FIBROMATOSIS DE MUÑECA.
Son un grupo de enfermedades en los tejidos blandos, caracterizadas por la aparición de tejido fibrótico.
Se clasifican en superficial o fascial e incluyen la fibromatosis palmar o enfermedad Dupuytren y la plantar o enfermedad de Ledderhose y el grupo de profundas, en las que se incluye el tumor desmoide extra- abdominal. (15).
El Dupuytren afecta los adultos mayores y puede ser bilateral.
Se caracteriza por la formación de nódulos subcutáneos y fibrosis progresiva, que tardíamente se transforman en bandas.
Compromete los tendones flexores y ocasiona contractura de los dedos, siendo los compartimientos 4º y 5º los mas comúnmente afectados. (15).
En la RM se observan como bandas hipointensas en T2, superficiales y paralelas a los tendones flexores. (15). (Fig 95 A, 95 B, 96 A y 96 B).

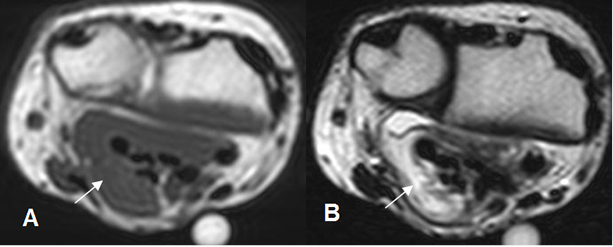
Fig 95 A. Fibromatosis.
A: RM axial en T1 y B: RM axial en T2. Presencia de tejido inflamatorio agudo hipointenso en T1 e hiperintenso en T2, que rodea los tendones flexores, a nivel de la muñeca.

Fig 95 B. Fibromatosis.
A: RM coronal en T1 y B: RM coronal en STIR. Tejido inflamatorio agudo hipointenso en T1 e hiperintenso en STIR, rodeando los tendones flexores, a nivel de la muñeca y la palma de la mano.

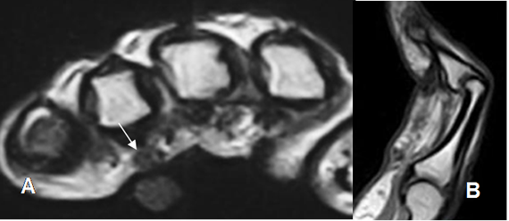
Fig 96 A. Enfermedad de Dupuytren.
A: RM axial en T2. Imagen hipointensa superficial, en la parte anterior del 4º metacarpiano, que Corresponde a tracto de fibrosis.
B: RM sagital en T1. Deformidad en flexión del dedo, por la fibrosis secundaria.

Fig 96 B. Enfermedad de Dupuytren.
A: RM sagital en T1, B: RM sagital en T2 y C: RM sagital en STIR. Deformidad en flexión del dedo, con imagen ovalada que se relaciona con el mecanismo flexor. Esta lesión es hipointensa en T1 y T2 e hiperintensa en STIR, por el componente fibroso y corresponde a enfermedad de Dupuytren.
| Fecha de creación | Marzo 1 de 2011 |
| Fecha de actualización | Marzo 22, 2012 |