TENDINITIS Y TENOSINOVITIS.
Las estructuras mas frecuentemente comprometidas, son el flexor ulnar y flexor radial del carpo en la parte anterior. (6).
En la Rx simple no hay hallazgos significativos.
Con la ecografía se puede encontrar engrosamiento del tendón y alteración de su patrón fibrilar por tendinitis o el tendón rodeado por líquido por tenosinovitis. (Fig 89).
En la RM, los hallazgos son similares a la ecografía. Engrosamiento del tendón y alteración de su SI por tendinitis y presencia de liquido a su alrededor, por tenosinovitis. (Fig 90 a 93).
En la parte posterior la lesión mas común es la alteración del 1º compartimiento extensor, compuesto por el aductor largo y extensor breve del pulgar, conocida comúnmente como tenosinovitis estenosante de Quervain. Esta inflamación es producida por la fricción repetida. (6). (Fig 94 A, B y C).

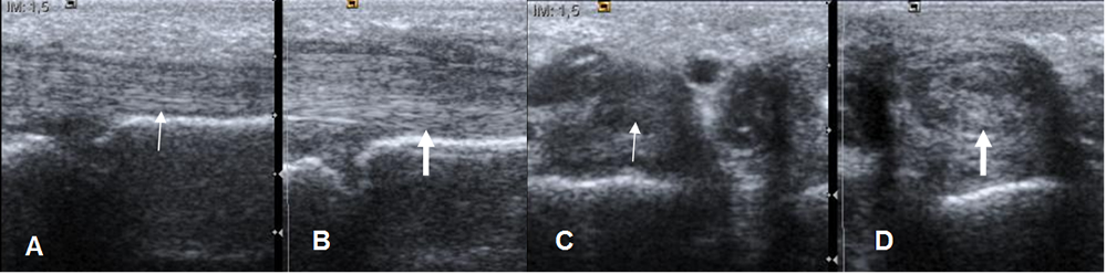
Fig 89. Tendinitis.
A: Ecografía sagital y C: ecografía axial. Tendón flexor del 3º dedo normal.
B: Ecografía sagital y D: ecografía axial. El tendón del 4º dedo está engrosado y con pérdida de su patrón fibrilar, por tendinitis.


Fig 91. Tendinitis
A: RM axial en T1 y B: RM axial en T2. Engrosamiento y alteración de la SI intrasustancia del flexor ulnar del carpo, por tendinitis.

Fig 92. Tenosinovitis.
A: RM axial en T2 y B: RM coronal en STIR. Tendón del flexor radial del carpo rodeado por líquido, secundario a tenosinovitis.

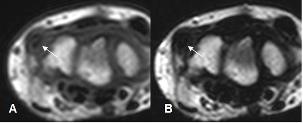
Fig 93. Tenosinovitis.
A: RM axial en T2 y B: RM coronal en STIR. Tendón del extensor ulnar del carpo rodeado por líquido, secundario a tenosinovitis.

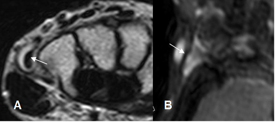
Fig 94 A. Tenosinovitis de Quervain.
A: Ecografía y B: RM axial en T2. Líquido rodeando los tendones del 1º compartimiento extensor, por tenosinovitis.

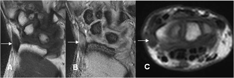
Fig 94 B. Tenosinovitis de Quervain.
A: RM coronal en T1, B: RM coronal en GE y C: RM axial en T1. Tendón del abductor largo del pulgar engrosado y con alteración de su señal, por tendinitis crónica.

Fig 94 C. Tenosinovitis de Quervain.
RM coronal en GE. Líquido rodeando los tendones del 1º compartimiento extensor, por tenosinovitis de Quervain.
| Fecha de creación | Marzo 1 de 2011 |
| Fecha de actualización | Diciembre 11, 2016 |