patológico.
Rx AP. Línea sacra vertical continua, que pasa por el alerón izquierdo del sacro. El eje del sacro (Línea discontinua), se localiza al lado derecho, teniendo balance positivo.

Fig 34. Balance coronal patológico.
Rx AP. Línea sacra vertical continua, que pasa por el alerón derecho del sacro. El eje del sacro (Línea discontinua), se localiza al lado izquierdo, teniendo balance negativo.
Desbalance sagital:
Se mide en la proyección lateral, determinando la distancia que existe entre la vertical que cruza por la mitad del cuerpo de C7 y la línea que pasa por el borde posterior superior de S1. (25, 26). (Fig 35).
Normalmente la distancia también es menor de 2 cm. Se habla de balance positivo cuando la distancia es mayor de 2 cm, por delante del sacro y negativo, cuando se localiza por detrás del sacro. (25, 26). (Fig 36 y 37).

Fig 35. Balance sagital normal.
Rx lateral. Línea vertical normal, que pasa por la mitad del cuerpo de C7 y coincide con el borde posterior superior el sacro.

Fig 36. Balance sagital patológico.
Rx lateral. La línea del borde posterior superior del sacro (Continua), se localiza por detrás de la línea cervical (Discontinua) y a una distancia mayor de 2 cm, por balance negativo.

Fig 37. Balance sagital patológico.
Rx lateral. La línea del borde posterior superior del sacro (Discontinua), se localiza por delante de la línea cervical (Continua) y a una distancia mayor de 2 cm, por balance positivo.
Para determinar si una curva de escoliosis es o no estructural, se utilizan proyecciones AP con inclinación lateral. Se miden los ángulos de Cobb y se compara con las proyecciones neutras. Una curva no estructural disminuye o se compensa con la inclinación, hacia el lado de la convexidad. La curva estructural no corrige y se define como la escoliosis que no reduce a menos de 25º. (25, 26). (F1g 38).

Fig 38. Inclinación lateral.
A: Rx AP: Escoliosis dorsolumbar izquierda y otra dorsal derecha compensatoria.
B: Rx con inclinación a la derecha y C: inclinación hacia la izquierda. La escoliosis izquierda corrige con la inclinación ipsilateral, por desviación no estructural.
La escoliosis progresa solo en las etapas de crecimiento y un ángulo mayor de 50º, tiene mas probabilidad de presentar complicaciones cardiopulmonares. (8).
El tratamiento de la escoliosis depende de su severidad, la probabilidad de progresión, el grado de deformidad y los síntomas del paciente. (26).
Las opciones son: (26).
En la escoliosis idiopática de adolescentes y adultos, está indicada la cirugía para curvas mayores de 45º. La cirugía también está indicada en la escoliosis congénita progresiva, pacientes que no toleran el corsé o cuyas curvas progresan, a pesar de su utilización. (8). (Fig 41, 42 y 43).

Fig 39. Progresión.
A y B: Rx AP. Escoliosis dorsolumbar derecha que ha progresado, después de 2 años de seguimiento.

Fig 40. Corsé.
A: Rx AP y B: Rx AP con utilización del corsé. Se aprecia escoliosis dorsolumbar derecha y otra menor dorsolumbar izquierda compensatoria. Ambas cuervas disminuyen de amplitud, cuando se coloca el corsé.

Fig 41. Corrección quirúrgica.
A: Rx lateral y B: Rx AP. Corrección de escoliosis dorsal, mediante barras posteriores.

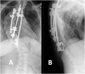
Fig 42 A. Corrección quirúrgica.
A: Rx lateral y B: Rx AP. Corrección de escoliosis dorsolumbar izquierda, mediante placas laterales.

Fig 42 B. Corrección quirúrgica.
A: Rx AP y B: Rx lateral. Fijación de escoliosis dorsal derecha, por medio de barras.

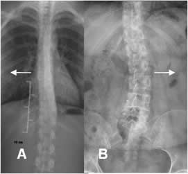
Fig 43. Escoliosis severa.
A y B: Rx AP. Severas rotoescoliosis dorsolumbares, en pacientes con parálisis cerebral, donde estaría indicado el manejo quirúrgico.
| Fecha de creación | Julio 1 de 2011 |
| Fecha de actualización | Enero 22, 2018 |