ACORTAMIENTO DE MIEMBROS INFERIORES.
DISMETRIA DE MIEMBROS INFERIORES.
Eje mecánico:
Corresponde a la línea que se origina en el centro de la cabeza femoral, hasta la mitad de la articulación del tobillo, situada en el centro de la tróclea astragalina. (1). Normalmente debe cruzar por el centro de la rodilla, entre las espinas tibiales o a una distancia medial o lateral, menor de 10 mm. (1, 3). Este eje forma un ángulo de 3º con la vertical y de 6º con el eje del fémur. (1, 3). (Fig 96 y 97 A).
Las líneas tangenciales a las superficies articulares proximal y distal de la tibia son paralelas o forman un ángulo con eje medial, menor de 5º. (1). (Fig 97 B).

Fig 96. Eje mecánico.
Rx AP. Línea entre el centro de la cabeza femoral y el centro de la tróclea astragalina, que cruza las espinas tibiales.

Fig 97 A. Eje mecánico.
A y B: Rx AP. El eje mecánico forma ángulo de 3º con la vertical en A y de 6º con el eje del fémur en B.

Fig 97 B. Líneas tangenciales.
Rx AP. Relación entre las superficies articulares tibiales superior e inferior, con ángulo de vértice medial.
Genu valgo: Angulo femorotibial menor de 173º.

Fig 98 A. Genu valgo de origen femoral.
Eje desplazado lateralmente y líneas tangenciales paralelas.

Fig 98 B. Genu valgo de origen tibial.
Eje desplazado lateralmente y líneas tangenciales con ángulo de vértice lateral.
Genu varo: Angulo femorotibial mayor de 177º.

Fig 98 C. Genu varo de origen femoral.
Eje desplazado medialmente y líneas tangenciales paralelas.

Fig 98 D. Genu varo de origen tibial.
Eje desplazado medialmente y líneas tangenciales con ángulo de vértice medial.
Longitud de extremidades:
Los huesos largos crecen a partir de los cartílagos de crecimiento proximal y distal. Muchas de las lesiones que producen acortamiento o alargamiento de las extremidades, se originan por lesión del cartílago. (3).
La patología incluye el acortamiento y menos común el alargamiento de un hueso. (3).
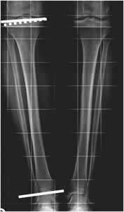
En condiciones normales la diferencia en la longitud de las extremidades, debe ser menor de 5 mm. Puede medirse también la diferencia entre fémures y tibias. (2). (Fig 99).

Fig 99. Longitud de extremidades.
Rx AP. La longitud de las extremidades es simétrica.
La dismetría de los miembros inferiores generalmente ocurre por acortamiento, que desencadena mecanismos compensatorios. Es común el acortamiento de pocos milímetros sin repercusión clínica y con predominio en el lado derecho. Entre 5 y 20 mm de diferencia, hay basculación de la pelvis. Mas de 20 mm ocasiona escoliosis vertebral y deformidad en rodillas y tobillos. (3). (Fig 100 y 101).

Fig 100. Desbalance pélvico.
Rx AP. Acortamiento izquierdo, con elevación de la cresta iliaca derecha. (Línea continua).

Fig 101. Desbalance pélvico.
Rx AP. Acortamiento derecho, con elevación de la cresta iliaca izquierda y escoliosis lumbar derecha.
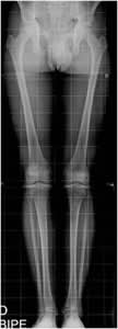
Las dismetrías se pueden calcular, con: (1, 2, 3, 8). (Fig 102).
Los puntos de referencia para hacer la medición son el borde superior de la cabeza femoral, el borde inferior del cóndilo femoral medial, la eminencia intercondílea tibial y el borde inferior de la tibia. (1, 2, 3). (Fig 103).
Las proyecciones permiten determinar la causa, cuantificar las diferencias y siempre deben incluir las crestas iliacas. (2, 3). (Fig 104 A y B y 105).

Fig 102. Longitud de extremidades.
A: Rx simple con 3 disparos en las articulaciones, en una misma película.
B: Telemétrica de miembros inferiores.
C: Escanigrama de TAC.

Fig 103. Longitud de extremidades.
A y B: Rx simple. Medición de las extremidades. En el fémur desde el borde superior de la cabeza femoral, hasta el borde inferior del cóndilo medial y en la pierna desde la eminencia intercondilea, hasta el borde inferior de la tibia.

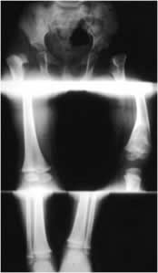
Fig 104 A. Acortamiento.
Test de Farill. Acortamiento de la extremidad izquierda, a expensas del fémur.

Fig 104 B. Acortamiento.
Rx AP. Acortamiento de la extremidad izquierda, a expensas del fémur por fractura antigua y consolidada del tercio distal.

Fig 105. Acortamiento.
Rx AP. Acortamiento de la extremidad izquierda, sin encontrar lesiones focales y secundario a disminución en la longitud de la tibia.
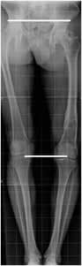
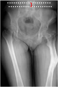
El desbalance pélvico se determina mediante la distancia entre líneas horizontales, que pasan sobre el borde superior de las crestas iliacas. (3). (Fig 106).

Fig 106. Acortamiento.
Rx AP. Acortamiento del fémur izquierdo, como secuela de fractura consolidada en varo. Se encuentra desbalance pélvico, con elevación de la cresta iliaca derecha.
En cuanto al tratamiento las diferencias menores de 15 mm, generalmente no requieren manejo. Las mayores de 15 mm se tratan con plantillas y mayores de 3-4 cm, con zapatos ortopédico. Por encima de 5 cm se utiliza el alargamiento del miembro mas corto. (3). (Fig 107 y 108).

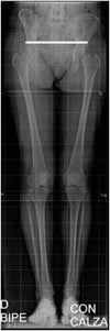
Fig 107. Tratamiento.
Rx AP con plantilla. Acortamiento izquierdo, que disminuye utilizando una plantilla,
aunque persiste elevación de la cabeza femoral derecha y el desbalance pélvico.

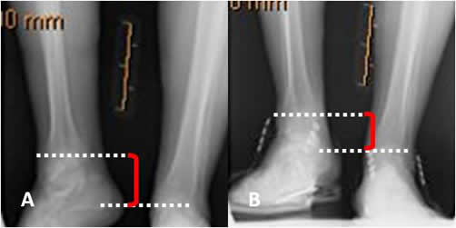
Fig 108. Uso de alzas.
A: Telemétrica sin alza y B: Telemétrica con alza. Paciente con luxación abandonada de la cadera derecha (No mostrada) y acortamiento secundario de la extremidad. El uso de la alza en B, disminuye la diferencia de 5 cm a 3.5.
| Fecha de creación | Julio 1 de 2011 |
| Fecha de actualización | Diciembre 10, 2012 |