TRAUMA DE LIGAMENTOS COLATERALES.
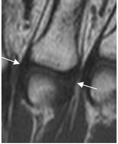
Las articulaciones interfalángicas, están estabilizadas por los ligamentos colaterales. (6). (Fig 61).
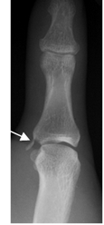
Se puede sospechar lesión ligamentaria, si se encuentra angulación medial o lateral de las falanges en una Rx AP, con el dedo en completa extensión (6) o un fragmento óseo lateral, por avulsión de la inserción. (Fig 62 A y B).
Con la RM se encuentra ruptura del ligamento, rodeado por líquido. (6).

Fig 61. Ligamentos colaterales.
RM coronal en T2. Estructuras hipointensas en todas las secuencias, que corresponden a los ligamentos interfalángicos normales.

Fig 62 A. Lesión de ligamento colateral.
Rx AP. Fragmento óseo en la parte medial sobre la base de la falange media, por avulsión del ligamento colateral.

Fig 62 B. Lesión ligamentaria colateral.
A y B: RM coronal en STIR. Contusión de la falange proximal. Hay cambios inflamatorios rodeando el ligamento colateral lateral, el cual permanece íntegro, por esguince GI.
| Fecha de creación | Marzo 1 de 2011 |
| Fecha de actualización | Enero 6, 2012 |