TRAUMA DE METACARPIANOS Y DEDOS.
Las lesiones de los dedos y metacarpianos, son mas comunes que la de los huesos del carpo. Los dedos se traumatizan mas frecuentemente en las falanges distales y los metacarpianos, del 1º y 5º, conocida esta última como fractura del boxeador. (10). (Fig 55 y 56).
La luxación posterior de la articulación interfalángica proximal, es la mas común de toda la mano. (10). (Fig 57 y 58).

Fig 55. Fractura de los dedos.
A: Rx lateral. Fractura conminuta alrededor de la articulación interfalángica.
B: RX AP. Fractura oblicua del tercio distal de la falange media del 3º dedo.
C: Rx AP. Fracturas no desplazada en las bases de las falanges proximales de 2º y 3º dedo.

Fig 56. Fractura del 5º metatarsiano.
A: Rx AP. Fractura de la cabeza del 5º metatarsiano, conocida como fractura del boxeador.
B: Rx oblicua. Fractura en la diáfisis del 5º metatarsiano.

Fig 57. Luxación de los dedos.
A: Rx AP. No se aprecian anormalidades.
B: Rx lateral. Luxación posterior de la articulación interfalángica distal.

Fig 58. Amputación del dedo.
Rx AP. Amputación sobre la mitad de la falange media del 3º dedo, con desplazamiento medial e inferior.
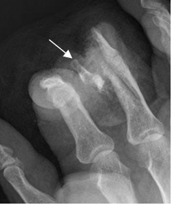
LUXOFRACTURA DE BENNET:
El dedo pulgar se lesiona mucho, por su gran movilidad y función de pinza.
En este tipo de lesión se produce luxación de la articulación metacarpofalángica y una fractura intra-articular y en sentido oblicuo, sobre la base del 1º metacarpiano. (10). (Fig 59 A, B y C).
La luxofractura de Rolando, es una lesión similar a la de Bennet, pero con fractura conminuta del metacarpiano. (6). (Fig 59 D).

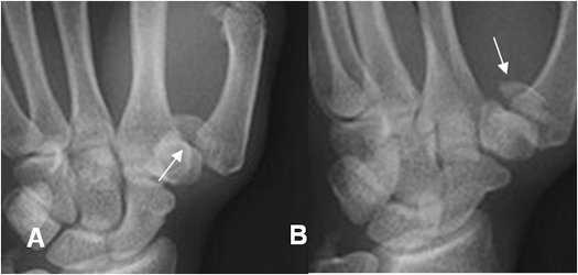
Fig 59 A. Luxación carpometacarpiana.
Rx oblicua. Luxación aislada de la articulación carpometacarpiana del pulgar, sin fractura.

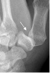
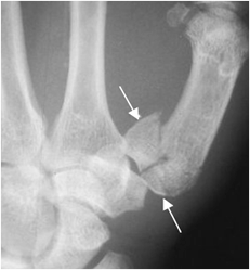
Fig 59 B. Luxofractura de Bennet.
A: Rx AP y B: Rx oblicua. Subluxación de la articulación carpometacarpiana del pulgar y fractura en la base del metacarpiano, por luxofractura de Bennet.

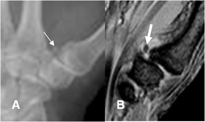
Fig 59 C. Luxofractura de Bennet.
A: Rx oblicua. Luxofractura de Bennet, con pequeño fragmento suelto medial.
B: RM oblicua en STIR. Escasa cantidad de líquido articular y subluxación carpometacarpiana. Se identifica fragmento libre. (Flecha gruesa).

Fig 59 D. Luxofractura de Rolando.
Rx AP. Luxofractura conminuta en la articulación carpometacarpiana del pulgar, por lesión de Rolando.
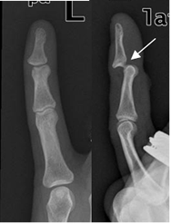
DEDO DEL ESQUIADOR O DEL GUARDABOSQUES:
Es ocasionado por trauma en abducción forzada de la articulación metacarpofalángica del pulgar, que produce esguince del ligamento colateral ulnar (1, 6).
En algunos casos se asocia con fractura por avulsión, sobre la base del 1º metacarpiano. (Fig 60).

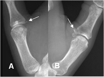
Fig 60. Fractura del esquiador.
A y B: Rx oblicuas. Fracturas por avulsión en diferente grado, sobre la base de la falange proximal del 1º dedo, por lesión del esquiador.
| Fecha de creación | Marzo 1 de 2011 |
| Fecha de actualización | Enero 30, 2014 |