VALORACION RADIOLOGICA.
Iniciar el estudio con radiografía (Rx) simple. Con esta modalidad se pueden identificar lesiones traumáticas, avulsiones, calcificaciones anormales, etc.
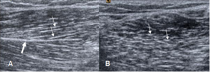
En la ecografía se identifica el perimisio, como imágenes paralelas y ecogénicas en los cortes longitudinales y como rayas cortas, en los axiales. El epimisio también es una estructura ecogénica. (3). (Fig 2).
Dentro de los músculos se aprecian otras bandas ecogénicas, que corresponde a los septos intramusculares. (Fig 2).
En algunos músculos la orientación de las fibras musculares es oblicua al eje del músculo y en otras es paralela. (3).

Fig 2. Músculo normal.
A: Ecografía corte longitudinal y B: corte transversal. Arquitectura normal, con perimisio ecogénico (Flechas delgadas). También se identifica un septo intramuscular ecogénico (Flecha gruesa).
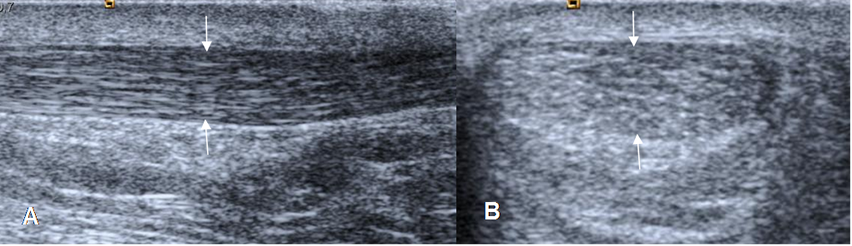
Los tendones normales se aprecian como bandas ecogénicas, con fibras hipoecoicas en su interior. (4). (Fig 3).

Fig 3. Tendón de aquiles normal.
A: Ecografía corte longitudinal y B: corte transversal. Estructura tubular homogénea, con patrón fibrilar.
Se debe valorar el sitio con mayor sintomatología, identificándolo con un dedo si es posible. Igualmente estudiar las inserciones tendinosas y hacer un estudio comparativo, en los casos dudosos o con cambios muy sutiles.
La resonancia magnética (RM) es la modalidad de elección, para determinare el tipo y extensión de las lesiones musculares.
Tiene gran sensibilidad para detectar el edema muscular y el sangrado. También permite valorar las lesiones asociadas en los huesos y los ligamentos. (2).
Las secuencias en T2 y STIR son las mas utilizadas, por el alto contraste que permite diferenciar el músculo sano, el edema, el sangrado y la infiltración grasa. (2).
Se utilizan los cortes axiales para evaluar los grupos musculares y compartimientos comprometidos. Los cortes sagitales y coronales permiten determinar la extensión. Las secuencias sagitales sirven para diagnosticar las avulsiones tendinosas. (2).
En la RM la señal de intensidad (SI) del músculo normal es un poco mas hiperintensa que el agua e hipointensa en relación a la grasa en T1 e hipointensa al agua y la grasa en T2. (5). En STIR la SI es hipointensa en relación con el agua y la grasa. (6). (Fig 4).

Fig 4. Señal normal del músculo.
A: RM coronal en T1. Músculo algo hiperintenso en relación al agua e hipointenso, con la grasa.
B: RM coronal en T2. Músculo hipointenso en relación con el agua y la grasa.
C: RM coronal en STIR. Músculo hipointenso en relación al agua y la grasa.
Los tendones de los diferentes grupos musculares, se aprecian como estructuras hipointensas en todas las secuencias. (Fig 5).

Fig 5. Señal normal del tendón.
A: RM sagital en T1, B: RM sagital en T2 y C: RM sagital en STIR. Mecanismo extensor hipointenso en todas las secuencias. Tendón del cuadriceps (Flecha delgada) y tendón patelar (Flecha gruesa).
| Fecha de creación | Marzo 1 de 2011 |
| Fecha de actualización | Octubre 17, 2011 |