NEUROPATIAS MUÑECA.
La anormalidad primaria del nervio, no es visible en muchos casos, pero los cambios en el músculo que inervan son usados para diagnosticar y localizar las lesiones. (16).
Las neuropatías periféricas se pueden clasificar como compresivas y no compresivas. Las últimas incluyen lesiones traumáticas, polineuropatías desmielinizantes inflamatoria (Guillain Barré), infecciones, inflamaciones, etc. y las compresivas el quiste sinovial, los lipomas, la artritis reumatoidea, osteofitos por enfermedad degenerativa, sinovitis, tumores neurogénicos (Neurofibroma), etc. (16). (Fig 97).

Fig 97. Neuropatía periférica.
A: RM axial en T1. Imagen redondeada e isointensa el músculo sobre la topografía del nervio mediano.
B: RM sagital en STIR. Lesión ovalada e hiperintensa a nivel de los metacarpianos, que tiene continuidad con el nervio mediano (Flecha gruesa) y corresponde a neurofibroma.
Tunel del carpo:
Es la mas común neuropatía periférica por atrapamiento. (1).
Ocurre principalmente en las mujeres, en la mano dominante y se caracteriza por dolor y parestesias en el territorio del nervio mediano, secundario a su isquemia. (1).
En la RM se observa engrosamiento del nervio mediano o hiperintensidad en T2 y STIR, a nivel de la apófisis del ganchoso. En casos de causa compresiva, se encuentra el factor etiológico. (17). (Fig 98).

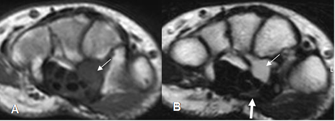
Fig 98. Neuropatía periférica.
A: RM axial en T1 y B: RM axial en T2. Lesión redondeada isointensa al músculo en T1 e hiperintensa en T2, en la parte superointerna del canal del carpo, que corresponde a ganglión. En T2 el nervio mediano es hiperintenso (Flecha gruesa), por neuropatía compresiva.
| Fecha de creación | Marzo 1 de 2011 |
| Fecha de actualización | Marzo 16, 2014 |