ESTIRAMIENTO MUSCULAR.
Es un tipo de trauma indirecto, donde se produce excesiva tensión de las fibras musculares. (2).
Ocurre cerca de las uniones musculotendinosas y en los músculos que cruzan 2 articulaciones. El cuadriceps y los de la pata de ganso, son los mas susceptibles de sufrir este tipo de lesión. (3).
Los síntomas aparecen durante o después de una actividad física. El diagnóstico es clínico y las pruebas se hacen para caracterizarlo y descartar otra patología, como la trombosis venosa. (3).
Las distensiones se clasifican en: (5).
En la ecografía existe alteración muscular, con pérdida del patrón del perimisio y en algunos casos formación de hematoma. (3). (Fig 15 A y B y 16 A y B).
La mayoría de lesiones musculares cicatrizan, sin dejar ningún cambio ecográfico.
Puede formarse una cicatriz en los casos de lesiones a repetición o lesión muy severa,
identificándose como una zona hiperecoica dentro del músculo, rodeado por un halo hipoecoico. También pueden encontrarse quistes musculares post-traumáticos, después de la cicatrización de los hematomas. (3). (Fig 17 y 18).

Fig 15 A. Distensión muscular grado 1.
A, B, C y D: Ecografías. Alteración del patrón fibrilar, por lesiones musculares G I. En A y B las fibras son hipoecoicas y en C y D, hiperecoicas.

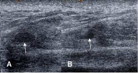
Fig 15 B. Distensión muscular grado 1.
A y B: Ecografías comparativas. Pérdida del patrón fibrilar normal, con áreas hiperecoicas (Flechas delgadas), que corresponden a lesión grado 1.

Fig 16 A. Distensión muscular grado 2.
A y B: Ecografía. Areas de solución de continuidad en las fibras musculares, por lesión grado 2.

Fig 16 B. Distensión muscular grado 2.
A y B: Ecografías. Lesiones ovaladas, heterogéneas y de bordes definidos, dentro de las fibras musculares por ruptura parcial.

Fig 17. Fibrosis muscular.
A y B: Ecografía. Lesiones musculares de evolución crónica, identificadas como zonas hiperecoicas, que producen sombra acústica.

Fig 18. Fibrosis muscular.
A: RM coronal en STIR y B: RM sagital en T2. Zona hiperintensa en ambas secuencias, sobre el músculo semimembranoso, con ruptura de algunas fibras, que corresponde a lesión muscular grado 2. (Flechas delgadas). En la parte mas inferior hay otra lesión hiperintensa rodeada por halo de hemosiderina, por lesión crónica. (Flechas gruesas).
Con la RM igualmente se encuentran cambios inflamatorios en las lesiones grado 1 y presencia de hematoma en las grado 2. (Fig 19, 20, 21 y 22).
En las lesiones grado 3, se aprecia solución de continuidad en la unión musculotendinosa, con grado variable de retracción. El espacio se llena de líquido y existe hematoma intra o intermuscular. (Fig 22, 23, 24 y 25).

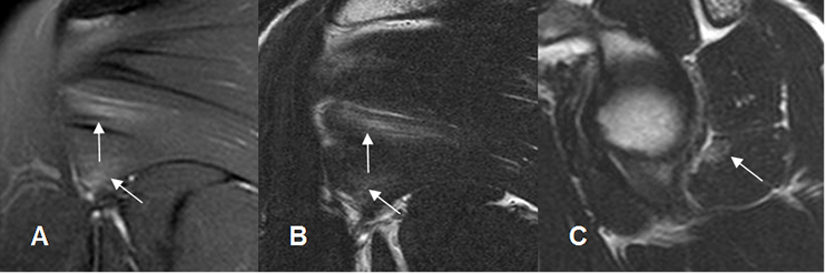
Fig 19. Distensión muscular grado I.
A: RM coronal en STIR, B: RM coronal en T2 y C: RM sagital en T2. Lesión muscular con edema de fibras del redondo menor, sin ruptura.

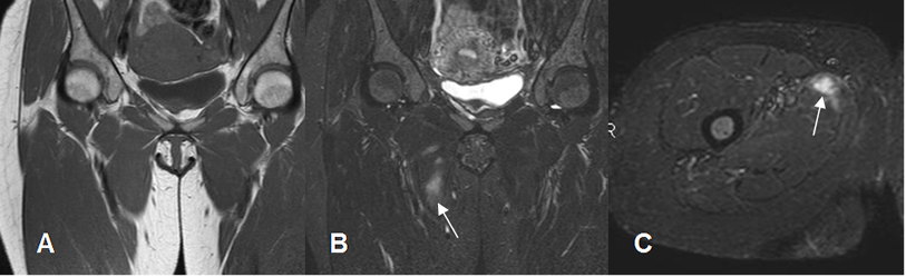
Fig 20. Distensión muscular grado 1.
A: RM coronal en T1. Grupos musculares sin alteraciones.
B: RM coronal y C: RM axial en STIR. Lesión hiperintensa en el músculo aductor mediano, por distensión muscular grado I.

Fig 21. Distensión muscular grado 2.
A: RM axial en T1. Alteración en la señal de los músculos aductor mediano y mayor por edema y sangrado subagudo.
B: RM axial y C: RM coronal en STIR. Músculos hiperintensos y con ruptura de algunas fibras, por distensión grado 2.

Fig 22. Ruptura muscular.
A: Ecografía. Colección líquida en la región posterior del muslo.
B: RM axial y C: RM coronal en STIR. Hematoma intermuscular con nivel líquido/líquido entre los músculos, por ruptura en el origen de los isquiotibiales.

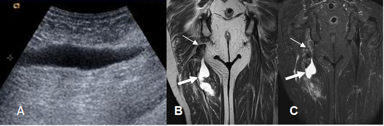
Fig 23. Ruptura muscular.
A: Ecografía longitudinal. Colección líquida, que corresponde a hematoma.
B: RM coronal en T2 y C: RM coronal en STIR. Ruptura en el origen de los isquiotibiales, con extremo retraído. (Flechas delgadas). Existe hematoma intermuscular asociado. (Flechas gruesas).

Fig 24. Ruptura muscular.
A: Rx AP. Estudio normal. No se identifican avulsiones.
B: RM coronal en STIR. Rupturas retraídas en los músculos semimembranoso (Flecha gruesa) y bíceps femoral. (Flecha delgada).

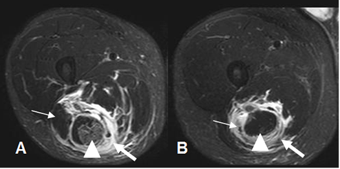
Fig 25 A. Ruptura muscular.
A: RM axial en STIR. Igual paciente anterior. Músculo biceps femoral normal. (Flecha delgada). Hay algunas fibras hiperintensas en el músculo semitendinoso, sin ruptura de fibras, por lesión grado 1. (Punta de flecha). No se identifica el músculo semimembranoso, por ruptura retraída. (Flecha gruesa).
B: RM axial en STIR. Músculo semitendinoso normal. (Punta de flecha). No se identifican los músculos biceps femoral (Flecha delgada), ni semimembranoso (Flecha gruesa), por rupturas retraídas.

Fig 25 B. Ruptura muscular.
A: RM coronal en T1, B: RM coronal en STIR y C: RM sagital en T2. Paciente con trauma directo, en la rodilla. Se aprecia solución de continuidad en las fibras del músculo recto lateral, las cuales son hipointensas en T1 e hiperintensas en STIR y T2, por ruptura muscular.(Flechas gruesas). Igualmente hay cambios inflamatorios en los tejidos blandos y contusión ósea del cóndilo femoral lateral. (Flechas delgadas).
| Fecha de creación | Marzo 1 de 2011 |
| Fecha de actualización | Julio 14, 2016 |