GENERALIDADES.
La muñeca está conformada por las articulaciones radioulnar distal, radio y ulnometacarpianas.
Está estabilizada por los ligamentos interóseos, capsulares y el complejo del fibrocartílago triangular. (FCT). (1).
Existen 3 compartimientos principales:
El radioulnar distal está separado del radiocarpal, por el complejo del FCT
Los ligamentos intrínsecos se localizan entre los huesos del carpo y los principales son el escafolunado y semilunopiramidal. (2). (Fig 1). De la integridad de estos ligamentos, depende la conservación del compartimiento mediocarpal.
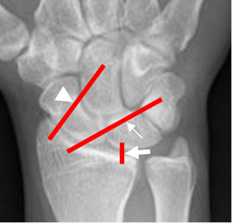
Los ligamentos extrínsecos se ubican entre los huesos del carpo, el radio y los metacarpianos. Los mas importantes son el radiolunopiramidal, radiolunado corto y radioescafogrande, que son los principales estabilizadores anteriores (3) y el ligamento radiocarpal, principal estabilizador posterior, con sus 3 porciones radioescafoideo, radiolunado y radiopiramidal. (4). (Fig 2 y 3).

Fig 1. Ligamentos intrínsecos.
Rx AP. Ligamento escafolunado (Flecha delgada) y semilunopiramidal (Flecha gruesa).

Fig 2. Ligamentos extrínsecos anteriores.
Rx AP. Ligamentos radioescafogrande (Punta de flecha), radiolunopiramidal
(Flecha delgada) y radiolunado (Flecha gruesa).

Fig 3. Ligamentos extrínsecos posteriores.
Rx AP. Ligamento radiocarpal con sus componentes radioescafoideo (Punta de flecha), radiolunado (Flecha delgada) y radiopiramidal (Flecha gruesa).
El complejo de FCT es el principal estabilizador de la articulación ulnocarpiana y radioulnar distal (5) y está conformado por las siguientes estructuras (6): (Fig 4).

Fig 4. Diagrama del complejo del FCT.
C: Cartílago articular. M Menisco homólogo. TE: Tendón del extensor ulnar del carpo. Ligamento ulnosemilunar: US y ulnopiramidal: UP.
El movimiento de los dedos depende de la integridad de los mecanismos flexor y extensor.
El mecanismo flexor está conformado por un sistema de poleas, que corresponden a un engrosamiento focal de la vaina tendinosa. De todas las poleas, la A2 en el tercio medio de la falange proximal, es la mas importante, seguido por la A3, en la parte proximal de la falange media. (5). (Fig 5).

Fig 5. Diagrama del mecanismo flexor.
Principales poleas. A2 en la mitad de la falange proximal (Flecha delgada) y A3, en la base de la falange media. (Flecha gruesa).
En la falange proximal los tendones superficiales de los dedos, atraviesan los tendones profundos. El tendón superficial se inserta en tercio proximal de falange media y el profundo en el mismo sitio en la falange distal. (1). (Fig 6).

Fig 6. Diagrama del mecanismo flexor.
Tendón flexor superficial insertándose en la base de la falange media (Flecha gruesa) y tendón profundo, en la base de la falange distal. (Flecha delgada).
La extensión de los dedos es el resultado de la acción de músculos intrínsecos y extrínsecos. (7). Los extrínsecos se originan en el codo y son el extensor largo dedos, extensor del índice y extensor del meñique. Se insertan en la base de la falange media y distal y su función es extensión de las articulaciones metacarpofalángicas e interfalángicas.
Los intrínsecos se originan e insertan en la mano y son los lumbricales e interóseos y su función es extender las articulaciones interfalángicas.
Los grupos musculares flexores y extensores son estabilizados por los retináculos en las manos y los dedos.
El nervio mediano es frecuentemente comprimido en el canal del carpo. Está limitado anteriormente por el ligamento transverso del carpo o retináculo flexor, que se localiza a nivel de la apófisis del ganchoso. El piso y los bordes medial y lateral, esta constituido por los huesos del carpo. (1).
| Fecha de creación | Marzo 1 de 2011 |
| Fecha de actualización | Mayo 28, 2015 |