INESTABILIDAD CARPAL.
La inestabilidad del carpo es una frecuente causa de dolor y se refiere a la mala alineación de los huesos de esta región. Se puede clasificar en estática o dinámica, la cual ocurre solo con algunos movimientos. (1).
La causa mas frecuente es la lesión del ligamento escafolunado, ocasionada también por mecanismo de hiperextensión. (6).
Se manifiesta como inestabilidad dorsal o tipo DISI y volar o anterior tipo VISI.
La luxación mas común del carpo es la perilunar. El trauma produce una secuencia de lesiones ligamentarias. Primero se rompe el ligamento escafolunado, luego el lunocapital y lunopiramidal y finalmente se produce la luxación completa. (8).
En la Rx simple debe sospecharse lesión ligamentaria, cuando el espacio entre los huesos es mayor de 2 mm en la proyección AP. (6). (Fig 70).
El hueso semilunar adquiere morfología triangular y de bordes redondeados. En la proyección lateral, su posición es la clave para clasificar la inestabilidad. (1).
En la RM se detecta ruptura parcial o completa de los ligamentos, en asocio a contusión osea y presencia de liquido. (6). (Fig 71 y 72).

Fig 70. Ruptura del ligamento escafosemilunar.
A: Rx AP y B: TAC reconstrucción coronal. Aumento del espacio escafosemilunar, por lesión ligamentaria.

Fig 71. Ruptura del ligamento escafosemilunar.
A: RM coronal en GE. Aumento del espacio y laxitud del ligamento escafosemilunar, por ruptura.
B: RM coronal en GE. Escaso líquido en el espacio mediocarpiano, signo indirecto de ruptura del ligamento escafosemilunar.

Fig 72. Ruptura del ligamento escafosemilunar y contusión osea.
A: Rx AP de muñeca. Aumento del espacio escafosemilunar.
B: RM coronal en T1 y C: RM coronal en STIR. Edema oseo del hueso semilunar (Flecha delgada) y líquido en el espacio mediocarpal. (Flecha gruesa).
Tipos de inestabilidad:

Fig 73. Inestabilidad tipo DISI.
A: TAC reconstrucción coronal. Aumento del espacio escafolunado, por ruptura ligamentaria.
B: TAC reconstrucción sagital y C: RM sagital en T2. Angulación anterior del lunado, por inestabilidad tipo DISI.

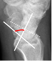
Fig 74. Inestabilidad tipo DISI.
A: Rx lateral. Angulo escafolunado mayor de 60.

Fig 75. Inestabilidad tipo VISI.
A: Rx AP. Alteración en la configuración de la articulación escafolunado.
B: Rx lateral. Desplazamiento y angulación posterior del lunado, por inestabilidad tipo VISI.

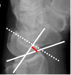
Fig 76. Inestabilidad tipo VISI.
A: Rx lateral. Disminución del ángulo escafolunado, por inestabilidad tipo VISI.
Aunque las fracturas y luxaciones del carpo son raras, pueden ocasionar muchas complicaciones tardías que incluyen neuropatía del mediano, inestabilidad crónica, no unión, necrosis avascular y artritis. (6).
Se han descrito 4 estados de las luxofracturas del semilunar por Mayfield: (6).

Fig 77. Luxación del semilunar.
A: Rx lateral y B: TAC reconstrucción sagital. Desplazamiento anterior del semilunar, con luxación completa. Lesión estado 4.
| Fecha de creación | Marzo 1 de 2011 |
| Fecha de actualización | Enero 30, 2014 |