MEDICIONES COLUMNA.
La columna vertebral normal es recta en el plano coronal y muestra curvaturas usuales en el plano sagital. Lordosis cervical y lumbar y cifosis dorsal y sacra. (3, 4). (Fig 2).
Fig 2. Alineación de la columna.
A: Rx AP de columna. Se aprecia eje central.
B: RM sagital de columna total, en T2. Lordosis cervical y lumbar (Flechas delgadas) y cifosis dorsal y sacra normales. (Flechas gruesas).
Los valores normales para la lordosis cervical son de 25 a 40º y la lumbar de 15 a 30º y que se miden mediante el ángulo de Cobb. (Ver mas adelante en escoliosis). (1).
La valoración de la columna completa, debe hacerse con el paciente en posición de pie. (3).
La alineación de la columna cervical en la proyección lateral, se determina trazando las líneas arcuatas. Son la vertebral anterior, vertebral posterior y la espinolaminar. (5). (Fig 3). Igualmente se deben tener en cuenta los espacios prevertebral y retrofaringeo, que se aumenta en casos de patología. El prevertebral se mide entre C1 y C4 y debe ser menor de 7 mm o el 30% del ancho del cuerpo vertebral. El retroesofágico entre C5 y C7 debe ser menor de 14 mm en los adultos y menor de 22 mm en los niños o igual al ancho del cuerpo vertebral. (5). (Fig 4A y B).
Fig 3. Líneas arcuatas.
Rx lateral. Línea vertebral anterior. (Blanca). Vertebral posterior (Negra) y espinolaminar (Roja).

Fig 4A. Espacios normales.
TAC reconstrucción sagital. Espacio prevertebral sobre C3 y retroesofágico, a nivel de C6.

Fig 4B. Desalineación.
Rx lateral. Anterolistesis post-traumática, con interrupción en las líneas vertebral anterior y posterior. Igualmente hay aumento del espacio retrofaringeo.
En la proyección de odontoides las masas laterales del atlas y axis, deben estar alineadas. (Fig 5). Hasta 3 mm de desplazamiento lateral bilateral, puede ser normal en los niños y 2 mm en los adultos. (6). (Fig 6).
Normalmente el espacio atlantoaxial en la proyección lateral, es menor de 6 mm en los niños y de 3 mm en los adultos. (7). (Fig 7, 8 y 9).

Fig 5. Odontoides normal.
A: Rx AP y B: TAC reconstrucción coronal. Odontoides normal, con alineación de las masas laterales de C1 y C2.

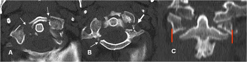
Fig 6. Fractura de Jefferson.
A y B: TAC axial. Fractura conminuta del arco anterior y de la parte derecha del arco posterior. Existen fragmentos libres dentro del canal y compromiso del agujero vertebral en el lado izquierdo. (Flecha gruesa).
C: TAC reconstrucción coronal. Desalineación entre las masas laterales de C1 y C2.

Fig 7. Odontoides normal.
Rx lateral. Espacio atlantoaxial normal. Menor de 6 mm en niños y de 3 mm en adultos.

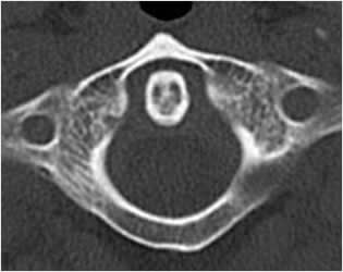
Fig 8. Odontoides normal.
TAC axial. Relación normal entre la odontoides y el arco anterior de C1.

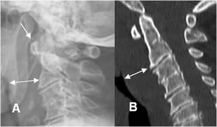
Fig 9. Fractura de Jefferson.
A: Rx lateral y B: TAC reconstrucción sagital. Rectificación cervical, con aumento del espacio retrofaringeo. El arco anterior de C1 está descendido, en relación con el borde superior de la odontoides, aunque se conserva el espacio normal.
| Fecha de creación | Julio 1 de 2011 |
| Fecha de actualización | Marzo 16, 2014 |