TRAUMA DE RADIO.
Existen varios tipos de fracturas, que comprometen el radio distal. La medición de la longitud radial, la inclinación radial e inclinación volar, se correlacionan bien con el resultado final, luego del manejo. (11).
Tipos de fracturas del radio distal:
FRACTURA DE COLLES: Es la fractura mas frecuente del radio. Se produce por caída con la mano en dorsiflexión y el antebrazo en pronación.
Ocasiona deformidad en dorso de tenedor, con angulación dorsal del fragmento distal. (10). (Fig 34).

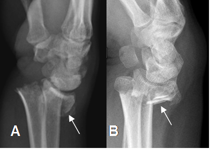
Fig 34. Fractura de Colles.
A: y B: Rx lateral. Fractura de Colles, con desplazamiento posterior del fragmento distal del radio.
FRACTURA DE SMITH: En este tipo de fracturas, se aprecia angulación anterior o volar del fragmento distal del radio y son producidas por caída sobre el dorso de la mano o trauma directo. (10). (Fig 35).

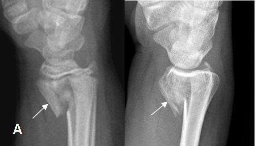
Fig 35. Fractura de Smith.
A y B: Rx lateral. Fractura de Smith, con desplazamiento anterior del fragmento distal del radio.
FRACTURA DE BARTON: Es una fractura oblicua e intra-articular de la parte distal del radio, a nivel dorsal. Hay desplazamiento posterior del carpo y del radio. (4). (Fig 36).
Fractura de Barton inverso o volar: En este tipo de fractura se encuentra compromiso de la parte volar del radio, con desplazamiento anterior del carpo. (4). (Fig 37 y 38).

Fig 36. Fractura de Barton.
A: TAC axial y B: TAC reconstrucción sagital. Fractura intra-articular, que compromete la parte posterior del radio.

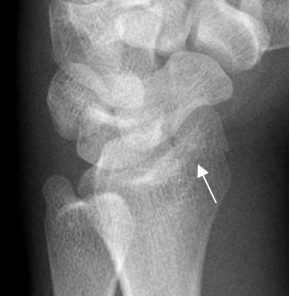
Fig 37. Fractura de Barton volar.
Rx oblicua. Fractura intra-articular y en sentido oblicuo, en la parte anterior del radio.

Fig 38. Fractura de Barton volar.
A: TAC reconstrucción sagital. Fractura desplazada, intra-articular y en sentido oblicuo, en la parte anterior del radio. (Flecha delgada) Adicionalmente existe luxación del carpo, con desplazamiento anterior de los huesos grande y semilunar (Flechas gruesas).
B: RM axial en T1. Fractura de Barton volar, no desplazada.
FRACTURA DE HUTCHINSON: Fractura intra-articular y en sentido oblicuo, que se extiende desde la apófisis estiloides del radio, hasta la articulación radiocarpiana. (4). (Fig 39).

Fig 39. Fractura de Hutchinson.
A y B: Rx AP y C: RM coronal en STIR. Fractura intra-articular y en sentido oblicuo, en la parte lateral del radio distal.
| Fecha de creación | Marzo 1 de 2011 |
| Fecha de actualización | Octubre 20, 2011 |