VALORACION RADIOLOGICA.
Como en todas las articulaciones, se debe iniciar la valoración con radiografía (Rx) simple. Con esta modalidad se pueden identificar lesiones focales, calcificaciones anormales, lesiones traumáticas, etc.
La muñeca y los dedos se estudian con proyecciones AP y lateral. Para los metacarpianos adicionar una proyección oblicua. (Fig 7 y 8).

Fig 7. Metacarpianos normales.
A: Rx AP y B: Rx oblicua de los metacarpianos.

Fig 8. Fractura de metacarpiano.
A: Rx lateral, sin cambios detectables.
B: Rx oblicua, donde se identifica fractura oblicua del 4º metacarpiano.
Estructuras óseas a tener en cuenta: (Fig 9).
Apófisis estiloides de la ulna y el radio.
Huesos del carpo:
Fig 9. Estructuras del carpo.
Rx AP. E: Escafoides. S: Semilunar. P: Piramidal. PI: Pisiforme.
T: Trapecio. TR: Trapezoide. G: Grande. GA: Ganchoso.
R: Radio. U: Ulna. MT: Metacarpianos.
En una Rx AP, los huesos del carpo están alineados en 3 arcos I, II y III, los cuales son paralelos entre si. Igualmente hay coincidencia entre el eje del radio y el del 3º metacarpiano. Una interrupción en alguna de estas líneas indica fractura o luxación. (8). (Fig 10).
En la Rx lateral debe estar alineado el radio, con los huesos lunado y grande. (8). (Fig 11).

Fig 10. Alineación ósea.
A: Rx AP. Alineación de los 3 arcos del carpo.
B: Rx AP. Alineación entre el eje de radio y el 3º metacarpiano.

Fig 11. Alineación ósea.
A: Rx lateral y B: TAC reconstrucción lateral de muñeca.
Alineación entre los ejes del radio, huesos semilunar (Flecha delgada) y grande (Flecha gruesa).
La varianza ulnar es la relación entre los extremos distales del radio y la ulna en la Rx AP. (6). Normalmente se localizan al mismo nivel. (Fig 12).
En la varianza ulnar positiva, la ulna es mas larga y se asocia con síndrome de impactación (Fig 13)y en la negativa, la ulna es mas corta, asociándose a enfermedad de Kienböck.(Osteonecrosis del semilunar). (6). (Fig 14).

Fig 12. Varianza ulnar.
Rx AP. Hallazgo normal, con superficie de los huesos al mismo nivel.

Fig 13. Varianza ulnar positiva.
Rx AP. Varianza ulnar positiva, con extremo de la ulna mas largo que el radio.

Fig 14. Varianza ulnar negativa.
A: Rx AP y B: RM coronal en T1. Varianza ulnar negativa, con extremo de la ulna, mas corto que el radio.

Fig 15. Osteonecrosis del semilunar.
A: Rx AP. Pérdida de la configuración y aumento en la densidad del hueso semilunar.
B: RM coronal en T1. Semilunar hipointenso, por la presencia de necrosis.
Hay mediciones importantes, a la hora de valorar la patología traumática de la muñeca.

Fig 16. Inclinación radial.
Rx AP. Angulo formado entre la perpendicular al eje del radio y una línea que pasa por la superficie articular distal, del mismo hueso.

Fig 17. Longitud radial.
Rx AP. Distancia entre las líneas que pasan por el extremo de la
apófisis estiloides del radio y la superficie articular.

Fig 18. Inclinación volar.
Rx lateral. Angulo formado entre la perpendicular al eje del radio y una línea que une la parte anterior y posterior del radio distal.
Hay 2 ángulos muy importantes en el estudio de la inestabilidad. Los ángulos escafolunado y grandelunado, que son medidos en Rx lateral.
El ángulo escafolunado tiene una amplitud normal entre 30º y 60º. (4).
El eje del escafoides se traza uniendo los bordes anteriores superior e inferior. El del lunado, por una línea perpendicular a la unión de sus polos distales. (Fig 19).
El ángulo grandelunado tiene una amplitud normal entre 0º y 30º. (4).
El eje del hueso grande se traza de la parte media de la cabeza, a la parte mas inferior de su superficie articular. (Fig 20).

Fig 19. Angulo escafolunado.
A: Rx lateral. Intersección entre los ejes de los huesos escafoides y lunado.

Fig 20. Angulo grandelunado.
A: Rx lateral. Intersección entre los ejes de los huesos grande y lunado.
La Resonancia Magnética (RM) es el estudio de elección, para la valoración de la muñeca y la mano. Permite estudiar las estructuras óseas y los tejidos blandos, incluyendo músculos y tendones, ligamentos, nervios, espacio articular, etc.
Las secuencias deben incluir cortes axiales, sagitales y coronales.
El FCT se identifica como una estructura bicóncava y en forma de corbatín, hipointensa en todas las secuencias. Se pueden ver sus inserciones en el radio y cúbito.
Sus componentes se identifican con la RM. El menisco, disco y ligamentos ulnopiramidal y ulnosemilunar se aprecian en vistas coronales. Los ligamentos radioulnar dorsal y volar se visualizan en el plano axial. (2). (Fig 22 y 23).
El menisco es una estructura hipointensa, con leve aumento normal de la señal sobre la inserción ulnar. (2).

Fig 22. Complejo del FCT normal.
A: RM coronal en T2. Cartílago (Flecha delgada), menisco homólogo (Flecha gruesa) y tendón del extensor ulnar del carpo. (Punta de flecha).
B: RM coronal en T2. Cartílago con su inserción radial (Flecha delgada) e inserción ulnar (Flecha gruesa).

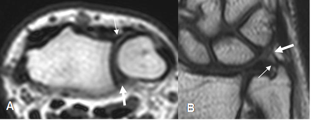
Fig 23. Complejo del FCT.
A: RM axial en T1. Ligamentos radioulnar anterior (Flecha delgada) y radioulnar posterior (Flecha gruesa).
B: RM coronal en T2. Ligamentos ulnosemilunar (Flecha delgada) y ulnopiramidal (Flecha gruesa).
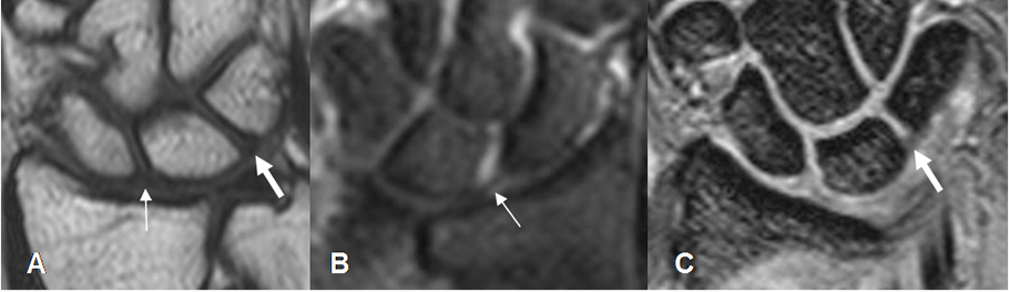
Los ligamentos también son bien estudiados con la RM. El grupo de intrínsecos es mejor visualizados en secuencias coronales y los extrínsecos en cortes sagitales. (4). Se identifican como estructuras delgadas, con baja señal de intensidad (SI) en todas las secuencia, adyacente a estructuras óseas y rodeados por grasa. (Fig 24 a 27).

Fig 24. Ligamentos intrínsecos normales.
A: RM coronal en T1, B: RM coronal en STIR y C: RM coronal en GE.
Ligamento escafolunado (Flecha delgada) y ligamento semilunopiramidal (Flecha gruesa).

Fig 25. Ligamentos extrínsecos anteriores normales.
A: RM coronal en GE Ligamento radioescafoideo.
B: RM coronal en T1. Ligamento radiolunopiramidal.

Fig 26. Ligamentos extrínsecos posteriores normales.
A: RM coronal en T2. Ligamento radioescafoideo.
B: RM coronal en GE. Ligamento radiolunado.
C: RM coronal en T2. Ligamento radiopiramidal.

Fig 27. Ligamentos normales.
A: RM sagital en T2. Ligamento radioescafogrande.
B: RM sagital en T2. Ligamento radioescafoideo posterior.
Los tendones del mecanismo flexor y extensor, se aprecian como estructuras hipoecoicas y con distribución fibrilar en la ecografía. (Fig 28).
Con la RM se aprecian como imágenes hipointensas en todas las secuencias y mejor evaluados en vistas axial y sagital. (Fig 29, 30 y 31).

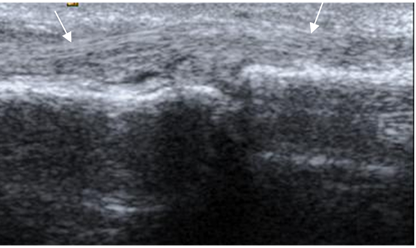
Fig 28. Mecanismo extensor.
Ecografía sagital. Tendón extensor normal.

Fig 29. Mecanismo extensor normal.
A: RM sagital en T1. Inserción de mecanismo extensor en la base de la falange media (Flecha gruesa) y en la base de la falange distal (Flecha delgada).
B: RM axial en T1. Mecanismo extensor normal, en el dorso de los metacarpianos.

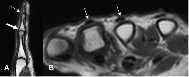
Fig 30. Mecanismo flexor normal.
A: RM sagital en T1. Inserción del flexor superficial en la base de la falange media (Flecha gruesa) y del flexor profundo, en la base de la falange distal (Flecha delgada).
B: RM axial en T2. Mecanismo flexor, fijado por las poleas en las falanges.

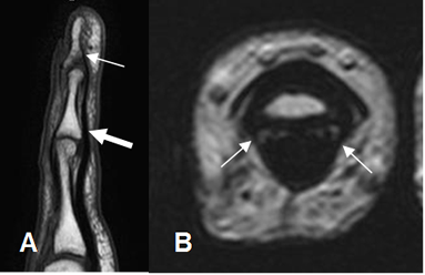
Fig 31. Músculos intrínsecos normales.
RM coronal en T1. Músculos lumbricales e interóseos normales.
En la muñeca se identifican 2 retináculos, cuya función es mantener la posición de los huesos del carpo y contener los tendones flexores y extensores durante el movimiento. (9).
El retinaculo flexor o ligamento transverso del carpo se localiza entre el pisiforme y la apófisis del ganchoso en la parte lateral y el escafoides y el trapecio en la medial.
El flexor o ligamento dorsal del carpo se extiende desde los huesos piramidal y pisiforme, hasta el radio distal. (9). (Fig 32).

Fig 32. Retináculos.
A: RM axial en T1. Retináculo flexor normal.
B: RM axial en T1. Retináculo extensor normal.
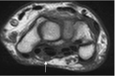
El nervio mediano ocupa una posición superficial y medial del canal del carpo, entre los tendones del flexor superficial de los dedos y el flexor ulnar del carpo. Es una estructura con señal hipointensa y rodeada por grasa, mejor vista a nivel de la apófisis del ganchoso. (9). (Fig 33).

Fig 33. Nervio mediano.
RM axial en T1. Nervio normal, en la parte superficial del canal del carpo.
| Fecha de creación | Marzo 1 de 2011 |
| Fecha de actualización | Enero 30, 2014 |