ARTROPATIAS DE MUÑECA.
Los cambios se discuten mejor en el capítulo, dedicado a este grupo de enfermedades.
La articulación de la muñeca puede estar afectada por cualquiera de tipo de artropatía, siendo las más comunes:
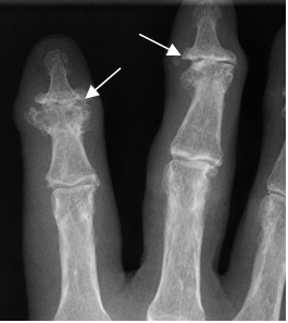
Hay afección de las articulaciones interfalángicas distales, carpometacarpiana del 1 dedo y radiocarpiana. (Fig 99, 100 y 101).

Fig 99. Artropatía degenerativa.
Rx AP. Cambios degenerativos de predominio distal, con formación de osteofitos y pérdida del espacio articular.

Fig 100. Artropatía degenerativa.
A: Rx AP. Cambios degenerativos en la articulación carpometacarpiana del pulgar, con esclerosis y disminución del espacio.
B: Presencia de líquido en la articulación carpometacarpiana del pulgar, por enfermedad degenerativa.

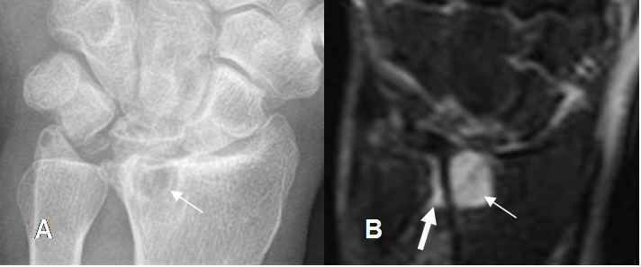
Fig 101. Artropatía degenerativa.
A: Rx AP y B: RM coronal en STIR. Cambios degenerativos en la articulación radiocarpiana, con formación de quiste subcondral. Adicionalmente en la RM se observa líquido en la articulación radioulnar distal, signo indirecto de ruptura en el complejo del FCT. (Flecha grande).
Los cambios más precoces aparecen en las articulaciones metacarpofalángicas.
Los hallazgos clásicos son osteopenia, disminución simétrica de los espacios articulares, erosiones y deformidad. (Fig 102 y 103)
La RM es mas sensible para la detección de las erosiones y además permite identificar el pannus, que corresponde a prominencia de los tejidos blandos, por la sinovitis, que realza con el contraste. (Fig 104 y 105).

Fig 102. Artropatía reumática.
Rx AP. Signos de osteopenia generalizada, de predominio periarticular.

Fig 103. Artropatía reumática.
Rx AP. Disminución de los espacios intercarpianos, por el compromiso del cartílago.

Fig 104. Artropatía reumática.
A: Rx AP. Erosiones del semilunar y el ganchoso.
B: RM coronal T1. Además de estas erosiones, se aprecian otras en el escafoides, semilunar, piramidal y el radio, no visibles en la Rx inicial.

Fig 105. Artropatía reumática.
A: Rx AP. Signos de osteopenia y erosión en las cabezas de los metacarpianos.
B: RM coronal en T1. Además de las erosiones en los metacarpianos, hay formación de pannus.
| Fecha de creación | Marzo 1 de 2011 |
| Fecha de actualización | Octubre 21, 2011 |