SINDROMES DE IMPACTACION.
Son un grupo de patologías que disminuyen la amplitud del espacio ulnocarpal.
Varianza ulnar positiva:
Aumento en la longitud distal de la ulna, en relación con el radio o cambios degenerativos, que producen fricción repetitiva ulnocarpal. La varianza es independiente de la longitud de la apófisis estiloides de la ulna. (14).
La Rx es normal en los estados iniciales. En la RM puede encontrarse edema óseo. Posteriormente aparece esclerosis, cambios subcondrales, fibrosis y formación de osteofitos. (13). (Fig 83 y 84).

Fig 83. Impactación ulnar.
A: Rx AP. Varianza ulnar positiva, con erosión del piramidal. Adicionalmente hay fijación de los huesos del carpo, con ausencia del escafoides.
B: TAC reconstrucción coronal. Varianza ulnar positiva, con erosión del semilunar y piramidal.

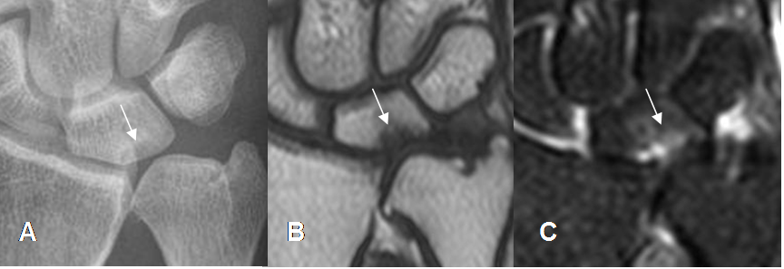
Fig 84. Impactación ulnar.
A: Rx AP. Varianza ulnar positiva, que erosiona en hueso semilunar.
B: RM coronal en T1 y B: RM coronal en STIR. Lesión osteocondral del semilunar, por pinzamiento ulnar.
Sindrome de pinzamiento ulnar:
Ocurre con varianza ulnar negativa, secundaria a cambios PostQx por impactación ulnar, artritis reumatoidea, trauma, etc. (14).
El paciente se queja de dolor con la pronosupinación y se aprecia erosión en la parte medial del radio. (14). (Fig 85).

Fig 85. Pinzamiento ulnar.
A: Rx AP. Varianza ulnar negativa, con erosión en el tercio distal del radio y ulna.
B: Rx AP. Cambios degenerativos en el tercio distal de la ulna, que erosionan el radio distal.
Sindrome de pinzamiento de la estiloides ulnar:
Es otra alteración donde se encuentran cambios en los huesos piramidal y la apófisis estiloides de la ulna, causado por el trauma repetido. Se sigue la secuencia de contusión ósea, sinovitis y luego condromalacia. (14).
Se encuentra una estiloides muy larga, con mas de 6 mm de longitud y cambios de condromalacia asociados. (14). (Fig 86 y 87).

Fig 86. Impactación ulnar.
Rx AP. Apófisis estiloides de la ulna muy prominente, en contacto con el piramidal, sin cambios óseos asociados.

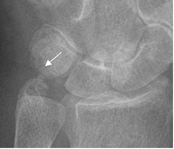
Fig 87. Impactación ulnar.
Rx AP. Prominencia de la apófisis estiloides de la ulna, que ocasiona lesión osteocondral del piramidal.
Pinzamiento grandelunado:
Es otro tipo de pinzamiento entre estos 2 huesos del carpo, cuya fisiopatología y los hallazgos son similares a los ya descritos. (Fig 88 A y 88 B).

Fig 88 A. Impactación del carpo.
A: Rx AP. Imágenes radiolúcidas en los huesos grande y semilunar, por lesiones osteocondrales.
B: RM coronal en T1 y B: RM coronal en STIR. Lesión osteocondral hipointensa en T1 e hiperintensa en STIR, en la parte superomedial del semilunar, por pinzamiento grandelunado.

Fig 88 B. Impactación del carpo.
A: TAC reconstrucción coronal y B: Reconstrucción sagital. Lesiones osteocondrales en el hueso grande, por impactación del carpo. Adicionalmente hay signos de inestabilidad, con aumento del espacio escafosemilunar por ruptura ligamentaria e inestabilidad tipo DISI. Fragmento posterior al hueso grande, por fractura.
| Fecha de creación | Marzo 1 de 2011 |
| Fecha de actualización | Enero 30, 2014 |