PATOLOGIA DEL COMPLEJO FCT.
La lesión de este complejo puede comprometer solo el disco o cualquiera de sus otros componentes. (6).
Palmer ha clasificado las lesiones como tipo 1 o traumáticas y tipo 2 o degenerativas. (6).
La ruptura degenerativa es la mas frecuente y muchas personas mayores de 65 años, tiene lesiones asintomáticas. (5). Esta degeneración del FCT es debida a síndrome de impactación. (13).
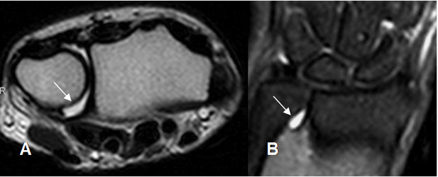
La presencia de líquido rodeando la articulación radioulnar distal, es un importante signo secundario de ruptura. (6). (Fig 78).
Las lesiones tipo 1 se subdividen en: (6).

Fig 78. Ruptura del FCT.
A: RM axial en T2 y B: RM coronal en STIR. Presencia de líquido en la articulación radioulnar distal, por ruptura no mostrada del FCT.

Fig 79 A. Ruptura del complejo del FCT.
A: RM coronal en T2 y B: RM coronal en T1. Solución de continuidad del cartílago, a nivel central por lesión tipo 1A.

Fig 79 B. Ruptura del complejo del FCT.
A: RM coronal en T1. Alteración en la señal del FCT, sobre su inserción ulnar.
B: RM coronal en GE. Solución de continuidad en la inserción ulnar del FCT, por ruptura tipo 1B. Existe líquido en la articulación radioulnar distal. (Flecha gruesa).

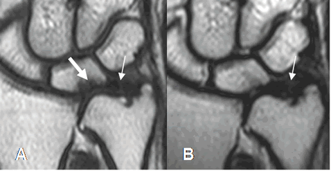
Fig 79 C. Ruptura del complejo del FCT.
A: RM coronal en T1 y B: RM coronal en GE. Líquido en la articulación radioulnar distal, como signo de ruptura del FCT (Flechas delgadas). Hay ruptura del menisco en la inserción radial por lesión tipo 1D. (Flecha gruesa).
Las tipo 2, se subdividen en: (6).
En la Rx simple se encuentran cambios crónicos en ulna distal, el piramidal y el semilunar. (13).
La RM y la ArtroRM, son las modalidades de elección para la evaluación. Se aprecia alteración lineal de la SI del disco en todas las secuencias, con o sin solución de continuidad. (5).

Fig 80. Degeneración del complejo del FCT.
A: RM coronal en T1 y B: RM coronal en STIR. Cartílago hipointenso en T1 e hiperintenso en STIR, hacia la inserción ulnar, por degeneración. Lesión tipo 2A.

Fig 81. Degeneración del complejo del FCT.
A: RM coronal en STIR. Lesión osteocondral en la ulna distal.
B: RM coronal en FFE y C: RM coronal en T1. Alteración en la señal del FCT, por degeneración. (Flechas delgadas). Existen lesiones osteocondrales en el semilunar y el piramidal. (Flechas gruesas), por lesión tipo 2B.

Fig 82. Degeneración del complejo del FCT.
A: RM coronal en T1 y B: RM coronal en T2. Lesión osteocondral del semilunar, por pinzamiento ulnar. (Flecha gruesa). Hay solución de continuidad del cartílago, en su tercio medio por ruptura. (Flecha delgada). Lesión tipo 2C.
| Fecha de creación | Marzo 1 de 2011 |
| Fecha de actualización | Febrero 12, 2013 |