TRAUMA DEL CARPO.
El escafoides es el hueso mas frecuentemente lesionado del carpo, seguido por el piramidal y el pisiforme. (6)
La irrigación del escafoides está dada por ramas de la arteria radial. Los vasos ingresan en la parte distal, por lo cual la porción proximal es hipovascular. (6). (Fig 40).
Se debe sospechar trauma del carpo, cuando se pierde la alineación ósea. (Fig 41 a 44).

Fig 40. Diagrama de la irrigación del escafoides.

Fig 41. Desalineación del carpo.
A: Rx AP. Arco I del carpo mal alineado, por lesión. Adicionalmente hay fractura del radio. (Flecha gruesa).
B: Rx lateral. Se confirma luxación del semilunar.

Fig 42. Fractura del piramidal.
A: Rx lateral. Fragmento óseo suelto en la parte posterior del tercio medio del carpo, por fractura del piramidal.
B: TAC axial y C: TAC reconstrucción sagital. Fractura del piramidal.

Fig 43. Fractura del piramidal.
A: RM coronal en T1 y B: RM coronal en STIR. Edema óseo del piramidal, con fractura no desplazada, en sentido oblicuo.

Fig 44 A. Fractura del ganchoso.
A: RX AP. Irregularidad en la parte lateral del ganchoso.
B: RX lateral. Fractura conminuta con fragmentos en la parte superior del carpo, por fractura del ganchoso.

Fig 44 B. Fractura del ganchoso.
TAC axial: Fractura transversa en la apófisis del ganchoso.

Fig 44 C. Fractura del ganchoso.
A: Rx AP. Fractura oblicua del ganchoso.
B: TAC axial y C: TAC reconstrucción sagital. Fractura conminuta del ganchoso.
La fractura del escafoides se produce por hiperextensión de la muñeca y clínicamente se encuentra dolor en la tabaquera anatómica. (6).
Hasta el 30% de este tipo de lesiones, no se visualizan en las proyecciones iniciales. En el pasado ante la sospecha clínica, se inmovilizaban los pacientes y repetía la Rx en 2 semanas. Actualmente está indicado el complemento inmediato con TAC y RM. (8).
En la Rx se aprecia el defecto óseo y el hueso esclerótico en los estados crónicos. (6). (Fig 45 y 46).
Con la RM y en ausencia de fractura, se puede encontrar contusión ósea o compromiso de los tejidos blandos. En la fase temprana, se identifica imagen hipointensa en T1. En el T2 es hiperintenso por edema óseo, en la fase aguda e hipointenso por fibrosis y esclerosis, en las lesiones crónicas. (6). (Fig 47 y 48).

Fig 45. Fractura del escafoides.
A: Rx AP y B: Rx oblicua de la muñeca. Fisura transversa del escafoides, en su tercio medio.

Fig 46. Fractura del escafoides.
A: Rx AP. Fractura transversa del escafoides, en su tercio medio.
B: TAC reconstrucción coronal y C: reconstrucción sagital. El mismo paciente, donde se confirma la fractura no desplazada. Adicionalmente hay fractura de Barton en el radio.

Fig 47. Contusión del escafoides.
RM coronal en STIR. Hueso escafoides hiperintenso, por contusión ósea. Hay fisura en la parte inferior. (Flecha).

Fig 48. Fractura del escafoides.
A: Rx AP. Fractura transversa del escafoides, en su tercio medio.
B: RM sagital en T1. La fractura se identifica, como línea hipointensa.
C: RM coronal en STIR. Edema y fractura del escafoides (Flecha delgada). Adicionalmente se aprecia contusión del semilunar (Flecha gruesa).
Las principales complicaciones como la osteonecrosis y la no unión, aparecen cuando la fractura ocurre en el tercio proximal, tienen orientación vertical, son inestables o anguladas. (6). Una fractura es considerada inestable, cuando la distancia entre los fragmentos es mayor de 1mm. (4). (Fig 49).
La fractura del escafoides no se considera consolidada, hasta que no desaparezca la línea de fractura en la Rx simple o reconstrucción coronal de TAC. Si aparece área lucente, la formación de seudoartrosis debe ser sospechada. (11). (Fig 50, 51 y 52 A y B). La no unión en RM, puede diagnosticarse por la persistencia de señal de líquido entre los fragmentos óseos. (6). (Fig 53).
El contraste sirve para determinar la viabilidad. La ausencia de captación indica falta de perfusión. (6). (Fig 54).
Como complicación tardía, se puede desarrollar osteoartritis radiocarpal, después de 10 a 20 años del trauma inicial. (11).

Fig 49. Fractura inestable del escafoides.
A: Rx AP. Fractura desplazada del escafoides, con desalineación de los huesos del carpo.
B: TAC reconstrucción coronal y C: TAC reconstrucción sagital. Fragmentos diastasados y angulados, signos de inestabilidad.

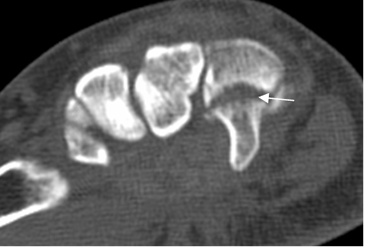
Fig 50. Fractura inestable del escafoides.
A: Rx AP y B: TAC axial de muñeca. Fractura oblicua e inestable en el polo inferior del escafoides, con fragmentos separados.

Fig 51. Fractura del escafoides con osteonecrosis.
A: Rx AP. Fractura antigua del escafoides, con esclerosis del polo inferior, por osteonecrosis.
B: RM coronal en T1 y C: RM coronal en STIR. El polo superior del escafoides muestra signos de edema óseo hipointenso en T1 e hiperintenso en STIR (Flechas delgadas) y el polo inferior de osteonecrosis, hipointenso en ambas secuencias. (Flechas gruesas).

Fig 52 A. Seudoartrosis del escafoides.
A: Rx AP. Zona radiolúcida sobre una fractura transversa, que indica seudoartrosis (Flecha delgada). Además el polo inferior es esclerótico, por osteonecrosis. (Flecha gruesa).
B: RM coronal en T1. Escafoides hipointenso por osteonecrosis.

Fig 52 B. Seudoartrosis del escafoides.
A: Rx AP, B: TAC reconstrucción coronal y C: TAC reconstrucción sagital. Fractura del escafoides fijada con material de osteosíntesis. Se encuentra aumento del espacio entre los extremos, esclerosis de los bordes y ausencia de callo óseo, por la presencia de seudoartrosis. El polo inferior del escafoides es denso, por probable osteonecrosis. (Flechas gruesas).

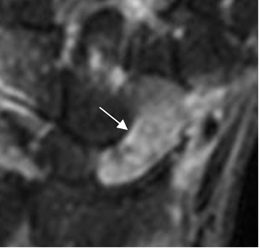
Fig 53. No unión en fractura del escafoides.
A: Rx AP. Fractura transversa con bordes esclerótico, por no unión.
B: RM coronal en T1. El polo inferior es hipointenso, por osteonecrosis.
C: RM coronal en STIR. Presencia de líquido entre los fragmentos, secundario a no unión.

Fig 54. Contraste en fractura del escafoides.
A: TAC reconstrucción coronal. No unión de fractura en escafoides.
B: RM coronal en T1. Hueso hipointenso, por osteonecrosis.
C: RM coronal en T1 con contraste. El escafoides muestra moderado realce, que indica viabilidad.
| Fecha de creación | Marzo 1 de 2011 |
| Fecha de actualización | Enero 30, 2014 |